Naringin prevents heart mitochondria dysfunction during diabetic cardiomyopathy in rats.

IF 4.3 Q2 CHEMISTRY, MEDICINAL
ADMET and DMPK Pub Date : 2025-01-25 eCollection Date: 2025-01-01 DOI:10.5599/admet.2571
Ilya B Zavodnik, Tatsiana A Kavalenia, Siarhei N Kirko, Elena B Belonovskaya, Irina A Kuzmitskaya, Yulia V Eroshenko, Elena A Lapshina, Vyacheslav U Buko
{"title":"Naringin prevents heart mitochondria dysfunction during diabetic cardiomyopathy in rats.","authors":"Ilya B Zavodnik, Tatsiana A Kavalenia, Siarhei N Kirko, Elena B Belonovskaya, Irina A Kuzmitskaya, Yulia V Eroshenko, Elena A Lapshina, Vyacheslav U Buko","doi":"10.5599/admet.2571","DOIUrl":null,"url":null,"abstract":"<p><strong>Background and purpose: </strong>Cardiac mitochondria dysfunction plays a central pathophysiological role in the abnormal glucose metabolism in the heart during diabetic cardiomyopathy. The present study evaluated the effects of flavonoid glycoside naringin treatment on the interconnection between changes in cardiac mitochondria oxygen consumption, membrane potential and mitochondrial Ca<sup>2+</sup> sensitivity during type 1 diabetes.</p><p><strong>Experimental approach: </strong>Type 1 diabetes was induced by an intraperitoneal injection of streptozotocin (40 mg/kg) in rats and islet morphology, glucose and insulin levels, changes in heart mitochondria respiration, membrane potential, spontaneous and Ca<sup>2+</sup> - induced mitochondrial permeability transition (MPT) pore opening were evaluated.</p><p><strong>Key results: </strong>Diabetes resulted in typical signs of hyperglycaemia, which were accompanied by a rat cardiac mitochondria dysfunction, manifested by decreased <i>V</i> <sub>2</sub> and <i>V</i> <sub>3</sub> rates of oxygen consumption, while the initial membrane potential value remained unchanged. The rates of Ca<sup>2+</sup>-induced MPT pore opening and Ca<sup>2+</sup>-induced membrane potential dissipation in isolated mitochondria decreased under type 1 diabetes. The naringin treatment (40 mg/kg of the body weight, 4 weeks) partially recovered impaired cardiac mitochondria respiration, decreased spontaneous and increased Ca<sup>2+</sup>-induced MPT pore opening, improved pancreatic islets morphology and dystrophic changes, lowered glycated haemoglobin and blood plasma urea, and decreased the oxidative stress level with glucose or insulin concentrations remaining unchanged in diabetic animals.</p><p><strong>Conclusions: </strong>Naringin administration demonstrated beneficial effects during type 1 diabetes and represents a promising therapeutic (or nutraceutical) approach for diabetes treatment.</p>","PeriodicalId":7259,"journal":{"name":"ADMET and DMPK","volume":"13 1","pages":"2571"},"PeriodicalIF":4.3000,"publicationDate":"2025-01-25","publicationTypes":"Journal Article","fieldsOfStudy":null,"isOpenAccess":false,"openAccessPdf":"https://www.ncbi.nlm.nih.gov/pmc/articles/PMC11954143/pdf/","citationCount":"0","resultStr":null,"platform":"Semanticscholar","paperid":null,"PeriodicalName":"ADMET and DMPK","FirstCategoryId":"1085","ListUrlMain":"https://doi.org/10.5599/admet.2571","RegionNum":0,"RegionCategory":null,"ArticlePicture":[],"TitleCN":null,"AbstractTextCN":null,"PMCID":null,"EPubDate":"2025/1/1 0:00:00","PubModel":"eCollection","JCR":"Q2","JCRName":"CHEMISTRY, MEDICINAL","Score":null,"Total":0}
引用次数: 0

Abstract

Background and purpose: Cardiac mitochondria dysfunction plays a central pathophysiological role in the abnormal glucose metabolism in the heart during diabetic cardiomyopathy. The present study evaluated the effects of flavonoid glycoside naringin treatment on the interconnection between changes in cardiac mitochondria oxygen consumption, membrane potential and mitochondrial Ca2+ sensitivity during type 1 diabetes.

Experimental approach: Type 1 diabetes was induced by an intraperitoneal injection of streptozotocin (40 mg/kg) in rats and islet morphology, glucose and insulin levels, changes in heart mitochondria respiration, membrane potential, spontaneous and Ca2+ - induced mitochondrial permeability transition (MPT) pore opening were evaluated.

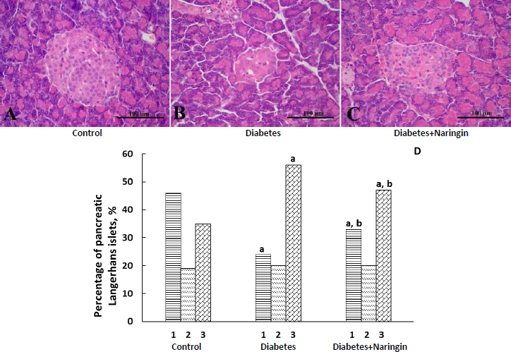
Key results: Diabetes resulted in typical signs of hyperglycaemia, which were accompanied by a rat cardiac mitochondria dysfunction, manifested by decreased V 2 and V 3 rates of oxygen consumption, while the initial membrane potential value remained unchanged. The rates of Ca2+-induced MPT pore opening and Ca2+-induced membrane potential dissipation in isolated mitochondria decreased under type 1 diabetes. The naringin treatment (40 mg/kg of the body weight, 4 weeks) partially recovered impaired cardiac mitochondria respiration, decreased spontaneous and increased Ca2+-induced MPT pore opening, improved pancreatic islets morphology and dystrophic changes, lowered glycated haemoglobin and blood plasma urea, and decreased the oxidative stress level with glucose or insulin concentrations remaining unchanged in diabetic animals.

Conclusions: Naringin administration demonstrated beneficial effects during type 1 diabetes and represents a promising therapeutic (or nutraceutical) approach for diabetes treatment.

Abstract Image

Abstract Image

Abstract Image

柚皮苷对糖尿病性心肌病大鼠心肌线粒体功能障碍的预防作用。
背景与目的:心肌线粒体功能障碍在糖尿病心肌病期间心脏糖代谢异常中起着核心的病理生理作用。本研究评估了黄酮类糖苷柚皮苷处理对1型糖尿病心肌线粒体耗氧量、膜电位和线粒体Ca2+敏感性变化之间相互关系的影响。实验方法:采用大鼠腹腔注射链脲佐菌素(40 mg/kg)诱导1型糖尿病,观察胰岛形态、葡萄糖和胰岛素水平、心脏线粒体呼吸、膜电位、自发和Ca2+诱导的线粒体通透性过渡(MPT)孔洞开放的变化。关键结果:糖尿病导致典型的高血糖症状,并伴有大鼠心脏线粒体功能障碍,表现为v2和v3耗氧量下降,而初始膜电位值保持不变。1型糖尿病患者Ca2+诱导的MPT开孔率和Ca2+诱导的离体线粒体膜电位耗散率下降。柚皮苷处理(40 mg/kg体重,4周)部分恢复受损的心脏线粒体呼吸,减少自发和增加Ca2+诱导的MPT孔开放,改善胰岛形态和营养不良变化,降低糖化血红蛋白和血浆尿素,降低氧化应激水平,葡萄糖或胰岛素浓度保持不变。结论:柚皮苷在1型糖尿病患者中显示出有益的效果,代表了一种有前途的治疗(或营养)糖尿病治疗方法。
本文章由计算机程序翻译,如有差异,请以英文原文为准。
求助全文
约1分钟内获得全文 求助全文
来源期刊
ADMET and DMPK
ADMET and DMPK Multiple-
CiteScore
4.40
自引率
0.00%
发文量
22
审稿时长
4 weeks
期刊介绍: ADMET and DMPK is an open access journal devoted to the rapid dissemination of new and original scientific results in all areas of absorption, distribution, metabolism, excretion, toxicology and pharmacokinetics of drugs. ADMET and DMPK publishes the following types of contributions: - Original research papers - Feature articles - Review articles - Short communications and Notes - Letters to Editors - Book reviews The scope of the Journal involves, but is not limited to, the following areas: - physico-chemical properties of drugs and methods of their determination - drug permeabilities - drug absorption - drug-drug, drug-protein, drug-membrane and drug-DNA interactions - chemical stability and degradations of drugs - instrumental methods in ADMET - drug metablic processes - routes of administration and excretion of drug - pharmacokinetic/pharmacodynamic study - quantitative structure activity/property relationship - ADME/PK modelling - Toxicology screening - Transporter identification and study
×
引用
GB/T 7714-2015
复制
MLA
复制
APA
复制
导出至
BibTeX EndNote RefMan NoteFirst NoteExpress
×
提示
您的信息不完整,为了账户安全,请先补充。
现在去补充
×
提示
您因"违规操作"
具体请查看互助需知
我知道了
×
提示
确定
请完成安全验证×
copy
已复制链接
快去分享给好友吧!
我知道了
右上角分享
点击右上角分享
0
联系我们:info@booksci.cn Book学术提供免费学术资源搜索服务,方便国内外学者检索中英文文献。致力于提供最便捷和优质的服务体验。 Copyright © 2023 布克学术 All rights reserved.
京ICP备2023020795号-1
ghs 京公网安备 11010802042870号
Book学术文献互助
Book学术文献互助群
群 号:604180095
Book学术官方微信