A rare case of Aerococcus urinae native valve endocarditis.

Access microbiology Pub Date : 2025-03-27 eCollection Date: 2025-01-01 DOI:10.1099/acmi.0.000863.v4
Sofie Goes, Kim Callebaut, Denis Pierard, Ingrid Wybo, Deborah De Geyter, Astrid Muyldermans, Jolien Geers, Laura Kerselaers, Thomas Demuyser
{"title":"A rare case of Aerococcus urinae native valve endocarditis.","authors":"Sofie Goes, Kim Callebaut, Denis Pierard, Ingrid Wybo, Deborah De Geyter, Astrid Muyldermans, Jolien Geers, Laura Kerselaers, Thomas Demuyser","doi":"10.1099/acmi.0.000863.v4","DOIUrl":null,"url":null,"abstract":"<p><p><b>Background.</b> <i>Aerococcus urinae</i> was initially considered a commensal of the urinary tract, but there is now increasing evidence for its involvement in urinary tract and systemic infections. <i>A</i>. urinae endocarditis has a non-negligible mortality rate and occurs mainly in patients with underlying conditions or the presence of extraneous material. <b>Case presentation.</b> This report handles the case of a 65-year-old male with cardiac antecedents, who was admitted to the cardiology department after a syncope of unknown origin and diagnosed with severe mixed aortic valve disease and mitral valve sclerosis through the means of transoesophageal echocardiography (TEE). During hospitalization, the patient progressively deteriorated with the development of shortness of breath and an inflammatory syndrome. Both the urine and blood cultures showed growth of <i>A. urinae</i>. Treatment with piperacillin/tazobactam was started empirically. Repeated TEE showed evidence of endocarditis with vegetation and perforation of the mitral valve that required an emergency surgery with mitral valve repair. After surgery, gentamicin and penicillin G were administered for 48 h, followed by combined ceftriaxone/penicillin G treatment for 6 weeks. At first, flucloxacillin was also associated as the culture of the valve was negative. Finally, the 16S rRNA gene PCR on the valve tissue confirmed the <i>A. urinae</i> endocarditis. <b>Conclusion.</b> <i>A. urinae</i> is an underestimated cause of serious infections such as endocarditis. Urinary tract infections mainly in older men can be an entry point for this type of invasive infection.</p>","PeriodicalId":94366,"journal":{"name":"Access microbiology","volume":"7 3","pages":""},"PeriodicalIF":0.0000,"publicationDate":"2025-03-27","publicationTypes":"Journal Article","fieldsOfStudy":null,"isOpenAccess":false,"openAccessPdf":"https://www.ncbi.nlm.nih.gov/pmc/articles/PMC11949278/pdf/","citationCount":"0","resultStr":null,"platform":"Semanticscholar","paperid":null,"PeriodicalName":"Access microbiology","FirstCategoryId":"1085","ListUrlMain":"https://doi.org/10.1099/acmi.0.000863.v4","RegionNum":0,"RegionCategory":null,"ArticlePicture":[],"TitleCN":null,"AbstractTextCN":null,"PMCID":null,"EPubDate":"2025/1/1 0:00:00","PubModel":"eCollection","JCR":"","JCRName":"","Score":null,"Total":0}
引用次数: 0

Abstract

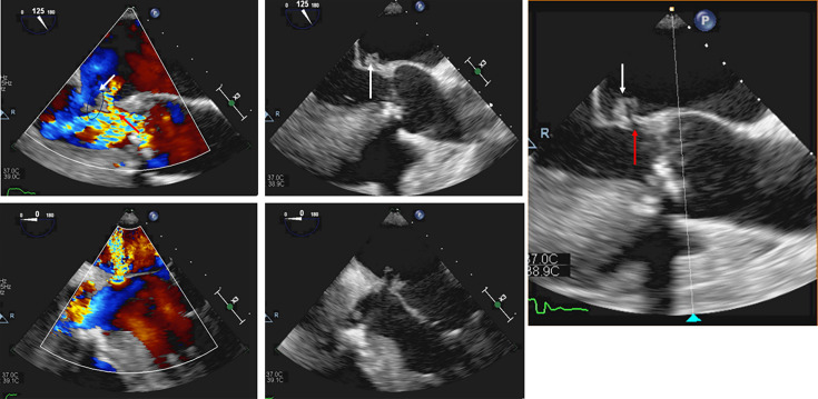
Background. Aerococcus urinae was initially considered a commensal of the urinary tract, but there is now increasing evidence for its involvement in urinary tract and systemic infections. A. urinae endocarditis has a non-negligible mortality rate and occurs mainly in patients with underlying conditions or the presence of extraneous material. Case presentation. This report handles the case of a 65-year-old male with cardiac antecedents, who was admitted to the cardiology department after a syncope of unknown origin and diagnosed with severe mixed aortic valve disease and mitral valve sclerosis through the means of transoesophageal echocardiography (TEE). During hospitalization, the patient progressively deteriorated with the development of shortness of breath and an inflammatory syndrome. Both the urine and blood cultures showed growth of A. urinae. Treatment with piperacillin/tazobactam was started empirically. Repeated TEE showed evidence of endocarditis with vegetation and perforation of the mitral valve that required an emergency surgery with mitral valve repair. After surgery, gentamicin and penicillin G were administered for 48 h, followed by combined ceftriaxone/penicillin G treatment for 6 weeks. At first, flucloxacillin was also associated as the culture of the valve was negative. Finally, the 16S rRNA gene PCR on the valve tissue confirmed the A. urinae endocarditis. Conclusion. A. urinae is an underestimated cause of serious infections such as endocarditis. Urinary tract infections mainly in older men can be an entry point for this type of invasive infection.

Abstract Image

Abstract Image

Abstract Image

尿气球菌原生瓣膜心内膜炎1例。
背景。尿气球菌最初被认为是泌尿道的共生菌,但现在越来越多的证据表明它与泌尿道和全身感染有关。尿心内膜炎具有不可忽视的死亡率,主要发生在有基础疾病或存在外来物质的患者中。例演示。本文报告一位65岁男性患者,有心脏病史,因不明原因的晕厥入院,经食管超声心动图(TEE)诊断为严重的混合性主动脉瓣疾病和二尖瓣硬化。住院期间,患者病情逐渐恶化,出现呼吸短促和炎症综合征。尿液和血液培养均显示尿支原体生长。经验性开始使用哌拉西林/他唑巴坦治疗。重复TEE显示心内膜炎伴植被和二尖瓣穿孔,需要紧急手术修复二尖瓣。术后给予庆大霉素联合青霉素G 48 h,头孢曲松/青霉素G联合治疗6周。起初,由于瓣膜培养阴性,也与氟氯西林有关。最后,对瓣膜组织进行16S rRNA基因PCR检测,确认为尿不动单胞菌心内膜炎。结论。尿支原体是严重感染如心内膜炎的一个被低估的原因。主要发生在老年男性的尿路感染可能是这种侵入性感染的切入点。
本文章由计算机程序翻译,如有差异,请以英文原文为准。
求助全文
约1分钟内获得全文 求助全文
来源期刊
CiteScore
2.00
自引率
0.00%
发文量
0
×
引用
GB/T 7714-2015
复制
MLA
复制
APA
复制
导出至
BibTeX EndNote RefMan NoteFirst NoteExpress
×
提示
您的信息不完整,为了账户安全,请先补充。
现在去补充
×
提示
您因"违规操作"
具体请查看互助需知
我知道了
×
提示
确定
请完成安全验证×
copy
已复制链接
快去分享给好友吧!
我知道了
右上角分享
点击右上角分享
0
联系我们:info@booksci.cn Book学术提供免费学术资源搜索服务,方便国内外学者检索中英文文献。致力于提供最便捷和优质的服务体验。 Copyright © 2023 布克学术 All rights reserved.
京ICP备2023020795号-1
ghs 京公网安备 11010802042870号
Book学术文献互助
Book学术文献互助群
群 号:604180095
Book学术官方微信