Assessment of Maxillary Molar Tooth Changes Caused by Class III Elastics in Hybrid Hyrax-Mentoplate Treatments: A Pilot Study.

IF 1.4 Q4 DENTISTRY, ORAL SURGERY & MEDICINE
Gamze Yıldırım, Elvan Önem Özbilen
{"title":"Assessment of Maxillary Molar Tooth Changes Caused by Class III Elastics in Hybrid Hyrax-Mentoplate Treatments: A Pilot Study.","authors":"Gamze Yıldırım, Elvan Önem Özbilen","doi":"10.4274/TurkJOrthod.2025.2024.156","DOIUrl":null,"url":null,"abstract":"<p><strong>Objective: </strong>This study aimed to investigate the positional changes of maxillary first molars in patients treated with the hybrid hyrax-mentoplate and Cl III elastics combination using cone-beam computed tomography (CBCT).</p><p><strong>Methods: </strong>Ten patients (7 females-3 males, mean age: 11.66±0.83 years) treated with hybrid hyrax-mentoplate at Marmara University Department of Orthodontics were included. Angular and linear measurements were taken from pre-treatment and post-treatment CBCT images, and changes in maxillary first molar teeth were examined using 3D SLICER version 5.0.2 (www.slicer.org). Statistical significance was set at p≤0.05.</p><p><strong>Results: </strong>Significant increases were observed in all distance measurements except C16p-C26p in the coronal plane, and significant decreases were observed in angular measurements only at 16mb and 26mb (p≤0.05). All measurements in the sagittal plane significantly increased compared to the vertical and horizontal reference lines (p≤0.001). Angular measurements relative to the palatal reference line significantly increased only in P-16p, P-26mb, and P-26p (p≤0.05). In skeletal measurements, significant changes were observed only in V-A, V-ANS, H-PNS, and V-PNS measurements (p≤0.05). The expansion at the apical level was significantly higher than that at the coronal level (p≤0.05). Compared to the V line, more mesial movement was observed at the coronal level than at the apical level (p≤0.001).</p><p><strong>Conclusion: </strong>The use of Class III elastics causes greater expansion at the apical level than the coronal. Molar teeth exhibit a mesial movement, but there could be multiple contributing factors. In molars connected to Class III elastics, extrusion occurs. When vertical control is important, appropriate safety measures are advised.</p>","PeriodicalId":37013,"journal":{"name":"Turkish Journal of Orthodontics","volume":"38 1","pages":"1-11"},"PeriodicalIF":1.4000,"publicationDate":"2025-03-27","publicationTypes":"Journal Article","fieldsOfStudy":null,"isOpenAccess":false,"openAccessPdf":"https://www.ncbi.nlm.nih.gov/pmc/articles/PMC11976321/pdf/","citationCount":"0","resultStr":null,"platform":"Semanticscholar","paperid":null,"PeriodicalName":"Turkish Journal of Orthodontics","FirstCategoryId":"1085","ListUrlMain":"https://doi.org/10.4274/TurkJOrthod.2025.2024.156","RegionNum":0,"RegionCategory":null,"ArticlePicture":[],"TitleCN":null,"AbstractTextCN":null,"PMCID":null,"EPubDate":"","PubModel":"","JCR":"Q4","JCRName":"DENTISTRY, ORAL SURGERY & MEDICINE","Score":null,"Total":0}
引用次数: 0

Abstract

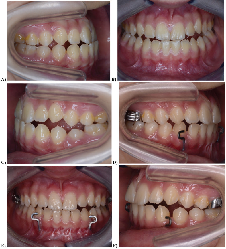
Objective: This study aimed to investigate the positional changes of maxillary first molars in patients treated with the hybrid hyrax-mentoplate and Cl III elastics combination using cone-beam computed tomography (CBCT).

Methods: Ten patients (7 females-3 males, mean age: 11.66±0.83 years) treated with hybrid hyrax-mentoplate at Marmara University Department of Orthodontics were included. Angular and linear measurements were taken from pre-treatment and post-treatment CBCT images, and changes in maxillary first molar teeth were examined using 3D SLICER version 5.0.2 (www.slicer.org). Statistical significance was set at p≤0.05.

Results: Significant increases were observed in all distance measurements except C16p-C26p in the coronal plane, and significant decreases were observed in angular measurements only at 16mb and 26mb (p≤0.05). All measurements in the sagittal plane significantly increased compared to the vertical and horizontal reference lines (p≤0.001). Angular measurements relative to the palatal reference line significantly increased only in P-16p, P-26mb, and P-26p (p≤0.05). In skeletal measurements, significant changes were observed only in V-A, V-ANS, H-PNS, and V-PNS measurements (p≤0.05). The expansion at the apical level was significantly higher than that at the coronal level (p≤0.05). Compared to the V line, more mesial movement was observed at the coronal level than at the apical level (p≤0.001).

Conclusion: The use of Class III elastics causes greater expansion at the apical level than the coronal. Molar teeth exhibit a mesial movement, but there could be multiple contributing factors. In molars connected to Class III elastics, extrusion occurs. When vertical control is important, appropriate safety measures are advised.

Abstract Image

Abstract Image

Hyrax-Mentoplate混合治疗中III类弹性材料对上颌磨牙变化的评估:一项初步研究。
目的:利用锥束ct (cone-beam computed tomography, CBCT)观察采用hyrax-mentoplate + Cl - III弹性组合治疗患者上颌第一磨牙的位置变化。方法:选取马尔马拉大学口腔正畸科采用混合hyrax-mentoplate治疗的患者10例(女7例,男3例,平均年龄11.66±0.83岁)。对治疗前和治疗后的CBCT图像进行角度和线性测量,并使用3D SLICER 5.0.2版本(www.slicer.org)检查上颌第一磨牙的变化。p≤0.05为差异有统计学意义。结果:除冠状面C16p-C26p外,其他距离测量值均显著升高,仅16mb和26mb角度测量值显著降低(p≤0.05)。与垂直和水平参考线相比,矢状面所有测量值均显著增加(p≤0.001)。仅p -16p、p -26mb和p -26p组相对于腭参考线的角度测量值显著增加(p≤0.05)。在骨骼测量中,只有V-A、V-ANS、H-PNS和V-PNS测量值有显著变化(p≤0.05)。根尖水平的扩张显著高于冠状水平(p≤0.05)。与V线相比,冠状水平比根尖水平观察到更多的中位运动(p≤0.001)。结论:III类弹性材料的使用在根尖水平比冠状水平引起更大的膨胀。臼齿向内侧移动,但可能有多种因素。在连接到III类弹性材料的磨牙中,会发生挤压。当垂直控制很重要时,建议采取适当的安全措施。
本文章由计算机程序翻译,如有差异,请以英文原文为准。
求助全文
约1分钟内获得全文 求助全文
来源期刊
Turkish Journal of Orthodontics
Turkish Journal of Orthodontics Dentistry-Orthodontics
CiteScore
2.10
自引率
9.10%
发文量
34
×
引用
GB/T 7714-2015
复制
MLA
复制
APA
复制
导出至
BibTeX EndNote RefMan NoteFirst NoteExpress
×
提示
您的信息不完整,为了账户安全,请先补充。
现在去补充
×
提示
您因"违规操作"
具体请查看互助需知
我知道了
×
提示
确定
请完成安全验证×
copy
已复制链接
快去分享给好友吧!
我知道了
右上角分享
点击右上角分享
0
联系我们:info@booksci.cn Book学术提供免费学术资源搜索服务,方便国内外学者检索中英文文献。致力于提供最便捷和优质的服务体验。 Copyright © 2023 布克学术 All rights reserved.
京ICP备2023020795号-1
ghs 京公网安备 11010802042870号
Book学术文献互助
Book学术文献互助群
群 号:604180095
Book学术官方微信