Primary Failure of Eruption: A Rare but Desperate Condition for Orthodontic Treatment.

IF 1.4 Q4 DENTISTRY, ORAL SURGERY & MEDICINE
Yaren Söz, İpek Savkan, Sibel Biren, Zeynep Ahü Acar
{"title":"Primary Failure of Eruption: A Rare but Desperate Condition for Orthodontic Treatment.","authors":"Yaren Söz, İpek Savkan, Sibel Biren, Zeynep Ahü Acar","doi":"10.4274/TurkJOrthod.2024.2024.51","DOIUrl":null,"url":null,"abstract":"<p><p>Tooth eruption is a highly complex mechanism that is controlled by many factors. Various mechanical, systemic, or genetic factors can cause eruption disorders. Primary failure of eruption (PFE) is known as an eruption disorder occurring due to non-syndromic genetic factors. It is frequently seen in the first and second molars and causes posterior open bite. It can be observed unilaterally or bilaterally. Studies show that mutations in many different genes that control the tooth eruption mechanism, mainly the <i>PTH1R</i> and <i>KMT2C</i> genes, constitute the genetic basis of PFE. Primary eruption disorders are very difficult to treat. It is known that the application of active orthodontic forces causes local ankylosis in the tooth and the failure of the tooth to return to its normal position. For this reason, determining the correct diagnosis and treatment method is very important. Although there are different treatment methods, the results of research about the success of these treatment methods are quite limited. This review aims to explain the etiology, diagnosis, and treatment of PFE in light of current genetic studies.</p>","PeriodicalId":37013,"journal":{"name":"Turkish Journal of Orthodontics","volume":"38 1","pages":"56-63"},"PeriodicalIF":1.4000,"publicationDate":"2025-03-27","publicationTypes":"Journal Article","fieldsOfStudy":null,"isOpenAccess":false,"openAccessPdf":"https://www.ncbi.nlm.nih.gov/pmc/articles/PMC11976322/pdf/","citationCount":"0","resultStr":null,"platform":"Semanticscholar","paperid":null,"PeriodicalName":"Turkish Journal of Orthodontics","FirstCategoryId":"1085","ListUrlMain":"https://doi.org/10.4274/TurkJOrthod.2024.2024.51","RegionNum":0,"RegionCategory":null,"ArticlePicture":[],"TitleCN":null,"AbstractTextCN":null,"PMCID":null,"EPubDate":"","PubModel":"","JCR":"Q4","JCRName":"DENTISTRY, ORAL SURGERY & MEDICINE","Score":null,"Total":0}
引用次数: 0

Abstract

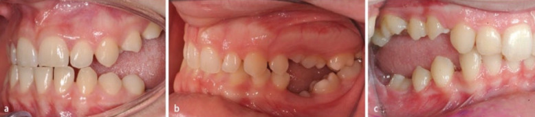
Tooth eruption is a highly complex mechanism that is controlled by many factors. Various mechanical, systemic, or genetic factors can cause eruption disorders. Primary failure of eruption (PFE) is known as an eruption disorder occurring due to non-syndromic genetic factors. It is frequently seen in the first and second molars and causes posterior open bite. It can be observed unilaterally or bilaterally. Studies show that mutations in many different genes that control the tooth eruption mechanism, mainly the PTH1R and KMT2C genes, constitute the genetic basis of PFE. Primary eruption disorders are very difficult to treat. It is known that the application of active orthodontic forces causes local ankylosis in the tooth and the failure of the tooth to return to its normal position. For this reason, determining the correct diagnosis and treatment method is very important. Although there are different treatment methods, the results of research about the success of these treatment methods are quite limited. This review aims to explain the etiology, diagnosis, and treatment of PFE in light of current genetic studies.

Abstract Image

Abstract Image

Abstract Image

原发出牙失败:一种罕见但迫切需要正畸治疗的情况。
萌牙是一个高度复杂的机制,受多种因素控制。各种机械的、系统的或遗传的因素可引起爆发紊乱。原发性喷发失败(PFE)是一种因非综合征性遗传因素引起的喷发障碍。它常见于第一和第二磨牙,引起后牙开咬。它可以单方面或双边观察。研究表明,以PTH1R和KMT2C基因为主的控制牙齿萌牙机制的多种基因突变构成了PFE的遗传基础。原发性爆发障碍是非常难以治疗的。众所周知,应用主动正畸力会导致牙齿局部僵硬和牙齿无法恢复到正常位置。因此,确定正确的诊断和治疗方法是非常重要的。虽然有不同的治疗方法,但关于这些治疗方法成功的研究结果非常有限。这篇综述的目的是根据目前的遗传学研究来解释PFE的病因、诊断和治疗。
本文章由计算机程序翻译,如有差异,请以英文原文为准。
求助全文
约1分钟内获得全文 求助全文
来源期刊
Turkish Journal of Orthodontics
Turkish Journal of Orthodontics Dentistry-Orthodontics
CiteScore
2.10
自引率
9.10%
发文量
34
×
引用
GB/T 7714-2015
复制
MLA
复制
APA
复制
导出至
BibTeX EndNote RefMan NoteFirst NoteExpress
×
提示
您的信息不完整,为了账户安全,请先补充。
现在去补充
×
提示
您因"违规操作"
具体请查看互助需知
我知道了
×
提示
确定
请完成安全验证×
copy
已复制链接
快去分享给好友吧!
我知道了
右上角分享
点击右上角分享
0
联系我们:info@booksci.cn Book学术提供免费学术资源搜索服务,方便国内外学者检索中英文文献。致力于提供最便捷和优质的服务体验。 Copyright © 2023 布克学术 All rights reserved.
京ICP备2023020795号-1
ghs 京公网安备 11010802042870号
Book学术文献互助
Book学术文献互助群
群 号:604180095
Book学术官方微信