Evaluation of the Effect of Low-level Laser Therapy on Leveling Mandibular Anterior Crowding.

IF 1.4 Q4 DENTISTRY, ORAL SURGERY & MEDICINE
Yasemin Tunca, Yeşim Kaya
{"title":"Evaluation of the Effect of Low-level Laser Therapy on Leveling Mandibular Anterior Crowding.","authors":"Yasemin Tunca, Yeşim Kaya","doi":"10.4274/TurkJOrthod.2024.2024.41","DOIUrl":null,"url":null,"abstract":"<p><strong>Objective: </strong>This study aims to evaluate the effect of low-level laser therapy (LLLT) on leveling mandibular anterior crowding and associated pain levels.</p><p><strong>Methods: </strong>This double-blinded, parallel, randomized clinical trial included 30 participants who were randomly assigned to the laser group or the control group, with Little's irregularity index of 4-8 mm in the mandibular canine-canine region. Nickel-titanium archwires measuring 0.012 inches were tied with elastomeric ligatures and changed every 14 days throughout the leveling process. The leveling duration was recorded in days, from the bonding application to the end of leveling. Irradiation was performed at an 810-nm wavelength using a gallium-aluminum-arsenide diode laser device with a power output of 100 mW and an energy density of 8 J/cm². Laser applications were performed after archwire ligation (day 0), on days 3, 7, and 14 and every 14 days until leveling was completed. The leveling duration was calculated, and pain levels were evaluated using a visual analogue scale (VAS) after archwire ligation (hour 0), at hours 2 and 6 and on days 1, 3, 7, 14, and 21.</p><p><strong>Results: </strong>The leveling duration showed no significant differences between the laser and control groups (p=0.170). Group comparison results of the VAS scores at hour 6 (p=0.001) and day 1 (p=0.006) exhibited significantly reduced pain levels in the laser group compared with the control group.</p><p><strong>Conclusion: </strong>Although LLLT is not effective in reducing the leveling duration, it significantly reduces pain levels at hour 6 and on the 1<sup>st</sup> day.</p>","PeriodicalId":37013,"journal":{"name":"Turkish Journal of Orthodontics","volume":"38 1","pages":"49-55"},"PeriodicalIF":1.4000,"publicationDate":"2025-03-27","publicationTypes":"Journal Article","fieldsOfStudy":null,"isOpenAccess":false,"openAccessPdf":"https://www.ncbi.nlm.nih.gov/pmc/articles/PMC11977434/pdf/","citationCount":"0","resultStr":null,"platform":"Semanticscholar","paperid":null,"PeriodicalName":"Turkish Journal of Orthodontics","FirstCategoryId":"1085","ListUrlMain":"https://doi.org/10.4274/TurkJOrthod.2024.2024.41","RegionNum":0,"RegionCategory":null,"ArticlePicture":[],"TitleCN":null,"AbstractTextCN":null,"PMCID":null,"EPubDate":"","PubModel":"","JCR":"Q4","JCRName":"DENTISTRY, ORAL SURGERY & MEDICINE","Score":null,"Total":0}
引用次数: 0

Abstract

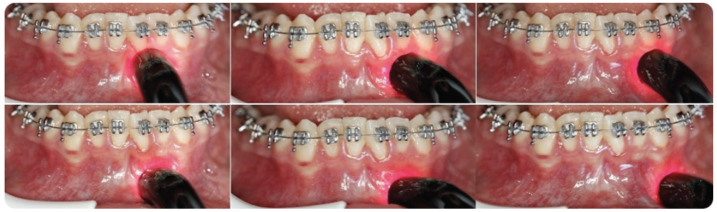
Objective: This study aims to evaluate the effect of low-level laser therapy (LLLT) on leveling mandibular anterior crowding and associated pain levels.

Methods: This double-blinded, parallel, randomized clinical trial included 30 participants who were randomly assigned to the laser group or the control group, with Little's irregularity index of 4-8 mm in the mandibular canine-canine region. Nickel-titanium archwires measuring 0.012 inches were tied with elastomeric ligatures and changed every 14 days throughout the leveling process. The leveling duration was recorded in days, from the bonding application to the end of leveling. Irradiation was performed at an 810-nm wavelength using a gallium-aluminum-arsenide diode laser device with a power output of 100 mW and an energy density of 8 J/cm². Laser applications were performed after archwire ligation (day 0), on days 3, 7, and 14 and every 14 days until leveling was completed. The leveling duration was calculated, and pain levels were evaluated using a visual analogue scale (VAS) after archwire ligation (hour 0), at hours 2 and 6 and on days 1, 3, 7, 14, and 21.

Results: The leveling duration showed no significant differences between the laser and control groups (p=0.170). Group comparison results of the VAS scores at hour 6 (p=0.001) and day 1 (p=0.006) exhibited significantly reduced pain levels in the laser group compared with the control group.

Conclusion: Although LLLT is not effective in reducing the leveling duration, it significantly reduces pain levels at hour 6 and on the 1st day.

Abstract Image

Abstract Image

低水平激光治疗下颌前牙拥挤的疗效评价。
目的:探讨低水平激光治疗(LLLT)对调节下颌前侧拥挤及相关疼痛水平的影响。方法:采用双盲、平行、随机临床试验,30例患者随机分为激光组和对照组,下颌犬齿区Little’s不规则指数为4 ~ 8 mm。在整平过程中,0.012英寸的镍钛拱线用弹性绳系住,每14天更换一次。调平持续时间以天为单位记录,从bonding应用到调平结束。使用功率输出为100 mW、能量密度为8 J/cm²的砷化镓铝二极管激光器件在810 nm波长下进行照射。在弓丝结扎后(第0天)、第3天、第7天和第14天进行激光应用,每14天进行一次激光应用,直到整平完成。计算水平持续时间,并使用视觉模拟量表(VAS)评估弓丝结扎后(0小时)、2小时和6小时以及第1、3、7、14和21天的疼痛水平。结果:激光组与对照组调平时间差异无统计学意义(p=0.170)。第6小时(p=0.001)和第1天(p=0.006) VAS评分的组间比较结果显示,与对照组相比,激光治疗组疼痛程度明显减轻。结论:LLLT虽不能有效缩短调平时间,但可显著降低第6小时和第1天的疼痛程度。
本文章由计算机程序翻译,如有差异,请以英文原文为准。
求助全文
约1分钟内获得全文 求助全文
来源期刊
Turkish Journal of Orthodontics
Turkish Journal of Orthodontics Dentistry-Orthodontics
CiteScore
2.10
自引率
9.10%
发文量
34
×
引用
GB/T 7714-2015
复制
MLA
复制
APA
复制
导出至
BibTeX EndNote RefMan NoteFirst NoteExpress
×
提示
您的信息不完整,为了账户安全,请先补充。
现在去补充
×
提示
您因"违规操作"
具体请查看互助需知
我知道了
×
提示
确定
请完成安全验证×
copy
已复制链接
快去分享给好友吧!
我知道了
右上角分享
点击右上角分享
0
联系我们:info@booksci.cn Book学术提供免费学术资源搜索服务,方便国内外学者检索中英文文献。致力于提供最便捷和优质的服务体验。 Copyright © 2023 布克学术 All rights reserved.
京ICP备2023020795号-1
ghs 京公网安备 11010802042870号
Book学术文献互助
Book学术文献互助群
群 号:604180095
Book学术官方微信