Topohistology of dendritic cells and macrophages in the distal and proximal nodes along the lymph flow from the lung

IF 1.9 3区 医学 Q2 ANATOMY & MORPHOLOGY
Masaya Aoki, Go Kamimura, Aya Harada-Takeda, Toshiyuki Nagata, Gen Murakami, Kazuhiro Ueda
{"title":"Topohistology of dendritic cells and macrophages in the distal and proximal nodes along the lymph flow from the lung","authors":"Masaya Aoki,&nbsp;Go Kamimura,&nbsp;Aya Harada-Takeda,&nbsp;Toshiyuki Nagata,&nbsp;Gen Murakami,&nbsp;Kazuhiro Ueda","doi":"10.1111/joa.14251","DOIUrl":null,"url":null,"abstract":"<p>Nodal dendritic cells and CD169-positive macrophages cross-present cancer antigens earlier in the proximal nodes than in the distal nodes along the lymph flow from cancer. We examined topohistological differences between the proximal and distal nodes before the formation of metastasis. Immunohistochemical and morphometric analyses were performed to examine DC-SIGN-, CD68-, and CD169-positive cells in the subcarinal node (proximal) and paratracheal nodes (distal nodes) from 16 patients with lower-lobe lung cancer without metastasis (adenocarcinoma, 11; squamous, 5). Nodes at the same sites from 10 patients with upper-lobe cancer were used as controls. In all nodes, the medullary sinus was filled with CD68-positive and CD169-negative macrophages, most of which showed anthracosis. The proximal node carried a significantly smaller overlap between clusters of DC-SIGN-positive cells and CD169-positive cells relative to the distal node in lower-lobe cancer patients (<i>p</i> = 0.015). Irrespective of the cancer pathology, the tumor size was significantly correlated with the longer subcapsular clusters containing either DC-SIGN-positive cells or CD169-positive cells (<i>p</i> = 0.003, 0.043). A significantly small overlap between these clusters as well as the missing paracortical sinuses was evident in the negative control node outside the lymph flow (<i>p</i> = 0.006). Since DC-SIGN-positive cells and CD169-positive cells, especially composite cells in the overlapped cluster, are likely to be derived from monocytes, larger tumors appeared to accelerate the migration into the subcapsular sinus. In contrast to the suggested active status of the distal node, the proximal node appeared to have already been suppressed. This downregulation reached the level in the negative control node.</p>","PeriodicalId":14971,"journal":{"name":"Journal of Anatomy","volume":"247 2","pages":"393-407"},"PeriodicalIF":1.9000,"publicationDate":"2025-03-28","publicationTypes":"Journal Article","fieldsOfStudy":null,"isOpenAccess":false,"openAccessPdf":"https://onlinelibrary.wiley.com/doi/epdf/10.1111/joa.14251","citationCount":"0","resultStr":null,"platform":"Semanticscholar","paperid":null,"PeriodicalName":"Journal of Anatomy","FirstCategoryId":"3","ListUrlMain":"https://onlinelibrary.wiley.com/doi/10.1111/joa.14251","RegionNum":3,"RegionCategory":"医学","ArticlePicture":[],"TitleCN":null,"AbstractTextCN":null,"PMCID":null,"EPubDate":"","PubModel":"","JCR":"Q2","JCRName":"ANATOMY & MORPHOLOGY","Score":null,"Total":0}
引用次数: 0

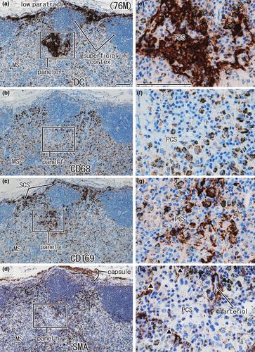
Abstract

Nodal dendritic cells and CD169-positive macrophages cross-present cancer antigens earlier in the proximal nodes than in the distal nodes along the lymph flow from cancer. We examined topohistological differences between the proximal and distal nodes before the formation of metastasis. Immunohistochemical and morphometric analyses were performed to examine DC-SIGN-, CD68-, and CD169-positive cells in the subcarinal node (proximal) and paratracheal nodes (distal nodes) from 16 patients with lower-lobe lung cancer without metastasis (adenocarcinoma, 11; squamous, 5). Nodes at the same sites from 10 patients with upper-lobe cancer were used as controls. In all nodes, the medullary sinus was filled with CD68-positive and CD169-negative macrophages, most of which showed anthracosis. The proximal node carried a significantly smaller overlap between clusters of DC-SIGN-positive cells and CD169-positive cells relative to the distal node in lower-lobe cancer patients (p = 0.015). Irrespective of the cancer pathology, the tumor size was significantly correlated with the longer subcapsular clusters containing either DC-SIGN-positive cells or CD169-positive cells (p = 0.003, 0.043). A significantly small overlap between these clusters as well as the missing paracortical sinuses was evident in the negative control node outside the lymph flow (p = 0.006). Since DC-SIGN-positive cells and CD169-positive cells, especially composite cells in the overlapped cluster, are likely to be derived from monocytes, larger tumors appeared to accelerate the migration into the subcapsular sinus. In contrast to the suggested active status of the distal node, the proximal node appeared to have already been suppressed. This downregulation reached the level in the negative control node.

Abstract Image

树突状细胞和巨噬细胞在远端和近端淋巴结沿肺淋巴流的拓扑组织学。
淋巴结树突状细胞和cd169阳性巨噬细胞在近端淋巴结中比在远端淋巴结中更早交叉呈现癌抗原。我们在转移形成前检查了近端和远端淋巴结的拓扑组织学差异。通过免疫组织化学和形态计量学分析,对16例无转移的下肺叶肺癌(腺癌,11例;10例上叶癌患者相同部位的淋巴结作为对照。所有淋巴结髓窦内均可见cd68阳性和cd169阴性巨噬细胞,多数呈炭疽样。下叶癌患者近端淋巴结dc - sign阳性细胞簇和cd169阳性细胞簇之间的重叠明显小于远端淋巴结(p = 0.015)。无论癌症病理如何,肿瘤大小与含有dc - sign阳性细胞或cd169阳性细胞的较长的荚膜下簇显著相关(p = 0.003, 0.043)。在淋巴流外的阴性对照淋巴结中,这些簇之间有明显的小重叠以及皮质旁窦的缺失(p = 0.006)。由于dc - sign阳性细胞和cd169阳性细胞,特别是重叠簇中的复合细胞,可能来源于单核细胞,较大的肿瘤似乎加速了向囊下窦的迁移。与建议的远端淋巴结活动状态相反,近端淋巴结似乎已经被抑制。这种下调达到了负控制节点的水平。
本文章由计算机程序翻译,如有差异,请以英文原文为准。
求助全文
约1分钟内获得全文 求助全文
来源期刊
Journal of Anatomy
Journal of Anatomy 医学-解剖学与形态学
CiteScore
4.80
自引率
8.30%
发文量
183
审稿时长
4-8 weeks
期刊介绍: Journal of Anatomy is an international peer-reviewed journal sponsored by the Anatomical Society. The journal publishes original papers, invited review articles and book reviews. Its main focus is to understand anatomy through an analysis of structure, function, development and evolution. Priority will be given to studies of that clearly articulate their relevance to the anatomical community. Focal areas include: experimental studies, contributions based on molecular and cell biology and on the application of modern imaging techniques and papers with novel methods or synthetic perspective on an anatomical system. Studies that are essentially descriptive anatomy are appropriate only if they communicate clearly a broader functional or evolutionary significance. You must clearly state the broader implications of your work in the abstract. We particularly welcome submissions in the following areas: Cell biology and tissue architecture Comparative functional morphology Developmental biology Evolutionary developmental biology Evolutionary morphology Functional human anatomy Integrative vertebrate paleontology Methodological innovations in anatomical research Musculoskeletal system Neuroanatomy and neurodegeneration Significant advances in anatomical education.
×
引用
GB/T 7714-2015
复制
MLA
复制
APA
复制
导出至
BibTeX EndNote RefMan NoteFirst NoteExpress
×
提示
您的信息不完整,为了账户安全,请先补充。
现在去补充
×
提示
您因"违规操作"
具体请查看互助需知
我知道了
×
提示
确定
请完成安全验证×
copy
已复制链接
快去分享给好友吧!
我知道了
右上角分享
点击右上角分享
0
联系我们:info@booksci.cn Book学术提供免费学术资源搜索服务,方便国内外学者检索中英文文献。致力于提供最便捷和优质的服务体验。 Copyright © 2023 布克学术 All rights reserved.
京ICP备2023020795号-1
ghs 京公网安备 11010802042870号
Book学术文献互助
Book学术文献互助群
群 号:604180095
Book学术官方微信