Efficacy and safety of a fully covered self-expandable metallic stent equipped with square flare in EUS-guided drainage/anastomosis: A multicenter retrospective study.

IF 5.4 1区 医学 Q1 GASTROENTEROLOGY & HEPATOLOGY
Endoscopic Ultrasound Pub Date : 2025-01-01 Epub Date: 2025-02-25 DOI:10.1097/eus.0000000000000099
Sho Takahashi, Saburo Matsubara, Toshio Fujisawa, Takeshi Otsuka, Kentaro Suda, Mako Ushio, Taito Fukuma, Akinori Suzuki, Yusuke Takasaki, Koichi Ito, Ko Tomishima, Shigeto Ishii, Sumiko Nagoshi, Hiroyuki Isayama
{"title":"Efficacy and safety of a fully covered self-expandable metallic stent equipped with square flare in EUS-guided drainage/anastomosis: A multicenter retrospective study.","authors":"Sho Takahashi, Saburo Matsubara, Toshio Fujisawa, Takeshi Otsuka, Kentaro Suda, Mako Ushio, Taito Fukuma, Akinori Suzuki, Yusuke Takasaki, Koichi Ito, Ko Tomishima, Shigeto Ishii, Sumiko Nagoshi, Hiroyuki Isayama","doi":"10.1097/eus.0000000000000099","DOIUrl":null,"url":null,"abstract":"<p><strong>Background and objectives: </strong>Recent technological advances in interventional EUS have improved EUS-guided drainage/anastomosis (EUS-D/A), yet challenges remain. This study evaluated the safety and feasibility of a square flare fully covered self-expandable metallic stent (SF-FCSEMS) with anti-migration properties for EUS-D/A.</p><p><strong>Methods: </strong>This retrospective cohort study was performed at 2 academic centers and analyzed patients who underwent SF-FCSEMS placement for EUS-D/A from April 2015 to November 2022. We have used an SF-FCSEMS that has a square flare at both ends that is 4 mm larger in diameter than the stent body, providing an anti-migration effect.</p><p><strong>Results: </strong>Thirty-six patients (median age: 74 years), 41.6% male, were included. Malignancies accounted for 83.3%. Among the EUS-D/A procedure types, EUS-abscess drainage was performed in 52.8%, EUS-guided gallbladder drainage in 30.6%, and EUS-guided abscess drainage in 16.7%. The technical success rate was 97.2%, and the clinical success rate was 97.1%. The median procedure time was 36 minutes, with puncture tract dilation conducted in all cases. Adverse events occurred in 11.1%; recurrent symptoms were observed in 11.8%, with no migration. SF-FCSEMS removal was performed in 26.5% of patients during the follow-up period, with a median duration of 154 days. The total cost of deploying SF-FCSEMS was approximately 40% less than that of using lumen apposing metal stent.</p><p><strong>Conclusions: </strong>EUS-D/A with an SF-FCSEMS, which has anti-migration properties, not only was effective and feasible in the present study but also demonstrated a cost advantage.</p>","PeriodicalId":11577,"journal":{"name":"Endoscopic Ultrasound","volume":"14 1","pages":"20-25"},"PeriodicalIF":5.4000,"publicationDate":"2025-01-01","publicationTypes":"Journal Article","fieldsOfStudy":null,"isOpenAccess":false,"openAccessPdf":"https://www.ncbi.nlm.nih.gov/pmc/articles/PMC11939935/pdf/","citationCount":"0","resultStr":null,"platform":"Semanticscholar","paperid":null,"PeriodicalName":"Endoscopic Ultrasound","FirstCategoryId":"3","ListUrlMain":"https://doi.org/10.1097/eus.0000000000000099","RegionNum":1,"RegionCategory":"医学","ArticlePicture":[],"TitleCN":null,"AbstractTextCN":null,"PMCID":null,"EPubDate":"2025/2/25 0:00:00","PubModel":"Epub","JCR":"Q1","JCRName":"GASTROENTEROLOGY & HEPATOLOGY","Score":null,"Total":0}
引用次数: 0

Abstract

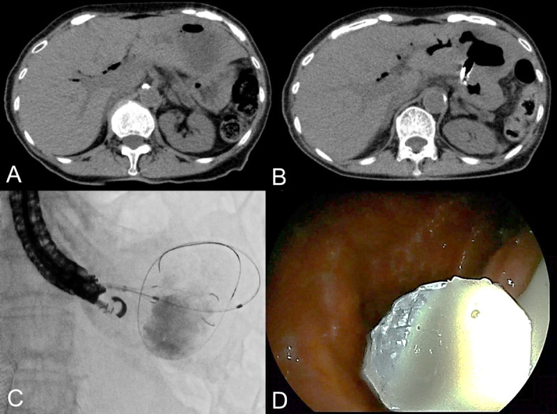
Background and objectives: Recent technological advances in interventional EUS have improved EUS-guided drainage/anastomosis (EUS-D/A), yet challenges remain. This study evaluated the safety and feasibility of a square flare fully covered self-expandable metallic stent (SF-FCSEMS) with anti-migration properties for EUS-D/A.

Methods: This retrospective cohort study was performed at 2 academic centers and analyzed patients who underwent SF-FCSEMS placement for EUS-D/A from April 2015 to November 2022. We have used an SF-FCSEMS that has a square flare at both ends that is 4 mm larger in diameter than the stent body, providing an anti-migration effect.

Results: Thirty-six patients (median age: 74 years), 41.6% male, were included. Malignancies accounted for 83.3%. Among the EUS-D/A procedure types, EUS-abscess drainage was performed in 52.8%, EUS-guided gallbladder drainage in 30.6%, and EUS-guided abscess drainage in 16.7%. The technical success rate was 97.2%, and the clinical success rate was 97.1%. The median procedure time was 36 minutes, with puncture tract dilation conducted in all cases. Adverse events occurred in 11.1%; recurrent symptoms were observed in 11.8%, with no migration. SF-FCSEMS removal was performed in 26.5% of patients during the follow-up period, with a median duration of 154 days. The total cost of deploying SF-FCSEMS was approximately 40% less than that of using lumen apposing metal stent.

Conclusions: EUS-D/A with an SF-FCSEMS, which has anti-migration properties, not only was effective and feasible in the present study but also demonstrated a cost advantage.

Abstract Image

Abstract Image

方形闪光全覆盖自膨胀金属支架在eus引导下引流/吻合中的有效性和安全性:一项多中心回顾性研究
背景和目的:介入性 EUS 的最新技术进步改善了 EUS 引导下引流/吻合术(EUS-D/A),但挑战依然存在。本研究评估了具有抗移位特性的方形扩口全覆盖自扩张金属支架(SF-FCSEMS)用于 EUS-D/A 的安全性和可行性:这项回顾性队列研究在 2 个学术中心进行,分析了 2015 年 4 月至 2022 年 11 月期间因 EUS-D/A 而接受 SF-FCSEMS 置入手术的患者。我们使用的 SF-FCSEMS 两端有一个方形扩口,直径比支架体大 4 毫米,具有防移位效果:共纳入 36 名患者(中位年龄:74 岁),其中男性占 41.6%。恶性肿瘤占 83.3%。在 EUS-D/A 手术类型中,52.8% 进行了 EUS 脓肿引流,30.6% 进行了 EUS 引导胆囊引流,16.7% 进行了 EUS 引导脓肿引流。技术成功率为 97.2%,临床成功率为 97.1%。手术时间中位数为 36 分钟,所有病例均进行了穿刺道扩张。11.1%的患者出现了不良反应;11.8%的患者症状复发,无移位。在随访期间,26.5%的患者进行了 SF-FCSEMS 移除,中位持续时间为 154 天。部署 SF-FCSEMS 的总成本比使用腔内贴壁金属支架低约 40%:结论:在本研究中,使用具有抗移位特性的 SF-FCSEMS 进行 EUS-D/A 不仅有效、可行,而且具有成本优势。
本文章由计算机程序翻译,如有差异,请以英文原文为准。
求助全文
约1分钟内获得全文 求助全文
来源期刊
Endoscopic Ultrasound
Endoscopic Ultrasound GASTROENTEROLOGY & HEPATOLOGY-
CiteScore
6.20
自引率
11.10%
发文量
144
期刊介绍: Endoscopic Ultrasound, a publication of Euro-EUS Scientific Committee, Asia-Pacific EUS Task Force and Latin American Chapter of EUS, is a peer-reviewed online journal with Quarterly print on demand compilation of issues published. The journal’s full text is available online at http://www.eusjournal.com. The journal allows free access (Open Access) to its contents and permits authors to self-archive final accepted version of the articles on any OAI-compliant institutional / subject-based repository. The journal does not charge for submission, processing or publication of manuscripts and even for color reproduction of photographs.
×
引用
GB/T 7714-2015
复制
MLA
复制
APA
复制
导出至
BibTeX EndNote RefMan NoteFirst NoteExpress
×
提示
您的信息不完整,为了账户安全,请先补充。
现在去补充
×
提示
您因"违规操作"
具体请查看互助需知
我知道了
×
提示
确定
请完成安全验证×
copy
已复制链接
快去分享给好友吧!
我知道了
右上角分享
点击右上角分享
0
联系我们:info@booksci.cn Book学术提供免费学术资源搜索服务,方便国内外学者检索中英文文献。致力于提供最便捷和优质的服务体验。 Copyright © 2023 布克学术 All rights reserved.
京ICP备2023020795号-1
ghs 京公网安备 11010802042870号
Book学术文献互助
Book学术文献互助群
群 号:604180095
Book学术官方微信