An Imported Case of Gigantic Amoebic Liver Abscess in a 24-Year-Old Woman in Singapore.

IF 0.8 Q4 INFECTIOUS DISEASES
Case Reports in Infectious Diseases Pub Date : 2025-03-20 eCollection Date: 2025-01-01 DOI:10.1155/crdi/6230349
Edwin Chong Yu Sng, Jean-Marc Chavatte
{"title":"An Imported Case of Gigantic Amoebic Liver Abscess in a 24-Year-Old Woman in Singapore.","authors":"Edwin Chong Yu Sng, Jean-Marc Chavatte","doi":"10.1155/crdi/6230349","DOIUrl":null,"url":null,"abstract":"<p><p>A liver abscess can be due to several different microbiological aetiologies. While pyogenic liver abscess is most frequently encountered, amoebic liver abscess and hydatid cyst caused by the parasites, <i>Entamoeba histolytica</i> and <i>Echinococcus granulosus,</i> respectively, should be considered whenever there is epidemiological exposure. As parasitic infections are now rarely seen in clinical practice in developed countries with improvement in sanitation, lack of clinical experience in managing amoebic liver abscesses and overlapping clinical and imaging features between amoebic and pyogenic liver abscesses may lead to delay in diagnosis. In particular, although amoebic liver abscesses respond well to treatment if diagnosed early, they can progress and rupture with high mortality if treatment is delayed. Hence, early diagnosis and prompt initiation of antimicrobials are crucial to prevent complications and death. This case report highlights a case of a very large 21 cm ALA in a young lady to illustrate the challenges faced during diagnostic evaluation.</p>","PeriodicalId":9608,"journal":{"name":"Case Reports in Infectious Diseases","volume":"2025 ","pages":"6230349"},"PeriodicalIF":0.8000,"publicationDate":"2025-03-20","publicationTypes":"Journal Article","fieldsOfStudy":null,"isOpenAccess":false,"openAccessPdf":"https://www.ncbi.nlm.nih.gov/pmc/articles/PMC11949589/pdf/","citationCount":"0","resultStr":null,"platform":"Semanticscholar","paperid":null,"PeriodicalName":"Case Reports in Infectious Diseases","FirstCategoryId":"1085","ListUrlMain":"https://doi.org/10.1155/crdi/6230349","RegionNum":0,"RegionCategory":null,"ArticlePicture":[],"TitleCN":null,"AbstractTextCN":null,"PMCID":null,"EPubDate":"2025/1/1 0:00:00","PubModel":"eCollection","JCR":"Q4","JCRName":"INFECTIOUS DISEASES","Score":null,"Total":0}
引用次数: 0

Abstract

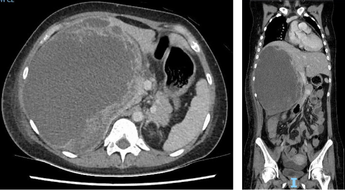
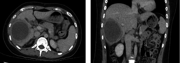
A liver abscess can be due to several different microbiological aetiologies. While pyogenic liver abscess is most frequently encountered, amoebic liver abscess and hydatid cyst caused by the parasites, Entamoeba histolytica and Echinococcus granulosus, respectively, should be considered whenever there is epidemiological exposure. As parasitic infections are now rarely seen in clinical practice in developed countries with improvement in sanitation, lack of clinical experience in managing amoebic liver abscesses and overlapping clinical and imaging features between amoebic and pyogenic liver abscesses may lead to delay in diagnosis. In particular, although amoebic liver abscesses respond well to treatment if diagnosed early, they can progress and rupture with high mortality if treatment is delayed. Hence, early diagnosis and prompt initiation of antimicrobials are crucial to prevent complications and death. This case report highlights a case of a very large 21 cm ALA in a young lady to illustrate the challenges faced during diagnostic evaluation.

Abstract Image

Abstract Image

新加坡1例24岁女性输入性巨大阿米巴肝脓肿。
肝脓肿可由几种不同的微生物病因引起。虽然化脓性肝脓肿是最常见的,但当有流行病学暴露时,应考虑由溶组织内阿米巴原虫引起的阿米巴肝脓肿和由细粒棘球绦虫引起的包虫病。由于寄生虫感染现在在卫生条件改善的发达国家的临床实践中很少见到,缺乏处理阿米巴性肝脓肿的临床经验以及阿米巴性和化脓性肝脓肿之间的重叠临床和影像学特征可能导致诊断延误。特别是,虽然阿米巴肝脓肿如果早期诊断,治疗效果良好,但如果治疗延迟,它们可能会发展和破裂,死亡率很高。因此,早期诊断和及时开始使用抗菌素对于预防并发症和死亡至关重要。这个病例报告强调了一个非常大的21厘米ALA在一个年轻的女士的情况下,以说明在诊断评估所面临的挑战。
本文章由计算机程序翻译,如有差异,请以英文原文为准。
求助全文
约1分钟内获得全文 求助全文
来源期刊
自引率
0.00%
发文量
64
审稿时长
13 weeks
×
引用
GB/T 7714-2015
复制
MLA
复制
APA
复制
导出至
BibTeX EndNote RefMan NoteFirst NoteExpress
×
提示
您的信息不完整,为了账户安全,请先补充。
现在去补充
×
提示
您因"违规操作"
具体请查看互助需知
我知道了
×
提示
确定
请完成安全验证×
copy
已复制链接
快去分享给好友吧!
我知道了
右上角分享
点击右上角分享
0
联系我们:info@booksci.cn Book学术提供免费学术资源搜索服务,方便国内外学者检索中英文文献。致力于提供最便捷和优质的服务体验。 Copyright © 2023 布克学术 All rights reserved.
京ICP备2023020795号-1
ghs 京公网安备 11010802042870号
Book学术文献互助
Book学术文献互助群
群 号:604180095
Book学术官方微信