A case of digital vasculitis in anti-synthetase syndrome (Anti-OJ subtype).

IF 2.5 Q3 RHEUMATOLOGY
Deniz Ak, Richard J Stratton
{"title":"A case of digital vasculitis in anti-synthetase syndrome (Anti-OJ subtype).","authors":"Deniz Ak, Richard J Stratton","doi":"10.1186/s41927-025-00484-0","DOIUrl":null,"url":null,"abstract":"<p><p>Anti-synthetase syndrome is a rare autoimmune disorder characterised by the presence of autoantibodies against aminoacyl transfer RNA synthetases. We report a unique case of a 54-year-old woman with anti-OJ anti-synthetase syndrome, characterised by the atypical occurrence of digital vasculitis in conjunction with the classic manifestations of anti-synthetase syndrome. Our patient presented with digital vasculitis affecting the right third and fourth fingers, rapidly evolving interstitial lung disease of the organising pneumonia subtype, sub-clinical myositis, arthritis and mechanic's hands. Notably, she had no prior history of Raynaud's phenomenon. Serological tests revealed positive anti-OJ antibodies and weakly positive anti-MI2 antibodies. Our patient's condition was managed with intravenous methylprednisolone then after stepped down to prednisolone and mycophenolate mofetil with successful therapeutic response.Current literature primarily highlights Raynaud's phenomenon and vasculopathy-related ischemia, whether occlusive or non-occlusive in anti-synthetase syndrome. This case study identifies digital vasculitis as a distinctive complication of anti-synthetase syndrome, anti-OJ subtype. It emphasises the importance of recognising vascular complications, including vasculitis, even when classic signs like Raynaud's phenomenon are absent. Further research is crucial to fully understand the range of vascular manifestations associated with anti-synthetase syndrome.</p>","PeriodicalId":9150,"journal":{"name":"BMC Rheumatology","volume":"9 1","pages":"36"},"PeriodicalIF":2.5000,"publicationDate":"2025-03-27","publicationTypes":"Journal Article","fieldsOfStudy":null,"isOpenAccess":false,"openAccessPdf":"https://www.ncbi.nlm.nih.gov/pmc/articles/PMC11948678/pdf/","citationCount":"0","resultStr":null,"platform":"Semanticscholar","paperid":null,"PeriodicalName":"BMC Rheumatology","FirstCategoryId":"1085","ListUrlMain":"https://doi.org/10.1186/s41927-025-00484-0","RegionNum":0,"RegionCategory":null,"ArticlePicture":[],"TitleCN":null,"AbstractTextCN":null,"PMCID":null,"EPubDate":"","PubModel":"","JCR":"Q3","JCRName":"RHEUMATOLOGY","Score":null,"Total":0}
引用次数: 0

Abstract

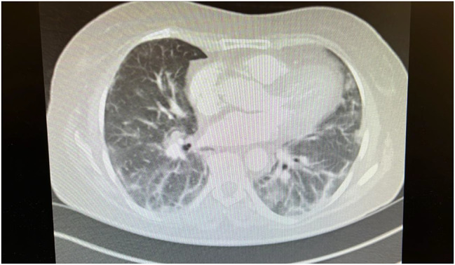
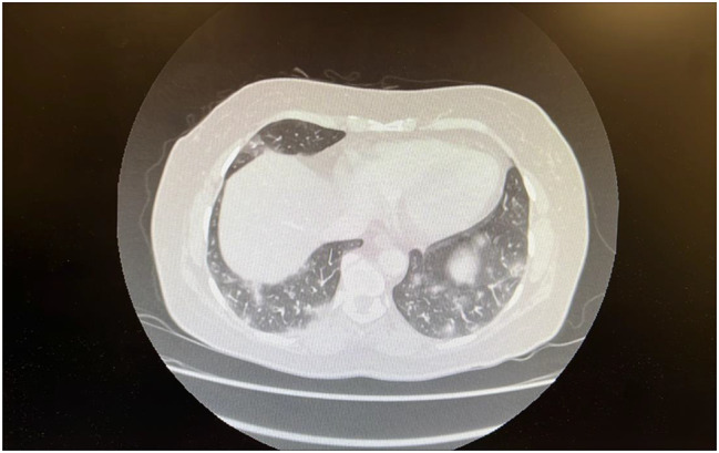
Anti-synthetase syndrome is a rare autoimmune disorder characterised by the presence of autoantibodies against aminoacyl transfer RNA synthetases. We report a unique case of a 54-year-old woman with anti-OJ anti-synthetase syndrome, characterised by the atypical occurrence of digital vasculitis in conjunction with the classic manifestations of anti-synthetase syndrome. Our patient presented with digital vasculitis affecting the right third and fourth fingers, rapidly evolving interstitial lung disease of the organising pneumonia subtype, sub-clinical myositis, arthritis and mechanic's hands. Notably, she had no prior history of Raynaud's phenomenon. Serological tests revealed positive anti-OJ antibodies and weakly positive anti-MI2 antibodies. Our patient's condition was managed with intravenous methylprednisolone then after stepped down to prednisolone and mycophenolate mofetil with successful therapeutic response.Current literature primarily highlights Raynaud's phenomenon and vasculopathy-related ischemia, whether occlusive or non-occlusive in anti-synthetase syndrome. This case study identifies digital vasculitis as a distinctive complication of anti-synthetase syndrome, anti-OJ subtype. It emphasises the importance of recognising vascular complications, including vasculitis, even when classic signs like Raynaud's phenomenon are absent. Further research is crucial to fully understand the range of vascular manifestations associated with anti-synthetase syndrome.

Abstract Image

Abstract Image

Abstract Image

抗合成酶综合征(抗oj亚型)伴手指血管炎1例。
抗合成酶综合征是一种罕见的自身免疫性疾病,其特征是存在针对氨基酰基转移RNA合成酶的自身抗体。我们报告一例54岁女性抗oj抗合成酶综合征的独特病例,其特征是不典型发生的指血管炎与抗合成酶综合征的经典表现相结合。我们的患者表现为影响右手第三和第四指的指血管炎,迅速发展的组织肺炎亚型间质性肺疾病,亚临床肌炎,关节炎和机械手。值得注意的是,她之前没有雷诺现象的病史。血清学检测显示抗oj抗体阳性,抗mi2抗体弱阳性。我们的病人的病情是静脉注射甲基强的松龙,然后降级到强的松龙和霉酚酸酯,成功的治疗反应。目前的文献主要强调抗合成酶综合征的雷诺现象和血管病变相关的缺血,无论是闭塞性还是非闭塞性。本病例研究确定指血管炎是抗合成酶综合征的一种独特并发症,抗oj亚型。它强调了识别血管并发症的重要性,包括血管炎,即使没有像雷诺现象这样的经典症状。进一步的研究对于充分了解与抗合成酶综合征相关的血管表现范围至关重要。
本文章由计算机程序翻译,如有差异,请以英文原文为准。
求助全文
约1分钟内获得全文 求助全文
来源期刊
BMC Rheumatology
BMC Rheumatology Medicine-Rheumatology
CiteScore
3.80
自引率
0.00%
发文量
73
审稿时长
15 weeks
×
引用
GB/T 7714-2015
复制
MLA
复制
APA
复制
导出至
BibTeX EndNote RefMan NoteFirst NoteExpress
×
提示
您的信息不完整,为了账户安全,请先补充。
现在去补充
×
提示
您因"违规操作"
具体请查看互助需知
我知道了
×
提示
确定
请完成安全验证×
copy
已复制链接
快去分享给好友吧!
我知道了
右上角分享
点击右上角分享
0
联系我们:info@booksci.cn Book学术提供免费学术资源搜索服务,方便国内外学者检索中英文文献。致力于提供最便捷和优质的服务体验。 Copyright © 2023 布克学术 All rights reserved.
京ICP备2023020795号-1
ghs 京公网安备 11010802042870号
Book学术文献互助
Book学术文献互助群
群 号:604180095
Book学术官方微信