Violaceous Nodules on the Left Forearm of an Immunosuppressed Patient Following Heart Transplantation for Cardiac Amyloidosis.

IF 1.7 Q3 DERMATOLOGY
Zachary Corey, Lydia A Luu, Sabrina Newman, Shyam S Raghavan
{"title":"Violaceous Nodules on the Left Forearm of an Immunosuppressed Patient Following Heart Transplantation for Cardiac Amyloidosis.","authors":"Zachary Corey, Lydia A Luu, Sabrina Newman, Shyam S Raghavan","doi":"10.3390/dermatopathology12010002","DOIUrl":null,"url":null,"abstract":"<p><p>We present the case of a 60-year-old immunocompromised man who presented with two pruritic pink-red indurated nodules with overlying scale and focal areas of ulceration on his left dorsal and left medial forearm, which evolved over a 2-month period. The pathology showed numerous fungal hyphae present that were pauci-septate with various branched angles and variable hyphal thickness. Fungal cultures grew <i>Rhizopus</i> species and a universal fungal PCR detected the <i>Rhizopus oryzae</i> complex. Based on the clinicopathologic correlation, the diagnosis of cutaneous mucormycosis was made. Cutaneous mucormycosis is an aggressive fungal infection of the <i>Mucorales</i> family occurring after the inoculation of fungal spores in disrupted skin. It usually presents as a necrotic eschar but can also present as cellulitis that evolves into a necrotic ulcer. A prompt diagnosis is critical for the effective management of cutaneous mucormycosis. The treatment includes an immediate systemic treatment with amphotericin B and a surgical debridement of the necrotic regions. Given the wide range of presenting symptoms, clinical suspicion for this emergent condition must remain high in immunocompromised and diabetic patients.</p>","PeriodicalId":42885,"journal":{"name":"Dermatopathology","volume":"12 1","pages":""},"PeriodicalIF":1.7000,"publicationDate":"2025-01-16","publicationTypes":"Journal Article","fieldsOfStudy":null,"isOpenAccess":false,"openAccessPdf":"https://www.ncbi.nlm.nih.gov/pmc/articles/PMC11755463/pdf/","citationCount":"0","resultStr":null,"platform":"Semanticscholar","paperid":null,"PeriodicalName":"Dermatopathology","FirstCategoryId":"1085","ListUrlMain":"https://doi.org/10.3390/dermatopathology12010002","RegionNum":0,"RegionCategory":null,"ArticlePicture":[],"TitleCN":null,"AbstractTextCN":null,"PMCID":null,"EPubDate":"","PubModel":"","JCR":"Q3","JCRName":"DERMATOLOGY","Score":null,"Total":0}
引用次数: 0

Abstract

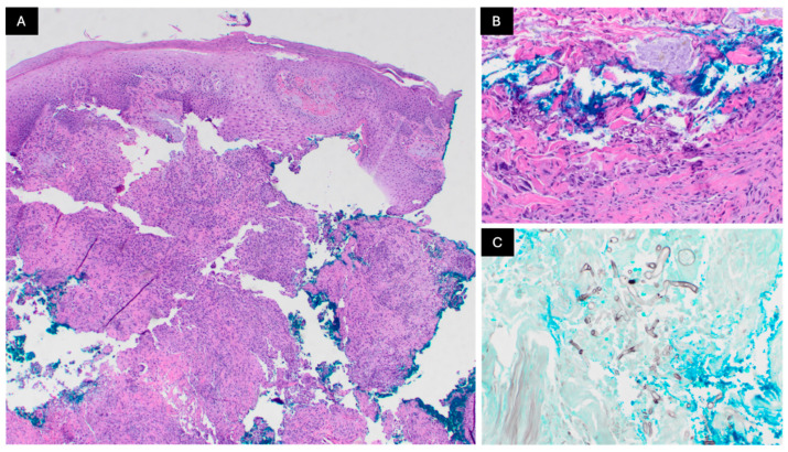
We present the case of a 60-year-old immunocompromised man who presented with two pruritic pink-red indurated nodules with overlying scale and focal areas of ulceration on his left dorsal and left medial forearm, which evolved over a 2-month period. The pathology showed numerous fungal hyphae present that were pauci-septate with various branched angles and variable hyphal thickness. Fungal cultures grew Rhizopus species and a universal fungal PCR detected the Rhizopus oryzae complex. Based on the clinicopathologic correlation, the diagnosis of cutaneous mucormycosis was made. Cutaneous mucormycosis is an aggressive fungal infection of the Mucorales family occurring after the inoculation of fungal spores in disrupted skin. It usually presents as a necrotic eschar but can also present as cellulitis that evolves into a necrotic ulcer. A prompt diagnosis is critical for the effective management of cutaneous mucormycosis. The treatment includes an immediate systemic treatment with amphotericin B and a surgical debridement of the necrotic regions. Given the wide range of presenting symptoms, clinical suspicion for this emergent condition must remain high in immunocompromised and diabetic patients.

Abstract Image

Abstract Image

心脏淀粉样变性心脏移植后免疫抑制患者左前臂紫色结节。
我们报告了一个60岁的免疫功能低下的男人,他表现出两个瘙痒性的粉红色硬化结节,上面有鳞片和局灶性溃疡,在他的左前臂背侧和左前臂内侧,发展了2个月。病理表现为菌丝数量多,分枝角度多样,菌丝粗细不一,菌丝呈少裂状。真菌培养培养出根霉,通用真菌PCR检测到米根霉复合体。根据临床病理对比,诊断为皮肤毛霉病。皮肤毛霉菌病是一种侵袭性真菌感染的毛霉菌科发生后,在破坏皮肤接种真菌孢子。它通常表现为坏死性结痂,但也可以表现为蜂窝织炎,并发展为坏死性溃疡。及时诊断是有效管理皮肤毛霉病的关键。治疗包括立即用两性霉素B进行全身治疗和对坏死区域进行外科清创。鉴于出现的症状范围广泛,临床对这种紧急情况的怀疑必须在免疫功能低下和糖尿病患者中保持高度。
本文章由计算机程序翻译,如有差异,请以英文原文为准。
求助全文
约1分钟内获得全文 求助全文
来源期刊
Dermatopathology
Dermatopathology DERMATOLOGY-
自引率
5.30%
发文量
39
审稿时长
11 weeks
×
引用
GB/T 7714-2015
复制
MLA
复制
APA
复制
导出至
BibTeX EndNote RefMan NoteFirst NoteExpress
×
提示
您的信息不完整,为了账户安全,请先补充。
现在去补充
×
提示
您因"违规操作"
具体请查看互助需知
我知道了
×
提示
确定
请完成安全验证×
copy
已复制链接
快去分享给好友吧!
我知道了
右上角分享
点击右上角分享
0
联系我们:info@booksci.cn Book学术提供免费学术资源搜索服务,方便国内外学者检索中英文文献。致力于提供最便捷和优质的服务体验。 Copyright © 2023 布克学术 All rights reserved.
京ICP备2023020795号-1
ghs 京公网安备 11010802042870号
Book学术文献互助
Book学术文献互助群
群 号:604180095
Book学术官方微信