Thoracoscopic-assisted surgical stabilisation with a locking compression plate for pectus excavatum in a Maine Coon kitten.

IF 0.7 Q3 VETERINARY SCIENCES
Journal of Feline Medicine and Surgery Open Reports Pub Date : 2025-03-22 eCollection Date: 2025-01-01 DOI:10.1177/20551169251314253
Giorgia Venzo, Stéphane Libermann
{"title":"Thoracoscopic-assisted surgical stabilisation with a locking compression plate for pectus excavatum in a Maine Coon kitten.","authors":"Giorgia Venzo, Stéphane Libermann","doi":"10.1177/20551169251314253","DOIUrl":null,"url":null,"abstract":"<p><strong>Case summary: </strong>A 4-month-old Maine Coon kitten was presented for the surgical correction of pectus excavatum (PE). Originally presenting with progressive respiratory distress, the cat underwent video-assisted thoracoscopic surgery (VATS) for stabilisation using a locking compression plate. Postoperative complications included two separate episodes of infection, which ultimately resolved after implant removal. The cat showed gradual improvement and exhibited no clinical signs related to PE at the 12-month follow-up.</p><p><strong>Relevance and novel information: </strong>The VATS approach may provide a useful technique to help reduce intraoperative risk during PE correction in cats.</p>","PeriodicalId":36588,"journal":{"name":"Journal of Feline Medicine and Surgery Open Reports","volume":"11 1","pages":"20551169251314253"},"PeriodicalIF":0.7000,"publicationDate":"2025-03-22","publicationTypes":"Journal Article","fieldsOfStudy":null,"isOpenAccess":false,"openAccessPdf":"https://www.ncbi.nlm.nih.gov/pmc/articles/PMC11938514/pdf/","citationCount":"0","resultStr":null,"platform":"Semanticscholar","paperid":null,"PeriodicalName":"Journal of Feline Medicine and Surgery Open Reports","FirstCategoryId":"1085","ListUrlMain":"https://doi.org/10.1177/20551169251314253","RegionNum":0,"RegionCategory":null,"ArticlePicture":[],"TitleCN":null,"AbstractTextCN":null,"PMCID":null,"EPubDate":"2025/1/1 0:00:00","PubModel":"eCollection","JCR":"Q3","JCRName":"VETERINARY SCIENCES","Score":null,"Total":0}
引用次数: 0

Abstract

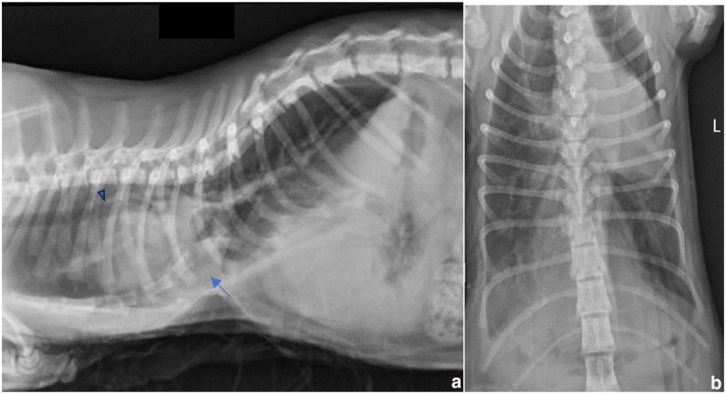
Case summary: A 4-month-old Maine Coon kitten was presented for the surgical correction of pectus excavatum (PE). Originally presenting with progressive respiratory distress, the cat underwent video-assisted thoracoscopic surgery (VATS) for stabilisation using a locking compression plate. Postoperative complications included two separate episodes of infection, which ultimately resolved after implant removal. The cat showed gradual improvement and exhibited no clinical signs related to PE at the 12-month follow-up.

Relevance and novel information: The VATS approach may provide a useful technique to help reduce intraoperative risk during PE correction in cats.

Abstract Image

Abstract Image

Abstract Image

胸腔镜辅助下用锁定加压钢板固定缅因猫漏斗胸。
病例总结:一只4个月大的缅因猫被提出进行手术矫正漏斗胸(PE)。最初表现为进行性呼吸窘迫,猫接受了视频辅助胸腔镜手术(VATS),使用锁定加压板稳定。术后并发症包括两次单独的感染,最终在植入物移除后解决。在12个月的随访中,猫逐渐改善,没有出现与PE相关的临床症状。相关性和新信息:VATS入路可能提供有用的技术,帮助降低猫肺动脉栓塞矫正术中风险。
本文章由计算机程序翻译,如有差异,请以英文原文为准。
求助全文
约1分钟内获得全文 求助全文
来源期刊
CiteScore
1.30
自引率
14.30%
发文量
57
审稿时长
15 weeks
×
引用
GB/T 7714-2015
复制
MLA
复制
APA
复制
导出至
BibTeX EndNote RefMan NoteFirst NoteExpress
×
提示
您的信息不完整,为了账户安全,请先补充。
现在去补充
×
提示
您因"违规操作"
具体请查看互助需知
我知道了
×
提示
确定
请完成安全验证×
copy
已复制链接
快去分享给好友吧!
我知道了
右上角分享
点击右上角分享
0
联系我们:info@booksci.cn Book学术提供免费学术资源搜索服务,方便国内外学者检索中英文文献。致力于提供最便捷和优质的服务体验。 Copyright © 2023 布克学术 All rights reserved.
京ICP备2023020795号-1
ghs 京公网安备 11010802042870号
Book学术文献互助
Book学术文献互助群
群 号:604180095
Book学术官方微信