The Unwelcome Guest: Strongyloides stercoralis Hyperinfection in a Patient With Steroid-Dependent Asthma-COPD Overlap Syndrome (ACOS)-A Case Report and Review of Literature.

Q4 Medicine
Case Reports in Pulmonology Pub Date : 2025-03-19 eCollection Date: 2025-01-01 DOI:10.1155/crpu/3204304
Rafael Miret, Jose M Acosta-Rullan, Alfredo Toll, Grayson Honeycutt, Manjot Malhi, Christian Almanzar Zorrilla, Raiko Diaz, Mauricio Danckers, Daniel Zapata
{"title":"The Unwelcome Guest: <i>Strongyloides stercoralis</i> Hyperinfection in a Patient With Steroid-Dependent Asthma-COPD Overlap Syndrome (ACOS)-A Case Report and Review of Literature.","authors":"Rafael Miret, Jose M Acosta-Rullan, Alfredo Toll, Grayson Honeycutt, Manjot Malhi, Christian Almanzar Zorrilla, Raiko Diaz, Mauricio Danckers, Daniel Zapata","doi":"10.1155/crpu/3204304","DOIUrl":null,"url":null,"abstract":"<p><p><i>Strongyloides stercoralis</i> is a soil-transmitted roundworm nematode estimated to affect over 600 million people worldwide. Hyperinfection syndrome (HS) has been described in immunosuppressed patients. Our case highlights a rare manifestation of HS due to <i>Strongyloides stercoralis</i> causing acute respiratory failure in an asthma-COPD overlap syndrome (ACOS) patient on chronic corticosteroid therapy. A 63-year-old woman with diabetes, chronic obstructive pulmonary disorder due to chronic cigarette smoking, and severe asthma on chronic prednisone therapy presented with recurrent intractable abdominal pain and shortness of breath. The patient underwent esophagogastroduodenoscopy (EGD) showing friable mucosa returning positive for <i>Strongyloides stercoralis</i> infection. The patient deteriorated with progressive acute hypoxic respiratory failure and acute metabolic encephalopathy requiring invasive mechanical ventilation. Dual antiparasitic therapy with ivermectin and albendazole was initiated, and the patient was treated for septic shock. The patient was successfully extubated and was discharged from the hospital to a rehabilitation center without steroid therapy. Due to the classic transmission and life cycle of the filiform larvae, the lungs are target organs in HS. The mortality of <i>Strongyloides</i> HS ranges from 85% to 100% when untreated. HS due to <i>Strongyloides stercoralis</i> carries a high risk for disseminated infection in patients with chronic steroids. High index of suspicion, tissue sample, and prompt institution of target therapy institutions are key for a successful clinical outcome.</p>","PeriodicalId":52364,"journal":{"name":"Case Reports in Pulmonology","volume":"2025 ","pages":"3204304"},"PeriodicalIF":0.0000,"publicationDate":"2025-03-19","publicationTypes":"Journal Article","fieldsOfStudy":null,"isOpenAccess":false,"openAccessPdf":"https://www.ncbi.nlm.nih.gov/pmc/articles/PMC11944777/pdf/","citationCount":"0","resultStr":null,"platform":"Semanticscholar","paperid":null,"PeriodicalName":"Case Reports in Pulmonology","FirstCategoryId":"1085","ListUrlMain":"https://doi.org/10.1155/crpu/3204304","RegionNum":0,"RegionCategory":null,"ArticlePicture":[],"TitleCN":null,"AbstractTextCN":null,"PMCID":null,"EPubDate":"2025/1/1 0:00:00","PubModel":"eCollection","JCR":"Q4","JCRName":"Medicine","Score":null,"Total":0}
引用次数: 0

Abstract

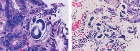
Strongyloides stercoralis is a soil-transmitted roundworm nematode estimated to affect over 600 million people worldwide. Hyperinfection syndrome (HS) has been described in immunosuppressed patients. Our case highlights a rare manifestation of HS due to Strongyloides stercoralis causing acute respiratory failure in an asthma-COPD overlap syndrome (ACOS) patient on chronic corticosteroid therapy. A 63-year-old woman with diabetes, chronic obstructive pulmonary disorder due to chronic cigarette smoking, and severe asthma on chronic prednisone therapy presented with recurrent intractable abdominal pain and shortness of breath. The patient underwent esophagogastroduodenoscopy (EGD) showing friable mucosa returning positive for Strongyloides stercoralis infection. The patient deteriorated with progressive acute hypoxic respiratory failure and acute metabolic encephalopathy requiring invasive mechanical ventilation. Dual antiparasitic therapy with ivermectin and albendazole was initiated, and the patient was treated for septic shock. The patient was successfully extubated and was discharged from the hospital to a rehabilitation center without steroid therapy. Due to the classic transmission and life cycle of the filiform larvae, the lungs are target organs in HS. The mortality of Strongyloides HS ranges from 85% to 100% when untreated. HS due to Strongyloides stercoralis carries a high risk for disseminated infection in patients with chronic steroids. High index of suspicion, tissue sample, and prompt institution of target therapy institutions are key for a successful clinical outcome.

Abstract Image

Abstract Image

不受欢迎的客人:类固醇依赖性哮喘-慢性阻塞性肺病重叠综合征(ACOS)患者的粪类圆线虫过度感染- 1例报告和文献复习。
粪圆线虫是一种土壤传播的蛔虫线虫,估计影响全世界6亿多人。过度感染综合征(HS)已描述免疫抑制患者。我们的病例强调了一个罕见的HS表现,由于粪圆线虫引起急性呼吸衰竭的哮喘-慢阻肺重叠综合征(ACOS)患者在慢性皮质类固醇治疗。63岁女性,患有糖尿病、慢性吸烟所致慢性阻塞性肺疾病和重度哮喘,经慢性强的松治疗后复发性难治性腹痛和呼吸短促。患者行食管胃十二指肠镜检查(EGD),显示脆弱粘膜肠类圆杆菌感染阳性。患者恶化为进行性急性缺氧性呼吸衰竭和急性代谢性脑病,需要有创机械通气。开始伊维菌素和阿苯达唑双重抗寄生虫治疗,患者接受感染性休克治疗。患者成功拔管,出院至康复中心,未接受类固醇治疗。由于丝状幼虫的典型传播和生命周期,肺部是HS的靶器官。在未经治疗的情况下,类圆线虫的死亡率从85%到100%不等。由粪圆线虫引起的HS在慢性类固醇患者中具有播散性感染的高风险。高怀疑指数、组织样本和及时建立目标治疗机构是成功临床结果的关键。
本文章由计算机程序翻译,如有差异,请以英文原文为准。
求助全文
约1分钟内获得全文 求助全文
来源期刊
Case Reports in Pulmonology
Case Reports in Pulmonology Medicine-Pulmonary and Respiratory Medicine
CiteScore
1.80
自引率
0.00%
发文量
23
审稿时长
13 weeks
×
引用
GB/T 7714-2015
复制
MLA
复制
APA
复制
导出至
BibTeX EndNote RefMan NoteFirst NoteExpress
×
提示
您的信息不完整,为了账户安全,请先补充。
现在去补充
×
提示
您因"违规操作"
具体请查看互助需知
我知道了
×
提示
确定
请完成安全验证×
copy
已复制链接
快去分享给好友吧!
我知道了
右上角分享
点击右上角分享
0
联系我们:info@booksci.cn Book学术提供免费学术资源搜索服务,方便国内外学者检索中英文文献。致力于提供最便捷和优质的服务体验。 Copyright © 2023 布克学术 All rights reserved.
京ICP备2023020795号-1
ghs 京公网安备 11010802042870号
Book学术文献互助
Book学术文献互助群
群 号:604180095
Book学术官方微信