Rhabdoid Tumor Predisposition Syndrome : A Comprehensive Review of Genetics, Clinical Manifestations, and Management.

IF 1.7 4区 医学 Q4 CLINICAL NEUROLOGY
Journal of Korean Neurosurgical Society Pub Date : 2025-05-01 Epub Date: 2025-03-27 DOI:10.3340/jkns.2025.0014
Taehoon Kim, Ji Hoon Phi
{"title":"Rhabdoid Tumor Predisposition Syndrome : A Comprehensive Review of Genetics, Clinical Manifestations, and Management.","authors":"Taehoon Kim, Ji Hoon Phi","doi":"10.3340/jkns.2025.0014","DOIUrl":null,"url":null,"abstract":"<p><p>Rhabdoid tumor predisposition syndrome (RTPS) is a rare autosomal dominant disorder characterized by an increased risk of developing malignant rhabdoid tumors in early childhood. This syndrome is primarily caused by germline heterozygous loss-of-function pathogenic variants in the SMARCB1 gene (RTPS1) and rarely in the SMARCA4 gene (RTPS2). RTPS is characterized by the development of atypical teratoid rhabdoid tumors of the central nervous system, malignant rhabdoid tumors of the kidney, and/or extrarenal extracranial rhabdoid tumors. The syndrome demonstrates high penetrance, with most tumors developing before age 3 years, and carries a poor prognosis despite intensive multimodal therapy. Early diagnosis through genetic testing, implementation of surveillance protocols, and aggressive treatment approaches are crucial for improving outcomes. This review comprehensively examines the genetic basis, clinical manifestations, surveillance strategies, and current management approaches for RTPS, with particular emphasis on emerging therapeutic options and the importance of multidisciplinary care.</p>","PeriodicalId":16283,"journal":{"name":"Journal of Korean Neurosurgical Society","volume":" ","pages":"311-320"},"PeriodicalIF":1.7000,"publicationDate":"2025-05-01","publicationTypes":"Journal Article","fieldsOfStudy":null,"isOpenAccess":false,"openAccessPdf":"https://www.ncbi.nlm.nih.gov/pmc/articles/PMC12062526/pdf/","citationCount":"0","resultStr":null,"platform":"Semanticscholar","paperid":null,"PeriodicalName":"Journal of Korean Neurosurgical Society","FirstCategoryId":"3","ListUrlMain":"https://doi.org/10.3340/jkns.2025.0014","RegionNum":4,"RegionCategory":"医学","ArticlePicture":[],"TitleCN":null,"AbstractTextCN":null,"PMCID":null,"EPubDate":"2025/3/27 0:00:00","PubModel":"Epub","JCR":"Q4","JCRName":"CLINICAL NEUROLOGY","Score":null,"Total":0}
引用次数: 0

Abstract

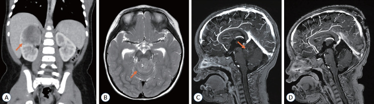
Rhabdoid tumor predisposition syndrome (RTPS) is a rare autosomal dominant disorder characterized by an increased risk of developing malignant rhabdoid tumors in early childhood. This syndrome is primarily caused by germline heterozygous loss-of-function pathogenic variants in the SMARCB1 gene (RTPS1) and rarely in the SMARCA4 gene (RTPS2). RTPS is characterized by the development of atypical teratoid rhabdoid tumors of the central nervous system, malignant rhabdoid tumors of the kidney, and/or extrarenal extracranial rhabdoid tumors. The syndrome demonstrates high penetrance, with most tumors developing before age 3 years, and carries a poor prognosis despite intensive multimodal therapy. Early diagnosis through genetic testing, implementation of surveillance protocols, and aggressive treatment approaches are crucial for improving outcomes. This review comprehensively examines the genetic basis, clinical manifestations, surveillance strategies, and current management approaches for RTPS, with particular emphasis on emerging therapeutic options and the importance of multidisciplinary care.

Abstract Image

Abstract Image

横纹肌样肿瘤易感综合征:遗传学、临床表现和管理的综合综述。
横纹肌样肿瘤易感综合征(RTPS)是一种罕见的常染色体显性遗传病,其特征是儿童早期发生恶性横纹肌样肿瘤的风险增加。该综合征主要由SMARCB1基因(RTPS1)的种系杂合性功能丧失致病性变异引起,而SMARCA4基因(RTPS2)很少发生。RTPS的特点是发生中枢神经系统不典型畸胎瘤样横纹肌样肿瘤(ATRT)、肾恶性横纹肌样肿瘤(RTK)和/或肾外颅外横纹肌样肿瘤(EERT)。该综合征表现出高外显率,大多数肿瘤在3岁之前发生,尽管进行了强化的多模式治疗,但预后较差。通过基因检测进行早期诊断、实施监测方案和积极的治疗方法对于改善结果至关重要。这篇综述全面检查了RTPS的遗传基础、临床表现、监测策略和当前的管理方法,特别强调了新兴的治疗选择和多学科治疗的重要性。
本文章由计算机程序翻译,如有差异,请以英文原文为准。
求助全文
约1分钟内获得全文 求助全文
来源期刊
CiteScore
2.90
自引率
6.20%
发文量
109
审稿时长
3-8 weeks
期刊介绍: The Journal of Korean Neurosurgical Society (J Korean Neurosurg Soc) is the official journal of the Korean Neurosurgical Society, and published bimonthly (1st day of January, March, May, July, September, and November). It launched in October 31, 1972 with Volume 1 and Number 1. J Korean Neurosurg Soc aims to allow neurosurgeons from around the world to enrich their knowledge of patient management, education, and clinical or experimental research, and hence their professionalism. This journal publishes Laboratory Investigations, Clinical Articles, Review Articles, Case Reports, Technical Notes, and Letters to the Editor. Our field of interest involves clinical neurosurgery (cerebrovascular disease, neuro-oncology, skull base neurosurgery, spine, pediatric neurosurgery, functional neurosurgery, epilepsy, neuro-trauma, and peripheral nerve disease) and laboratory work in neuroscience.
×
引用
GB/T 7714-2015
复制
MLA
复制
APA
复制
导出至
BibTeX EndNote RefMan NoteFirst NoteExpress
×
提示
您的信息不完整,为了账户安全,请先补充。
现在去补充
×
提示
您因"违规操作"
具体请查看互助需知
我知道了
×
提示
确定
请完成安全验证×
copy
已复制链接
快去分享给好友吧!
我知道了
右上角分享
点击右上角分享
0
联系我们:info@booksci.cn Book学术提供免费学术资源搜索服务,方便国内外学者检索中英文文献。致力于提供最便捷和优质的服务体验。 Copyright © 2023 布克学术 All rights reserved.
京ICP备2023020795号-1
ghs 京公网安备 11010802042870号
Book学术文献互助
Book学术文献互助群
群 号:604180095
Book学术官方微信