Evaluation of Fracture Resistance and Failure Modes of Maxillary Premolars Restored with Different Coronal Designed Fiber Posts: In Vitro Study.

IF 2 Q3 DENTISTRY, ORAL SURGERY & MEDICINE
Tuba Gök, Ege Durdu, Mehmet Raşit Atik, Furkan Konuş, Adem Gök
{"title":"Evaluation of Fracture Resistance and Failure Modes of Maxillary Premolars Restored with Different Coronal Designed Fiber Posts: In Vitro Study.","authors":"Tuba Gök, Ege Durdu, Mehmet Raşit Atik, Furkan Konuş, Adem Gök","doi":"10.14744/eej.2025.74936","DOIUrl":null,"url":null,"abstract":"<p><strong>Objective: </strong>The design and structural properties of fiber posts play a crucial role in the long-term success of endodontically treated teeth by influencing their fracture resistance and failure patterns. This study aimed to evaluate the effect of fiber posts with different coronal designs on fracture resistance and failure mode in endodontically treated maxillary premolars restored with cusp-covering direct overlay restorations.</p><p><strong>Methods: </strong>Forty-five extracted human maxillary premolar teeth were selected. The 2 mm cusp reducted MOD cavity preparations and root canal treatments were performed. The teeth were divided into three groups (n=15): group 1: standard conical post (SCP) (Exatec Blanco HT-glass fiber post), group 2: cylindrical core post (CCP) (Exatec Blanco HT-glass fiber post) and group 3: control group (no post applied). After the placement of posts, overlay restorations were made with resin composite. The fracture resistance test was applied with a universal testing device and maximum forces were recorded. The failure mode scores were recorded using a dental microscope. The ANOVA test was used for the statistical analysis (p<0.05).</p><p><strong>Results: </strong>While no significant difference was observed in terms of fracture resistance between SCP and CCP groups (1033.15 N and 981.17 N, respectively), the control group had significantly lower fracture resistance (852.93 N) (p=0.004). The number of restorable failure modes was higher in all groups. The non-restorable failure mode V was higher in CCP and control groups than SCP group.</p><p><strong>Conclusion: </strong>Different coronal designs of fiber posts showed no significant difference in fracture resistance. Restorable failures were more frequent in the SCP group. (EEJ-2025-02-018).</p>","PeriodicalId":11860,"journal":{"name":"European Endodontic Journal","volume":"10 1","pages":"58-65"},"PeriodicalIF":2.0000,"publicationDate":"2025-01-01","publicationTypes":"Journal Article","fieldsOfStudy":null,"isOpenAccess":false,"openAccessPdf":"https://www.ncbi.nlm.nih.gov/pmc/articles/PMC11971704/pdf/","citationCount":"0","resultStr":null,"platform":"Semanticscholar","paperid":null,"PeriodicalName":"European Endodontic Journal","FirstCategoryId":"1085","ListUrlMain":"https://doi.org/10.14744/eej.2025.74936","RegionNum":0,"RegionCategory":null,"ArticlePicture":[],"TitleCN":null,"AbstractTextCN":null,"PMCID":null,"EPubDate":"","PubModel":"","JCR":"Q3","JCRName":"DENTISTRY, ORAL SURGERY & MEDICINE","Score":null,"Total":0}
引用次数: 0

Abstract

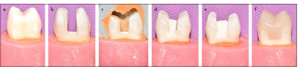
Objective: The design and structural properties of fiber posts play a crucial role in the long-term success of endodontically treated teeth by influencing their fracture resistance and failure patterns. This study aimed to evaluate the effect of fiber posts with different coronal designs on fracture resistance and failure mode in endodontically treated maxillary premolars restored with cusp-covering direct overlay restorations.

Methods: Forty-five extracted human maxillary premolar teeth were selected. The 2 mm cusp reducted MOD cavity preparations and root canal treatments were performed. The teeth were divided into three groups (n=15): group 1: standard conical post (SCP) (Exatec Blanco HT-glass fiber post), group 2: cylindrical core post (CCP) (Exatec Blanco HT-glass fiber post) and group 3: control group (no post applied). After the placement of posts, overlay restorations were made with resin composite. The fracture resistance test was applied with a universal testing device and maximum forces were recorded. The failure mode scores were recorded using a dental microscope. The ANOVA test was used for the statistical analysis (p<0.05).

Results: While no significant difference was observed in terms of fracture resistance between SCP and CCP groups (1033.15 N and 981.17 N, respectively), the control group had significantly lower fracture resistance (852.93 N) (p=0.004). The number of restorable failure modes was higher in all groups. The non-restorable failure mode V was higher in CCP and control groups than SCP group.

Conclusion: Different coronal designs of fiber posts showed no significant difference in fracture resistance. Restorable failures were more frequent in the SCP group. (EEJ-2025-02-018).

Abstract Image

Abstract Image

Abstract Image

不同冠状面纤维桩修复上颌前磨牙的抗折性及破坏模式的体外研究。
目的:纤维桩的设计和结构性能对根管治疗牙的长期成功起着至关重要的作用。本研究旨在探讨不同冠状结构的纤维桩对根管治疗的上颌前磨牙牙尖覆盖直接覆盖修复体的抗折性和破坏模式的影响。方法:选择45颗拔除的人上颌前磨牙。进行2 mm根尖缩模腔准备及根管治疗。牙组分为3组(n=15):第1组:标准锥形桩(SCP) (Exatec Blanco ht -玻璃纤维桩),第2组:圆柱形核心桩(CCP) (Exatec Blanco ht -玻璃纤维桩),第3组:对照组(未应用桩)。柱子放置后,用树脂复合材料进行覆盖修复。在通用测试装置上进行抗断裂试验,并记录最大力。用牙镜记录失效模式评分。结果:SCP组与CCP组的抗骨折能力差异无统计学意义(分别为1033.15 N和981.17 N),而对照组的抗骨折能力显著低于CCP组(852.93 N) (p=0.004)。可恢复故障模式的数量在所有组中都较高。CCP组和对照组的不可恢复失效模式V高于SCP组。结论:不同冠状面设计的纤维桩抗折性无显著差异。可恢复故障在SCP组中更为频繁。(eej - 2025 - 02 - 018)。
本文章由计算机程序翻译,如有差异,请以英文原文为准。
求助全文
约1分钟内获得全文 求助全文
来源期刊
European Endodontic Journal
European Endodontic Journal DENTISTRY, ORAL SURGERY & MEDICINE-
CiteScore
3.40
自引率
5.60%
发文量
25
×
引用
GB/T 7714-2015
复制
MLA
复制
APA
复制
导出至
BibTeX EndNote RefMan NoteFirst NoteExpress
×
提示
您的信息不完整,为了账户安全,请先补充。
现在去补充
×
提示
您因"违规操作"
具体请查看互助需知
我知道了
×
提示
确定
请完成安全验证×
copy
已复制链接
快去分享给好友吧!
我知道了
右上角分享
点击右上角分享
0
联系我们:info@booksci.cn Book学术提供免费学术资源搜索服务,方便国内外学者检索中英文文献。致力于提供最便捷和优质的服务体验。 Copyright © 2023 布克学术 All rights reserved.
京ICP备2023020795号-1
ghs 京公网安备 11010802042870号
Book学术文献互助
Book学术文献互助群
群 号:604180095
Book学术官方微信