A Man Living in the Wilderness Presents With a Unique Case of Erysipelothrix rhusiopathiae Causing Primary CNS Infection.

IF 0.8 Q4 INFECTIOUS DISEASES
Case Reports in Infectious Diseases Pub Date : 2025-03-19 eCollection Date: 2025-01-01 DOI:10.1155/crdi/6625621
Kevin Andrew Smith, Alejandra Méndez, Lindsey J Reese
{"title":"A Man Living in the Wilderness Presents With a Unique Case of <i>Erysipelothrix rhusiopathiae</i> Causing Primary CNS Infection.","authors":"Kevin Andrew Smith, Alejandra Méndez, Lindsey J Reese","doi":"10.1155/crdi/6625621","DOIUrl":null,"url":null,"abstract":"<p><p>We report the first published case of <i>Erysipelothrix rhusiopathiae</i> causing subdural empyema. This 66-year-old male patient had relevant exposure history including living in a tent in the woods and having direct contact with wildlife. His main symptom which triggered his presentation was diplopia with exam findings consistent with a left partial oculomotor nerve palsy. Initial attempts at less invasive source control via burr holes alone failed. He was treated successfully with craniectomy and aqueous penicillin G with a duration of 6 weeks following surgery. CNS infection as the primary manifestation of <i>Erysipelothrix rhusiopathiae</i> has been reported in only one other case based on our review of the literature. This pathogen demonstrates an ability to manifest infection in many ways and remains susceptible to narrow spectrum beta-lactams.</p>","PeriodicalId":9608,"journal":{"name":"Case Reports in Infectious Diseases","volume":"2025 ","pages":"6625621"},"PeriodicalIF":0.8000,"publicationDate":"2025-03-19","publicationTypes":"Journal Article","fieldsOfStudy":null,"isOpenAccess":false,"openAccessPdf":"https://www.ncbi.nlm.nih.gov/pmc/articles/PMC11944679/pdf/","citationCount":"0","resultStr":null,"platform":"Semanticscholar","paperid":null,"PeriodicalName":"Case Reports in Infectious Diseases","FirstCategoryId":"1085","ListUrlMain":"https://doi.org/10.1155/crdi/6625621","RegionNum":0,"RegionCategory":null,"ArticlePicture":[],"TitleCN":null,"AbstractTextCN":null,"PMCID":null,"EPubDate":"2025/1/1 0:00:00","PubModel":"eCollection","JCR":"Q4","JCRName":"INFECTIOUS DISEASES","Score":null,"Total":0}
引用次数: 0

Abstract

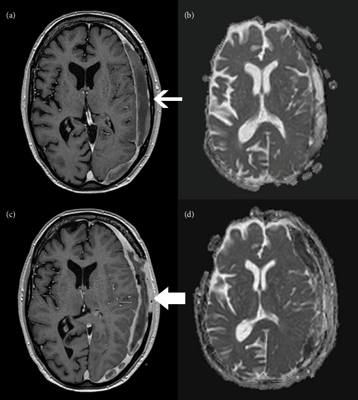
We report the first published case of Erysipelothrix rhusiopathiae causing subdural empyema. This 66-year-old male patient had relevant exposure history including living in a tent in the woods and having direct contact with wildlife. His main symptom which triggered his presentation was diplopia with exam findings consistent with a left partial oculomotor nerve palsy. Initial attempts at less invasive source control via burr holes alone failed. He was treated successfully with craniectomy and aqueous penicillin G with a duration of 6 weeks following surgery. CNS infection as the primary manifestation of Erysipelothrix rhusiopathiae has been reported in only one other case based on our review of the literature. This pathogen demonstrates an ability to manifest infection in many ways and remains susceptible to narrow spectrum beta-lactams.

Abstract Image

一名生活在荒野的男子呈现了一个独特的病例丹毒弧菌引起原发性中枢神经系统感染。
我们报告了第一个发表的病例丹毒弧菌引起硬膜下脓肿。66岁男性患者有相关暴露史,包括在森林帐篷中居住和与野生动物直接接触。他的主要症状是复视,检查结果符合左部分动眼神经麻痹。最初仅通过钻孔进行侵入性较小的源控制的尝试失败了。术后6周,行开颅手术和青霉素G水溶治疗。中枢神经系统感染作为主要表现的红喉丹毒已报道只有一个其他的情况下,根据我们的文献综述。这种病原体表现出以多种方式表现感染的能力,并且仍然对窄谱β -内酰胺敏感。
本文章由计算机程序翻译,如有差异,请以英文原文为准。
求助全文
约1分钟内获得全文 求助全文
来源期刊
自引率
0.00%
发文量
64
审稿时长
13 weeks
×
引用
GB/T 7714-2015
复制
MLA
复制
APA
复制
导出至
BibTeX EndNote RefMan NoteFirst NoteExpress
×
提示
您的信息不完整,为了账户安全,请先补充。
现在去补充
×
提示
您因"违规操作"
具体请查看互助需知
我知道了
×
提示
确定
请完成安全验证×
copy
已复制链接
快去分享给好友吧!
我知道了
右上角分享
点击右上角分享
0
联系我们:info@booksci.cn Book学术提供免费学术资源搜索服务,方便国内外学者检索中英文文献。致力于提供最便捷和优质的服务体验。 Copyright © 2023 布克学术 All rights reserved.
京ICP备2023020795号-1
ghs 京公网安备 11010802042870号
Book学术文献互助
Book学术文献互助群
群 号:604180095
Book学术官方微信