Role of variation coefficient of stone density in determining success of shock wave lithotripsy in urinary calculi.

Nadeem Iqbal, Aisha Hasan, Sajid Iqbal, Sadaf Noureen, Saeed Akhter
{"title":"Role of variation coefficient of stone density in determining success of shock wave lithotripsy in urinary calculi.","authors":"Nadeem Iqbal, Aisha Hasan, Sajid Iqbal, Sadaf Noureen, Saeed Akhter","doi":"10.5527/wjn.v14.i1.96946","DOIUrl":null,"url":null,"abstract":"<p><strong>Background: </strong>Various stone factors can affect the net results of shock wave lithotripsy (SWL). Recently a new factor called variation coefficient of stone density (VCSD) is being considered to have an impact on stone free rates.</p><p><strong>Aim: </strong>To assess the role of VCSD in determining success of SWL in urinary calculi.</p><p><strong>Methods: </strong>Charts review was utilized for collection of data variables. The patients were subjected to SWL, using an electromagnetic lithotripter. Mean stone density (MSD), stone heterogeneity index (SHI), and VCSD were calculated by generating regions of interest on computed tomography (CT) images. Role of these factors were determined by applying the relevant statistical tests for continuous and categorical variables and a <i>P</i> value of < 0.05 was gauged to be statistically significant.</p><p><strong>Results: </strong>There were a total of 407 patients included in the analysis. The mean age of the subjects in this study was 38.89 ± 14.61 years. In total, 165 out of the 407 patients could not achieve stone free status. The successful group had a significantly lower stone volume as compared to the unsuccessful group (<i>P</i> < 0.0001). Skin to stone distance was not dissimilar among the two groups (<i>P</i> = 0.47). MSD was significantly lower in the successful group (<i>P</i> < 0.0001). SHI and VCSD were both significantly higher in the successful group (<i>P</i> < 0.0001).</p><p><strong>Conclusion: </strong>VCSD, a useful CT based parameter, can be utilized to gauge stone fragility and hence the prediction of SWL outcomes.</p>","PeriodicalId":94272,"journal":{"name":"World journal of nephrology","volume":"14 1","pages":"96946"},"PeriodicalIF":0.0000,"publicationDate":"2025-03-25","publicationTypes":"Journal Article","fieldsOfStudy":null,"isOpenAccess":false,"openAccessPdf":"https://www.ncbi.nlm.nih.gov/pmc/articles/PMC11755239/pdf/","citationCount":"0","resultStr":null,"platform":"Semanticscholar","paperid":null,"PeriodicalName":"World journal of nephrology","FirstCategoryId":"1085","ListUrlMain":"https://doi.org/10.5527/wjn.v14.i1.96946","RegionNum":0,"RegionCategory":null,"ArticlePicture":[],"TitleCN":null,"AbstractTextCN":null,"PMCID":null,"EPubDate":"","PubModel":"","JCR":"","JCRName":"","Score":null,"Total":0}
引用次数: 0

Abstract

Background: Various stone factors can affect the net results of shock wave lithotripsy (SWL). Recently a new factor called variation coefficient of stone density (VCSD) is being considered to have an impact on stone free rates.

Aim: To assess the role of VCSD in determining success of SWL in urinary calculi.

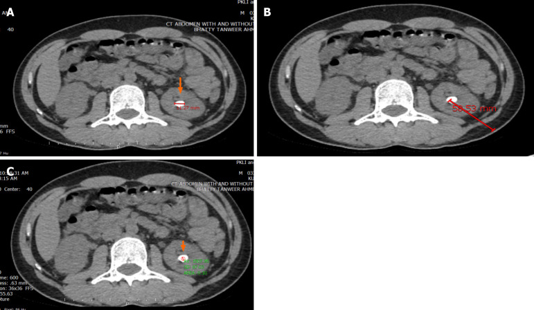
Methods: Charts review was utilized for collection of data variables. The patients were subjected to SWL, using an electromagnetic lithotripter. Mean stone density (MSD), stone heterogeneity index (SHI), and VCSD were calculated by generating regions of interest on computed tomography (CT) images. Role of these factors were determined by applying the relevant statistical tests for continuous and categorical variables and a P value of < 0.05 was gauged to be statistically significant.

Results: There were a total of 407 patients included in the analysis. The mean age of the subjects in this study was 38.89 ± 14.61 years. In total, 165 out of the 407 patients could not achieve stone free status. The successful group had a significantly lower stone volume as compared to the unsuccessful group (P < 0.0001). Skin to stone distance was not dissimilar among the two groups (P = 0.47). MSD was significantly lower in the successful group (P < 0.0001). SHI and VCSD were both significantly higher in the successful group (P < 0.0001).

Conclusion: VCSD, a useful CT based parameter, can be utilized to gauge stone fragility and hence the prediction of SWL outcomes.

Abstract Image

Abstract Image

结石密度变异系数对冲击波碎石治疗尿路结石成功与否的影响。
背景:各种结石因素可影响冲击波碎石术(SWL)的净结果。最近,一种被称为结石密度变异系数(VCSD)的新因子被认为对结石的游离率有影响。目的:评价VCSD在尿路结石SWL治疗成功中的作用。方法:采用图表法收集数据变量。采用电磁碎石机对患者进行SWL。通过在计算机断层扫描(CT)图像上生成感兴趣的区域,计算平均结石密度(MSD)、结石异质性指数(SHI)和VCSD。通过对连续变量和分类变量进行相关的统计检验来确定这些因素的作用,以P值< 0.05为有统计学意义。结果:共纳入407例患者。研究对象平均年龄为38.89±14.61岁。407例患者中有165例不能达到无结石状态。手术成功组的结石体积明显低于手术失败组(P < 0.0001)。两组患者皮肤到结石的距离差异无统计学意义(P = 0.47)。成功组的MSD明显低于对照组(P < 0.0001)。成功组SHI和VCSD均显著升高(P < 0.0001)。结论:VCSD是一种有用的基于CT的参数,可用于评估结石易碎性,从而预测SWL的预后。
本文章由计算机程序翻译,如有差异,请以英文原文为准。
求助全文
约1分钟内获得全文 求助全文
来源期刊
CiteScore
3.40
自引率
0.00%
发文量
0
×
引用
GB/T 7714-2015
复制
MLA
复制
APA
复制
导出至
BibTeX EndNote RefMan NoteFirst NoteExpress
×
提示
您的信息不完整,为了账户安全,请先补充。
现在去补充
×
提示
您因"违规操作"
具体请查看互助需知
我知道了
×
提示
确定
请完成安全验证×
copy
已复制链接
快去分享给好友吧!
我知道了
右上角分享
点击右上角分享
0
联系我们:info@booksci.cn Book学术提供免费学术资源搜索服务,方便国内外学者检索中英文文献。致力于提供最便捷和优质的服务体验。 Copyright © 2023 布克学术 All rights reserved.
京ICP备2023020795号-1
ghs 京公网安备 11010802042870号
Book学术文献互助
Book学术文献互助群
群 号:604180095
Book学术官方微信