The implications of hyperekplexia on children's quality of life: a report on two cases.

IF 2
Beatriz Salimon Carlos Dos Santos, João Pedro Garcia de Mattos, Laura Souza Juliano, Rodrigo Rigoleto de Souza, César Antônio Franco Marinho
{"title":"The implications of hyperekplexia on children's quality of life: a report on two cases.","authors":"Beatriz Salimon Carlos Dos Santos, João Pedro Garcia de Mattos, Laura Souza Juliano, Rodrigo Rigoleto de Souza, César Antônio Franco Marinho","doi":"10.1590/1984-0462/2025/43/2024189","DOIUrl":null,"url":null,"abstract":"<p><strong>Objective: </strong>To report two pediatric cases of hyperekplexia in a small city of São Paulo state, Brazil.</p><p><strong>Case description: </strong>Two female patients, one aged three years and six months and one aged five months, receiving care from an APAE (Association of Parents and Friends of People with Disabilities) unit, were diagnosed with hyperekplexia 1, a neurological disorder characterized by an excessive startle response. Hyperekplexia cases can be divided into three subgroups: hereditary, sporadic, and symptomatic. Several specialists have examined patient 1 since she was three weeks old, leading to two initial diagnostic hypotheses (childhood chronic non-progressive encephalopathy and spastic cerebral palsy). She was diagnosed with hyperekplexia 1 at eleven months when a genetic test revealed changes in the GLRA1 gene. Patient 2, at birth, presented hyperextension of both legs, low-set ears, cranial asymmetry, prominent occiput, and tremors in the lower limbs. After several tests and evaluations, the final diagnosis was confirmed at three months old. Her family history indicates the possibility of hereditary hyperekplexia.</p><p><strong>Comments: </strong>The cases were compared with information obtained through a bibliographical review. Both patients presented several symptoms associated with hyperekplexia, including neurological symptoms such as increased startle response, convulsions, and hypertonia, which were alleviated with appropriate treatment. So far, combining multidisciplinary assistance with drug treatment, particularly anxiolytics and anticonvulsants, with clonazepam being the most used, has significantly contributed to both patients' improved quality of life. However, physical symptoms, such as hip dislocation and clubfoot, require future surgical intervention.</p>","PeriodicalId":74721,"journal":{"name":"Revista paulista de pediatria : orgao oficial da Sociedade de Pediatria de Sao Paulo","volume":"43 ","pages":"e2024189"},"PeriodicalIF":2.0000,"publicationDate":"2025-03-24","publicationTypes":"Journal Article","fieldsOfStudy":null,"isOpenAccess":false,"openAccessPdf":"https://www.ncbi.nlm.nih.gov/pmc/articles/PMC11940706/pdf/","citationCount":"0","resultStr":null,"platform":"Semanticscholar","paperid":null,"PeriodicalName":"Revista paulista de pediatria : orgao oficial da Sociedade de Pediatria de Sao Paulo","FirstCategoryId":"1085","ListUrlMain":"https://doi.org/10.1590/1984-0462/2025/43/2024189","RegionNum":0,"RegionCategory":null,"ArticlePicture":[],"TitleCN":null,"AbstractTextCN":null,"PMCID":null,"EPubDate":"2025/1/1 0:00:00","PubModel":"eCollection","JCR":"","JCRName":"","Score":null,"Total":0}
引用次数: 0

Abstract

Objective: To report two pediatric cases of hyperekplexia in a small city of São Paulo state, Brazil.

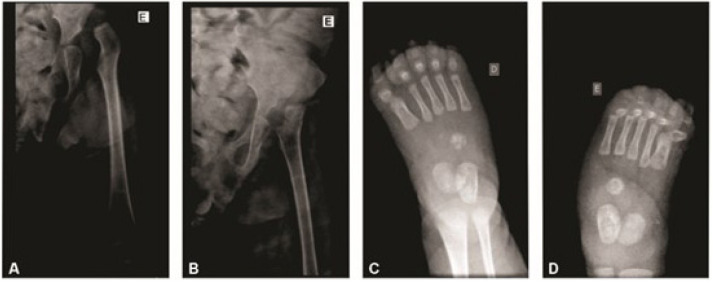
Case description: Two female patients, one aged three years and six months and one aged five months, receiving care from an APAE (Association of Parents and Friends of People with Disabilities) unit, were diagnosed with hyperekplexia 1, a neurological disorder characterized by an excessive startle response. Hyperekplexia cases can be divided into three subgroups: hereditary, sporadic, and symptomatic. Several specialists have examined patient 1 since she was three weeks old, leading to two initial diagnostic hypotheses (childhood chronic non-progressive encephalopathy and spastic cerebral palsy). She was diagnosed with hyperekplexia 1 at eleven months when a genetic test revealed changes in the GLRA1 gene. Patient 2, at birth, presented hyperextension of both legs, low-set ears, cranial asymmetry, prominent occiput, and tremors in the lower limbs. After several tests and evaluations, the final diagnosis was confirmed at three months old. Her family history indicates the possibility of hereditary hyperekplexia.

Comments: The cases were compared with information obtained through a bibliographical review. Both patients presented several symptoms associated with hyperekplexia, including neurological symptoms such as increased startle response, convulsions, and hypertonia, which were alleviated with appropriate treatment. So far, combining multidisciplinary assistance with drug treatment, particularly anxiolytics and anticonvulsants, with clonazepam being the most used, has significantly contributed to both patients' improved quality of life. However, physical symptoms, such as hip dislocation and clubfoot, require future surgical intervention.

Abstract Image

过度臂丛症对儿童生活质量的影响:两例报告。
目的:报告巴西圣保罗州一个小城市的两例儿童高臂丛症。病例描述:两名女性患者,一名年龄为3岁零6个月,一名年龄为5个月,接受了APAE(残疾人父母和朋友协会)单位的护理,被诊断为1型高臂跳症,这是一种以过度惊吓反应为特征的神经系统疾病。高臂丛病例可分为三个亚组:遗传性、散发性和症状性。几位专家在患者1三周大时就对她进行了检查,得出了两种初步诊断假设(儿童慢性非进行性脑病和痉挛性脑瘫)。在她11个月大的时候,基因检测显示GLRA1基因发生了变化,她被诊断出患有1型多动症。患者2,出生时表现为双腿过伸,耳位低,颅骨不对称,枕部突出,下肢震颤。经过几次检查和评估,最终诊断在三个月大时得到确认。她的家族史显示有遗传性过度臂丛的可能。评论:这些病例与通过文献综述获得的信息进行了比较。两例患者均出现与丛丛性高发相关的几种症状,包括神经系统症状,如惊厥反应增加、抽搐和高张力,经适当治疗后减轻。到目前为止,将多学科援助与药物治疗相结合,特别是抗焦虑药和抗惊厥药,氯硝西泮是最常用的,已显著改善了两名患者的生活质量。然而,身体症状,如髋关节脱位和内翻足,需要未来的手术干预。
本文章由计算机程序翻译,如有差异,请以英文原文为准。
求助全文
约1分钟内获得全文 求助全文
来源期刊
自引率
0.00%
发文量
0
×
引用
GB/T 7714-2015
复制
MLA
复制
APA
复制
导出至
BibTeX EndNote RefMan NoteFirst NoteExpress
×
提示
您的信息不完整,为了账户安全,请先补充。
现在去补充
×
提示
您因"违规操作"
具体请查看互助需知
我知道了
×
提示
确定
请完成安全验证×
copy
已复制链接
快去分享给好友吧!
我知道了
右上角分享
点击右上角分享
0
联系我们:info@booksci.cn Book学术提供免费学术资源搜索服务,方便国内外学者检索中英文文献。致力于提供最便捷和优质的服务体验。 Copyright © 2023 布克学术 All rights reserved.
京ICP备2023020795号-1
ghs 京公网安备 11010802042870号
Book学术文献互助
Book学术文献互助群
群 号:604180095
Book学术官方微信