Septic shock due to cytomegalovirus colitis associated with rituximab use: A case report.

Siddharth Patel, Jordan Jay, Prutha Pathak, Mc Anto Antony, Mrudula Thiriveedi
{"title":"Septic shock due to cytomegalovirus colitis associated with rituximab use: A case report.","authors":"Siddharth Patel, Jordan Jay, Prutha Pathak, Mc Anto Antony, Mrudula Thiriveedi","doi":"10.5501/wjv.v14.i1.99923","DOIUrl":null,"url":null,"abstract":"<p><strong>Background: </strong>Cytomegalovirus (CMV) infections can cause significant morbidity and mortality in immunocompromised individuals. CMV targets dysfunctional lymphocytes. Chronic rituximab (RTX) therapy can cause B-lymphocyte dysfunction, increasing CMV risk. Rarely, CMV infections present with critical illness such as septic shock.</p><p><strong>Case summary: </strong>A 64-year-old African American woman presented with generalized weakness and non-bloody watery diarrhea of 4-6 weeks duration. She did not have nausea, vomiting or, abdominal pain. She had been on monthly RTX infusions for neuromyelitis optica. She was admitted for septic shock due to pancolitis. Blood investigations suggested pancytopenia and serology detected significantly elevated CMV DNA. Valganciclovir treatment led to disease resolution.</p><p><strong>Conclusion: </strong>This case illustrates an extremely rare case of CMV colitis associated with RTX use presenting with septic shock. High suspicion for rare opportunistic infections is imperative in individuals with long-term RTX use.</p>","PeriodicalId":61903,"journal":{"name":"世界病毒学杂志(英文版)","volume":"14 1","pages":"99923"},"PeriodicalIF":0.0000,"publicationDate":"2025-03-25","publicationTypes":"Journal Article","fieldsOfStudy":null,"isOpenAccess":false,"openAccessPdf":"https://www.ncbi.nlm.nih.gov/pmc/articles/PMC11612876/pdf/","citationCount":"0","resultStr":null,"platform":"Semanticscholar","paperid":null,"PeriodicalName":"世界病毒学杂志(英文版)","FirstCategoryId":"1089","ListUrlMain":"https://doi.org/10.5501/wjv.v14.i1.99923","RegionNum":0,"RegionCategory":null,"ArticlePicture":[],"TitleCN":null,"AbstractTextCN":null,"PMCID":null,"EPubDate":"","PubModel":"","JCR":"","JCRName":"","Score":null,"Total":0}
引用次数: 0

Abstract

Background: Cytomegalovirus (CMV) infections can cause significant morbidity and mortality in immunocompromised individuals. CMV targets dysfunctional lymphocytes. Chronic rituximab (RTX) therapy can cause B-lymphocyte dysfunction, increasing CMV risk. Rarely, CMV infections present with critical illness such as septic shock.

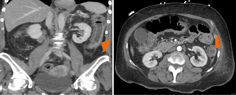
Case summary: A 64-year-old African American woman presented with generalized weakness and non-bloody watery diarrhea of 4-6 weeks duration. She did not have nausea, vomiting or, abdominal pain. She had been on monthly RTX infusions for neuromyelitis optica. She was admitted for septic shock due to pancolitis. Blood investigations suggested pancytopenia and serology detected significantly elevated CMV DNA. Valganciclovir treatment led to disease resolution.

Conclusion: This case illustrates an extremely rare case of CMV colitis associated with RTX use presenting with septic shock. High suspicion for rare opportunistic infections is imperative in individuals with long-term RTX use.

Abstract Image

Abstract Image

使用利妥昔单抗引起巨细胞病毒结肠炎的感染性休克1例。
背景:巨细胞病毒(CMV)感染可引起免疫功能低下个体显著的发病率和死亡率。巨细胞病毒的目标是功能失调的淋巴细胞。慢性利妥昔单抗(RTX)治疗可引起b淋巴细胞功能障碍,增加CMV风险。巨细胞病毒感染很少出现重症,如感染性休克。病例总结:一名64岁的非裔美国妇女,表现为全身虚弱和持续4-6周的非血性水样腹泻。她没有恶心、呕吐或腹痛。她因视神经脊髓炎每月接受RTX输注。她因感染性休克而入院。血液检查提示全血细胞减少症和血清学检测到巨细胞病毒DNA显著升高。缬更昔洛韦治疗导致疾病消退。结论:本病例是一例极其罕见的巨细胞病毒结肠炎与RTX使用相关,表现为感染性休克。对于长期使用RTX的个体,必须高度怀疑罕见的机会性感染。
本文章由计算机程序翻译,如有差异,请以英文原文为准。
求助全文
约1分钟内获得全文 求助全文
来源期刊
自引率
0.00%
发文量
171
×
引用
GB/T 7714-2015
复制
MLA
复制
APA
复制
导出至
BibTeX EndNote RefMan NoteFirst NoteExpress
×
提示
您的信息不完整,为了账户安全,请先补充。
现在去补充
×
提示
您因"违规操作"
具体请查看互助需知
我知道了
×
提示
确定
请完成安全验证×
copy
已复制链接
快去分享给好友吧!
我知道了
右上角分享
点击右上角分享
0
联系我们:info@booksci.cn Book学术提供免费学术资源搜索服务,方便国内外学者检索中英文文献。致力于提供最便捷和优质的服务体验。 Copyright © 2023 布克学术 All rights reserved.
京ICP备2023020795号-1
ghs 京公网安备 11010802042870号
Book学术文献互助
Book学术文献互助群
群 号:604180095
Book学术官方微信