Late Coronary-cameral Fistula Formation Between Circumflex Coronary Artery and Left Atrial Appendage Following Implantation of an Amulet Closure Device.

IF 2.8 0 PHILOSOPHY
Interventional Cardiology Review Pub Date : 2025-02-28 eCollection Date: 2025-01-01 DOI:10.15420/icr.2024.36
Timothy John Bagnall, Christopher James Broyd, David Hildick-Smith
{"title":"Late Coronary-cameral Fistula Formation Between Circumflex Coronary Artery and Left Atrial Appendage Following Implantation of an Amulet Closure Device.","authors":"Timothy John Bagnall, Christopher James Broyd, David Hildick-Smith","doi":"10.15420/icr.2024.36","DOIUrl":null,"url":null,"abstract":"<p><p>An 80-year-old patient presented with a rare complication: a late coronary-cameral fistula following implantation of an Amulet (Abbott) left atrial appendage occlusion device. Microperforations from the device's anchoring tines have previously been suggested as a possible mechanism of fistula formation, a complication reported in two other cases. We propose an alternative theory of potential collateralisation of the threatened appendage from the nearby circumflex artery.</p>","PeriodicalId":38586,"journal":{"name":"Interventional Cardiology Review","volume":"20 ","pages":"e05"},"PeriodicalIF":2.8000,"publicationDate":"2025-02-28","publicationTypes":"Journal Article","fieldsOfStudy":null,"isOpenAccess":false,"openAccessPdf":"https://www.ncbi.nlm.nih.gov/pmc/articles/PMC11934119/pdf/","citationCount":"0","resultStr":null,"platform":"Semanticscholar","paperid":null,"PeriodicalName":"Interventional Cardiology Review","FirstCategoryId":"1085","ListUrlMain":"https://doi.org/10.15420/icr.2024.36","RegionNum":0,"RegionCategory":null,"ArticlePicture":[],"TitleCN":null,"AbstractTextCN":null,"PMCID":null,"EPubDate":"2025/1/1 0:00:00","PubModel":"eCollection","JCR":"0","JCRName":"PHILOSOPHY","Score":null,"Total":0}
引用次数: 0

Abstract

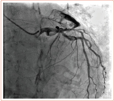
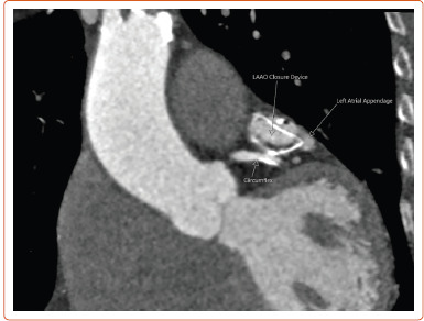
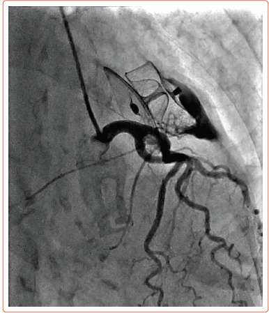
An 80-year-old patient presented with a rare complication: a late coronary-cameral fistula following implantation of an Amulet (Abbott) left atrial appendage occlusion device. Microperforations from the device's anchoring tines have previously been suggested as a possible mechanism of fistula formation, a complication reported in two other cases. We propose an alternative theory of potential collateralisation of the threatened appendage from the nearby circumflex artery.

Abstract Image

Abstract Image

Abstract Image

植入护身符封闭装置后,旋冠动脉与左房耳间晚期冠状-摄膜瘘形成。
一个80岁的病人提出了一个罕见的并发症:植入护身符(雅培)左心房附件闭塞装置后晚期冠状动脉-cameral瘘。先前有研究认为,设备锚定时间产生的微穿孔可能是瘘管形成的机制,在另外两个病例中报道了这种并发症。我们提出了另一种理论的潜在侧支威胁附属物从附近的旋动脉。
本文章由计算机程序翻译,如有差异,请以英文原文为准。
求助全文
约1分钟内获得全文 求助全文
来源期刊
Interventional Cardiology Review
Interventional Cardiology Review Medicine-Cardiology and Cardiovascular Medicine
CiteScore
0.30
自引率
0.00%
发文量
18
审稿时长
12 weeks
×
引用
GB/T 7714-2015
复制
MLA
复制
APA
复制
导出至
BibTeX EndNote RefMan NoteFirst NoteExpress
×
提示
您的信息不完整,为了账户安全,请先补充。
现在去补充
×
提示
您因"违规操作"
具体请查看互助需知
我知道了
×
提示
确定
请完成安全验证×
copy
已复制链接
快去分享给好友吧!
我知道了
右上角分享
点击右上角分享
0
联系我们:info@booksci.cn Book学术提供免费学术资源搜索服务,方便国内外学者检索中英文文献。致力于提供最便捷和优质的服务体验。 Copyright © 2023 布克学术 All rights reserved.
京ICP备2023020795号-1
ghs 京公网安备 11010802042870号
Book学术文献互助
Book学术文献互助群
群 号:604180095
Book学术官方微信