The effect of Cinnamomum cassia extract on the pancreatic tissue of albino diabetic rats.

Q3 Medicine
Afrah Hameed Sultan
{"title":"The effect of <i>Cinnamomum cassia</i> extract on the pancreatic tissue of albino diabetic rats.","authors":"Afrah Hameed Sultan","doi":"10.25122/jml-2024-0167","DOIUrl":null,"url":null,"abstract":"<p><p><i>Cinnamomum cassia</i> (<i>C. cassia</i>) has antihyperglycemic properties. This study aimed to assess the hypoglycemic effects of the aqueous extract of <i>C. cassia</i> on the pancreatic tissue of diabetic rats, comparing histological and biochemical outcomes with those of metformin (MET) administration. A total of 42 male albino rats were divided into seven groups. Distilled water was given to healthy rats in the first group, whereas diabetic rats (DRs) induced by alloxan were treated with the same substance in the second and third groups. Rats with diabetes were given <i>C. cassia</i> treatment for 14 and 30 days in the fourth and fifth groups, whereas non-DRs received the same treatment in the sixth and seventh groups. Furthermore, MET was administered to four groups of DRs. Diabetic rats had reduced serum amylase levels and significantly increased blood glucose levels. Histological examination revealed thickening of the basement membrane in the islets of Langerhans blood channels and capillaries, as well as an increase in α- and δ-cell activity and a reduction in β-cell activity. However, administration of <i>C. cassia</i> aqueous extract caused significant alterations in most measured parameters, including increased serum amylase and decreased blood sugar levels. The daily use of <i>C. cassia</i> decreased glucose levels and induced a substantial increase in β-cell activity and a decrease in α-cell activity. Plant extracts have both regenerative and reparative properties.</p>","PeriodicalId":16386,"journal":{"name":"Journal of Medicine and Life","volume":"18 2","pages":"109-115"},"PeriodicalIF":0.0000,"publicationDate":"2025-02-01","publicationTypes":"Journal Article","fieldsOfStudy":null,"isOpenAccess":false,"openAccessPdf":"https://www.ncbi.nlm.nih.gov/pmc/articles/PMC11932502/pdf/","citationCount":"0","resultStr":null,"platform":"Semanticscholar","paperid":null,"PeriodicalName":"Journal of Medicine and Life","FirstCategoryId":"1085","ListUrlMain":"https://doi.org/10.25122/jml-2024-0167","RegionNum":0,"RegionCategory":null,"ArticlePicture":[],"TitleCN":null,"AbstractTextCN":null,"PMCID":null,"EPubDate":"","PubModel":"","JCR":"Q3","JCRName":"Medicine","Score":null,"Total":0}
引用次数: 0

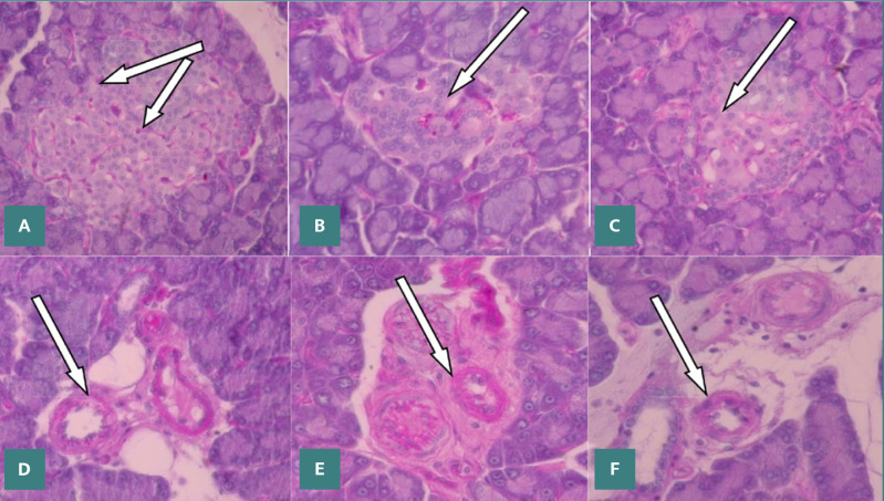
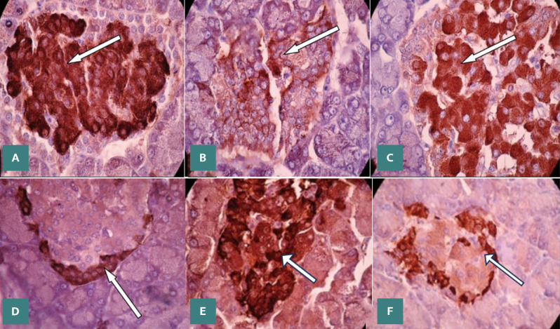
Abstract

Cinnamomum cassia (C. cassia) has antihyperglycemic properties. This study aimed to assess the hypoglycemic effects of the aqueous extract of C. cassia on the pancreatic tissue of diabetic rats, comparing histological and biochemical outcomes with those of metformin (MET) administration. A total of 42 male albino rats were divided into seven groups. Distilled water was given to healthy rats in the first group, whereas diabetic rats (DRs) induced by alloxan were treated with the same substance in the second and third groups. Rats with diabetes were given C. cassia treatment for 14 and 30 days in the fourth and fifth groups, whereas non-DRs received the same treatment in the sixth and seventh groups. Furthermore, MET was administered to four groups of DRs. Diabetic rats had reduced serum amylase levels and significantly increased blood glucose levels. Histological examination revealed thickening of the basement membrane in the islets of Langerhans blood channels and capillaries, as well as an increase in α- and δ-cell activity and a reduction in β-cell activity. However, administration of C. cassia aqueous extract caused significant alterations in most measured parameters, including increased serum amylase and decreased blood sugar levels. The daily use of C. cassia decreased glucose levels and induced a substantial increase in β-cell activity and a decrease in α-cell activity. Plant extracts have both regenerative and reparative properties.

Abstract Image

Abstract Image

肉桂提取物对白化糖尿病大鼠胰腺组织的影响。
肉桂(C. cassia)具有抗高血糖的特性。本研究旨在评估决明子水提物对糖尿病大鼠胰腺组织的降糖作用,并将其组织学和生化指标与二甲双胍(MET)给药的结果进行比较。将42只雄性白化大鼠分为7组。第一组给予健康大鼠蒸馏水,第二组和第三组给予四氧嘧啶诱导的糖尿病大鼠蒸馏水。第4、5组糖尿病大鼠给予决明子治疗14天和30天,第6、7组非决明子大鼠给予相同治疗。此外,对四组博士进行MET治疗。糖尿病大鼠血清淀粉酶水平降低,血糖水平显著升高。组织学检查显示朗格汉斯血通道和毛细血管胰岛基底膜增厚,α和δ细胞活性增加,β细胞活性降低。然而,给药决明子水提取物引起了大多数测量参数的显著改变,包括血清淀粉酶的增加和血糖水平的降低。每日食用决明子可降低小鼠葡萄糖水平,显著提高β-细胞活性,降低α-细胞活性。植物提取物具有再生和修复的双重特性。
本文章由计算机程序翻译,如有差异,请以英文原文为准。
求助全文
约1分钟内获得全文 求助全文
来源期刊
Journal of Medicine and Life
Journal of Medicine and Life Medicine-Medicine (all)
CiteScore
1.90
自引率
0.00%
发文量
202
期刊介绍: The Journal of Medicine and Life publishes peer-reviewed articles from various fields of medicine and life sciences, including original research, systematic reviews, special reports, case presentations, major medical breakthroughs and letters to the editor. The Journal focuses on current matters that lie at the intersection of biomedical science and clinical practice and strives to present this information to inform health care delivery and improve patient outcomes. Papers addressing topics such as neuroprotection, neurorehabilitation, neuroplasticity, and neuroregeneration are particularly encouraged, as part of the Journal''s continuous interest in neuroscience research. The Editorial Board of the Journal of Medicine and Life is open to consider manuscripts from all levels of research and areas of biological sciences, including fundamental, experimental or clinical research and matters of public health. As part of our pledge to promote an educational and community-building environment, our issues feature sections designated to informing our readers regarding exciting international congresses, teaching courses and relevant institutional-level events.
×
引用
GB/T 7714-2015
复制
MLA
复制
APA
复制
导出至
BibTeX EndNote RefMan NoteFirst NoteExpress
×
提示
您的信息不完整,为了账户安全,请先补充。
现在去补充
×
提示
您因"违规操作"
具体请查看互助需知
我知道了
×
提示
确定
请完成安全验证×
copy
已复制链接
快去分享给好友吧!
我知道了
右上角分享
点击右上角分享
0
联系我们:info@booksci.cn Book学术提供免费学术资源搜索服务,方便国内外学者检索中英文文献。致力于提供最便捷和优质的服务体验。 Copyright © 2023 布克学术 All rights reserved.
京ICP备2023020795号-1
ghs 京公网安备 11010802042870号
Book学术文献互助
Book学术文献互助群
群 号:604180095
Book学术官方微信