Spotting the clues: cluster of differentiation-a perspective of immune response intertwined with dysautonomia in colon cancer - a prospective cohort study.

Q3 Medicine
Diana-Theodora Morgos, Lucian-George Eftimie, Horia Nicolae, Remus Iulian Nica, Constantin Stefani, Daniela Miricescu, Adrian Tulin, Florin Mihail Filipoiu
{"title":"Spotting the clues: cluster of differentiation-a perspective of immune response intertwined with dysautonomia in colon cancer - a prospective cohort study.","authors":"Diana-Theodora Morgos, Lucian-George Eftimie, Horia Nicolae, Remus Iulian Nica, Constantin Stefani, Daniela Miricescu, Adrian Tulin, Florin Mihail Filipoiu","doi":"10.25122/jml-2025-0014","DOIUrl":null,"url":null,"abstract":"<p><p>Dysautonomia, a parasympathetic-sympathetic imbalance, has clinical and public health consequences. Colon neoplasm is linked to dysautonomia through a complex interplay between the two conditions. In this prospective cohort study, we evaluated 18 patients divided into three groups: six patients with both colon cancer and dysautonomia, six patients with colon cancer without dysautonomia, and six patients with dysautonomia only (control group). Dysautonomia was defined by the presence of orthostatic hypotension, a non-increased or dropped heart rate, and various autonomic symptoms. During abdominal surgery, tissue samples from the celiac ganglion were collected and analyzed using immunohistochemistry (IHC). Our findings revealed a significant correlation between IHC marker expression in colon cancer and dysautonomia (control) (r = 0.927, <i>P</i> = 0.008). ANOVA results confirmed that the model was significant and that the dysautonomia group (control) had a significant effect on the independent variables (colon cancer or colon cancer + dysautonomia). The study proposes that a shared immunological mechanism underlies both dysautonomia and colon cancer, suggesting that the immune system plays a crucial role in the development or progression of these two conditions.</p>","PeriodicalId":16386,"journal":{"name":"Journal of Medicine and Life","volume":"18 2","pages":"125-132"},"PeriodicalIF":0.0000,"publicationDate":"2025-02-01","publicationTypes":"Journal Article","fieldsOfStudy":null,"isOpenAccess":false,"openAccessPdf":"https://www.ncbi.nlm.nih.gov/pmc/articles/PMC11932503/pdf/","citationCount":"0","resultStr":null,"platform":"Semanticscholar","paperid":null,"PeriodicalName":"Journal of Medicine and Life","FirstCategoryId":"1085","ListUrlMain":"https://doi.org/10.25122/jml-2025-0014","RegionNum":0,"RegionCategory":null,"ArticlePicture":[],"TitleCN":null,"AbstractTextCN":null,"PMCID":null,"EPubDate":"","PubModel":"","JCR":"Q3","JCRName":"Medicine","Score":null,"Total":0}
引用次数: 0

Abstract

Dysautonomia, a parasympathetic-sympathetic imbalance, has clinical and public health consequences. Colon neoplasm is linked to dysautonomia through a complex interplay between the two conditions. In this prospective cohort study, we evaluated 18 patients divided into three groups: six patients with both colon cancer and dysautonomia, six patients with colon cancer without dysautonomia, and six patients with dysautonomia only (control group). Dysautonomia was defined by the presence of orthostatic hypotension, a non-increased or dropped heart rate, and various autonomic symptoms. During abdominal surgery, tissue samples from the celiac ganglion were collected and analyzed using immunohistochemistry (IHC). Our findings revealed a significant correlation between IHC marker expression in colon cancer and dysautonomia (control) (r = 0.927, P = 0.008). ANOVA results confirmed that the model was significant and that the dysautonomia group (control) had a significant effect on the independent variables (colon cancer or colon cancer + dysautonomia). The study proposes that a shared immunological mechanism underlies both dysautonomia and colon cancer, suggesting that the immune system plays a crucial role in the development or progression of these two conditions.

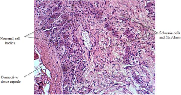
Abstract Image

Abstract Image

发现线索:分化集群——结肠癌中与自主神经异常交织的免疫反应的视角——一项前瞻性队列研究。
自主神经异常是一种副交感神经失衡,具有临床和公共卫生后果。结肠肿瘤通过两种情况之间复杂的相互作用与自主神经异常有关。在这项前瞻性队列研究中,我们评估了18例患者,将其分为三组:6例结肠癌和自主神经异常患者,6例结肠癌无自主神经异常患者和6例仅自主神经异常患者(对照组)。自主神经异常的定义是存在直立性低血压,心率不增加或下降,以及各种自主神经症状。在腹部手术中,收集腹腔神经节组织样本并使用免疫组化(IHC)进行分析。我们的研究结果显示,IHC标志物在结肠癌和自主神经异常(对照组)中的表达有显著相关性(r = 0.927, P = 0.008)。方差分析结果证实了模型的显著性,自主神经异常组(对照)对自变量(结肠癌或结肠癌+自主神经异常)的影响显著。该研究提出了一个共同的免疫机制是自主神经异常和结肠癌的基础,这表明免疫系统在这两种疾病的发生或进展中起着至关重要的作用。
本文章由计算机程序翻译,如有差异,请以英文原文为准。
求助全文
约1分钟内获得全文 求助全文
来源期刊
Journal of Medicine and Life
Journal of Medicine and Life Medicine-Medicine (all)
CiteScore
1.90
自引率
0.00%
发文量
202
期刊介绍: The Journal of Medicine and Life publishes peer-reviewed articles from various fields of medicine and life sciences, including original research, systematic reviews, special reports, case presentations, major medical breakthroughs and letters to the editor. The Journal focuses on current matters that lie at the intersection of biomedical science and clinical practice and strives to present this information to inform health care delivery and improve patient outcomes. Papers addressing topics such as neuroprotection, neurorehabilitation, neuroplasticity, and neuroregeneration are particularly encouraged, as part of the Journal''s continuous interest in neuroscience research. The Editorial Board of the Journal of Medicine and Life is open to consider manuscripts from all levels of research and areas of biological sciences, including fundamental, experimental or clinical research and matters of public health. As part of our pledge to promote an educational and community-building environment, our issues feature sections designated to informing our readers regarding exciting international congresses, teaching courses and relevant institutional-level events.
×
引用
GB/T 7714-2015
复制
MLA
复制
APA
复制
导出至
BibTeX EndNote RefMan NoteFirst NoteExpress
×
提示
您的信息不完整,为了账户安全,请先补充。
现在去补充
×
提示
您因"违规操作"
具体请查看互助需知
我知道了
×
提示
确定
请完成安全验证×
copy
已复制链接
快去分享给好友吧!
我知道了
右上角分享
点击右上角分享
0
联系我们:info@booksci.cn Book学术提供免费学术资源搜索服务,方便国内外学者检索中英文文献。致力于提供最便捷和优质的服务体验。 Copyright © 2023 布克学术 All rights reserved.
京ICP备2023020795号-1
ghs 京公网安备 11010802042870号
Book学术文献互助
Book学术文献互助群
群 号:604180095
Book学术官方微信