Morphological characteristics of high myopes complicated by serous retinal detachment with dome-shaped macula or inferior staphyloma.

IF 2.4 3区 医学 Q2 OPHTHALMOLOGY
Jeong Hyun Lee, Woosung Jeon, Min Seok Kim, Kwangsic Joo, Se Joon Woo, Joo Young Shin, Jeeyun Ahn
{"title":"Morphological characteristics of high myopes complicated by serous retinal detachment with dome-shaped macula or inferior staphyloma.","authors":"Jeong Hyun Lee, Woosung Jeon, Min Seok Kim, Kwangsic Joo, Se Joon Woo, Joo Young Shin, Jeeyun Ahn","doi":"10.1007/s00417-025-06802-z","DOIUrl":null,"url":null,"abstract":"<p><strong>Purpose: </strong>To investigate the morphological characteristics of dome-shaped macula (DSM) and inferior staphyloma complicated by serous retinal detachment (SRD).</p><p><strong>Methods: </strong>Electronic medical records and multimodal images of patients diagnosed with DSM and inferior staphyloma were retrospectively reviewed. Morphological features, including axial length, curvature height, orientation of the dome, presence of retinal pigment epithelial detachment, choroidal vascular features such as subfoveal choroidal thickness, variations in choroidal thickness, presence of abrupt changes in choroidal thickness and presence of large choroidal vessels were analyzed.</p><p><strong>Results: </strong>Fifty-three eyes of 37 patients were included, of which 33 eyes had DSM and 20 eyes had inferior staphyloma, and 15 (28.3%) were complicated with SRD. Four (12.1%) of the DSM and 11 (55.0%) of the inferior staphyloma eyes had SRD. On univariate analysis of risk factors for SRD, shorter axial length (p = 0.002), presence of inferior staphyloma (p = 0.004), higher subfoveal curve height (p = 0.009), thicker subfoveal choroidal thickness (p = 0.038), greater variation in choroidal thickness (p = 0.005), presence of both abrupt changes in choroidal thickness (p < 0.001) and large choroidal vessels (p = 0.001) showed a significantly higher risk. On multivariate analysis, shorter axial length (p = 0.038) and presence of abrupt changes in choroidal thickness (p = 0.008) were identified as significant risk factors for SRD.</p><p><strong>Conclusion: </strong>SRD was more prevalent in eyes with inferior staphyloma compared to DSM. Shorter axial length and abrupt changes in choroidal thickness were associated risk factors for SRD.</p>","PeriodicalId":12795,"journal":{"name":"Graefe’s Archive for Clinical and Experimental Ophthalmology","volume":" ","pages":"1847-1858"},"PeriodicalIF":2.4000,"publicationDate":"2025-07-01","publicationTypes":"Journal Article","fieldsOfStudy":null,"isOpenAccess":false,"openAccessPdf":"https://www.ncbi.nlm.nih.gov/pmc/articles/PMC12373529/pdf/","citationCount":"0","resultStr":null,"platform":"Semanticscholar","paperid":null,"PeriodicalName":"Graefe’s Archive for Clinical and Experimental Ophthalmology","FirstCategoryId":"3","ListUrlMain":"https://doi.org/10.1007/s00417-025-06802-z","RegionNum":3,"RegionCategory":"医学","ArticlePicture":[],"TitleCN":null,"AbstractTextCN":null,"PMCID":null,"EPubDate":"2025/3/25 0:00:00","PubModel":"Epub","JCR":"Q2","JCRName":"OPHTHALMOLOGY","Score":null,"Total":0}
引用次数: 0

Abstract

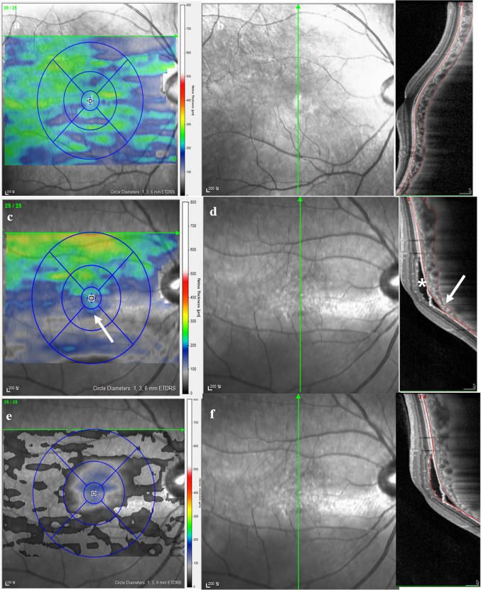
Purpose: To investigate the morphological characteristics of dome-shaped macula (DSM) and inferior staphyloma complicated by serous retinal detachment (SRD).

Methods: Electronic medical records and multimodal images of patients diagnosed with DSM and inferior staphyloma were retrospectively reviewed. Morphological features, including axial length, curvature height, orientation of the dome, presence of retinal pigment epithelial detachment, choroidal vascular features such as subfoveal choroidal thickness, variations in choroidal thickness, presence of abrupt changes in choroidal thickness and presence of large choroidal vessels were analyzed.

Results: Fifty-three eyes of 37 patients were included, of which 33 eyes had DSM and 20 eyes had inferior staphyloma, and 15 (28.3%) were complicated with SRD. Four (12.1%) of the DSM and 11 (55.0%) of the inferior staphyloma eyes had SRD. On univariate analysis of risk factors for SRD, shorter axial length (p = 0.002), presence of inferior staphyloma (p = 0.004), higher subfoveal curve height (p = 0.009), thicker subfoveal choroidal thickness (p = 0.038), greater variation in choroidal thickness (p = 0.005), presence of both abrupt changes in choroidal thickness (p < 0.001) and large choroidal vessels (p = 0.001) showed a significantly higher risk. On multivariate analysis, shorter axial length (p = 0.038) and presence of abrupt changes in choroidal thickness (p = 0.008) were identified as significant risk factors for SRD.

Conclusion: SRD was more prevalent in eyes with inferior staphyloma compared to DSM. Shorter axial length and abrupt changes in choroidal thickness were associated risk factors for SRD.

Abstract Image

Abstract Image

Abstract Image

高度近视合并浆液性视网膜脱离伴圆顶状黄斑或下葡萄肿的形态学特征。
目的:探讨穹状黄斑(DSM)和下葡萄肿合并浆液性视网膜脱离(SRD)的形态学特点。方法:回顾性分析DSM合并下葡萄肿患者的电子病历及多模态影像资料。形态学特征,包括轴长、曲率高度、圆顶的方向、视网膜色素上皮脱离的存在、脉络膜血管特征,如中央凹下脉络膜厚度、脉络膜厚度变化、脉络膜厚度突变和大脉络膜血管的存在。结果:纳入37例患者53只眼,其中DSM 33只眼,下葡萄肿20只眼,合并SRD 15只眼(28.3%)。4例(12.1%)下葡萄肿眼发生SRD, 11例(55.0%)下葡萄肿眼发生SRD。单因素分析SRD的危险因素为:轴向长度较短(p = 0.002)、存在下葡萄肿(p = 0.004)、较高的中央窝下曲线高度(p = 0.009)、较厚的中央窝下脉络膜厚度(p = 0.038)、脉络膜厚度变化较大(p = 0.005)、两种脉络膜厚度突变(p)。结论:与DSM相比,SRD在下葡萄肿的眼睛中更为普遍。较短的轴向长度和脉络膜厚度的突变是SRD的相关危险因素。
本文章由计算机程序翻译,如有差异,请以英文原文为准。
求助全文
约1分钟内获得全文 求助全文
来源期刊
CiteScore
5.40
自引率
7.40%
发文量
398
审稿时长
3 months
期刊介绍: Graefe''s Archive for Clinical and Experimental Ophthalmology is a distinguished international journal that presents original clinical reports and clini-cally relevant experimental studies. Founded in 1854 by Albrecht von Graefe to serve as a source of useful clinical information and a stimulus for discussion, the journal has published articles by leading ophthalmologists and vision research scientists for more than a century. With peer review by an international Editorial Board and prompt English-language publication, Graefe''s Archive provides rapid dissemination of clinical and clinically related experimental information.
×
引用
GB/T 7714-2015
复制
MLA
复制
APA
复制
导出至
BibTeX EndNote RefMan NoteFirst NoteExpress
×
提示
您的信息不完整,为了账户安全,请先补充。
现在去补充
×
提示
您因"违规操作"
具体请查看互助需知
我知道了
×
提示
确定
请完成安全验证×
copy
已复制链接
快去分享给好友吧!
我知道了
右上角分享
点击右上角分享
0
联系我们:info@booksci.cn Book学术提供免费学术资源搜索服务,方便国内外学者检索中英文文献。致力于提供最便捷和优质的服务体验。 Copyright © 2023 布克学术 All rights reserved.
京ICP备2023020795号-1
ghs 京公网安备 11010802042870号
Book学术文献互助
Book学术文献互助群
群 号:604180095
Book学术官方微信