A case of quadruple wild-type gastrointestinal stromal tumor with CDC42BPB::NTRK3 fusion and abundant lymphoid infiltration.

IF 2.3 3区 医学 Q2 PATHOLOGY
Wentao Xiang, Wei Yuan, Lei Ren, Wen Huang, Huaiyu Liang, Jie Huang, Lijuan Luan, Chen Xu, Yingyong Hou
{"title":"A case of quadruple wild-type gastrointestinal stromal tumor with CDC42BPB::NTRK3 fusion and abundant lymphoid infiltration.","authors":"Wentao Xiang, Wei Yuan, Lei Ren, Wen Huang, Huaiyu Liang, Jie Huang, Lijuan Luan, Chen Xu, Yingyong Hou","doi":"10.1186/s13000-025-01630-5","DOIUrl":null,"url":null,"abstract":"<p><p>Gastrointestinal stromal tumors (GISTs) are the most common mesenchymal tumors of the gastrointestinal tract. The most common mutations in GISTs are those in receptor tyrosine kinase (KIT) and platelet-derived growth factor receptor alpha (PDGFRA). GISTs without KIT or PDGFRA mutations are defined as wild-type (WT) GISTs. The molecular changes, prognosis, and treatments of WT GISTs remain uncertain. Among WT GISTs, neurotrophic tyrosine receptor kinase (NTRK) fusions have rarely been reported. We report a case of quadruple wild-type GIST harboring a novel CDC42BPB::NTRK3 fusion. In this study, we described a 66-year-old male patient with intrajejunal lesion. This case showed massive lymphocytic and plasma cell infiltration, which caused diagnostic difficulties in morphology. CDC42BPB::NTRK3 fusion was detected via next-generation sequencing (NGS), and this finding was confirmed by fluorescence in situ hybridization (FISH), which revealed NTRK3 breakage. However, the expression of the Trk protein in tumor tissue was not detected by immunohistochemistry (IHC). This finding expands the genetic spectrum of NTRK rearrangements in GISTs.</p>","PeriodicalId":11237,"journal":{"name":"Diagnostic Pathology","volume":"20 1","pages":"31"},"PeriodicalIF":2.3000,"publicationDate":"2025-03-25","publicationTypes":"Journal Article","fieldsOfStudy":null,"isOpenAccess":false,"openAccessPdf":"https://www.ncbi.nlm.nih.gov/pmc/articles/PMC11934696/pdf/","citationCount":"0","resultStr":null,"platform":"Semanticscholar","paperid":null,"PeriodicalName":"Diagnostic Pathology","FirstCategoryId":"3","ListUrlMain":"https://doi.org/10.1186/s13000-025-01630-5","RegionNum":3,"RegionCategory":"医学","ArticlePicture":[],"TitleCN":null,"AbstractTextCN":null,"PMCID":null,"EPubDate":"","PubModel":"","JCR":"Q2","JCRName":"PATHOLOGY","Score":null,"Total":0}
引用次数: 0

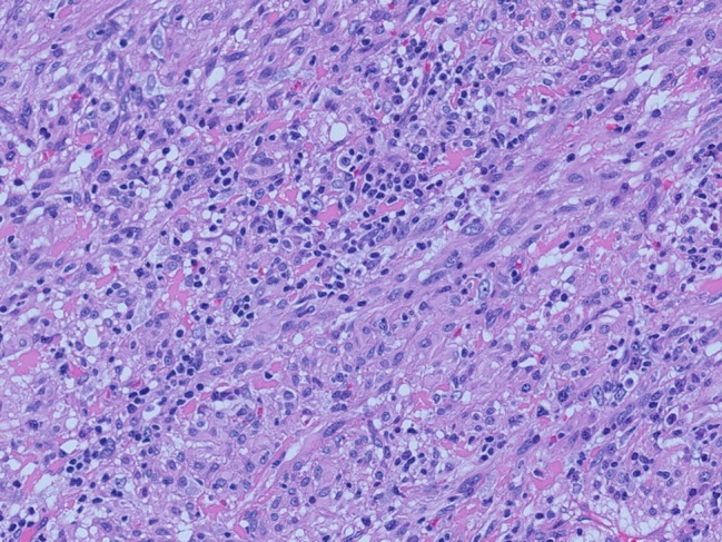
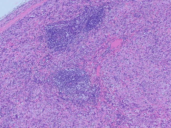
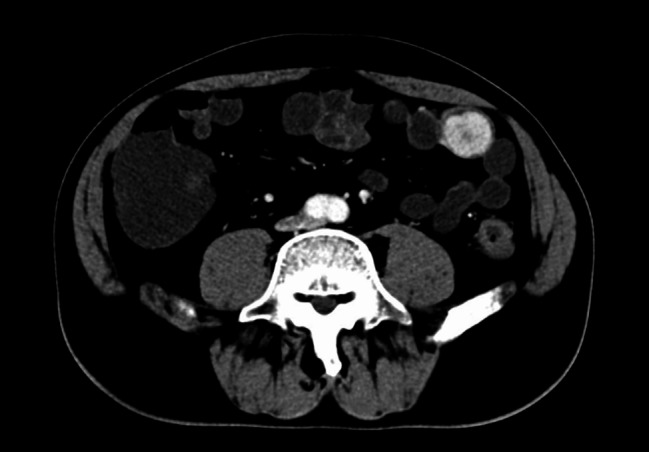
Abstract

Gastrointestinal stromal tumors (GISTs) are the most common mesenchymal tumors of the gastrointestinal tract. The most common mutations in GISTs are those in receptor tyrosine kinase (KIT) and platelet-derived growth factor receptor alpha (PDGFRA). GISTs without KIT or PDGFRA mutations are defined as wild-type (WT) GISTs. The molecular changes, prognosis, and treatments of WT GISTs remain uncertain. Among WT GISTs, neurotrophic tyrosine receptor kinase (NTRK) fusions have rarely been reported. We report a case of quadruple wild-type GIST harboring a novel CDC42BPB::NTRK3 fusion. In this study, we described a 66-year-old male patient with intrajejunal lesion. This case showed massive lymphocytic and plasma cell infiltration, which caused diagnostic difficulties in morphology. CDC42BPB::NTRK3 fusion was detected via next-generation sequencing (NGS), and this finding was confirmed by fluorescence in situ hybridization (FISH), which revealed NTRK3 breakage. However, the expression of the Trk protein in tumor tissue was not detected by immunohistochemistry (IHC). This finding expands the genetic spectrum of NTRK rearrangements in GISTs.

Abstract Image

Abstract Image

Abstract Image

伴有CDC42BPB::NTRK3融合及大量淋巴浸润的四灶野生型胃肠道间质瘤1例。
胃肠道间质瘤(gist)是最常见的胃肠道间质肿瘤。gist中最常见的突变是受体酪氨酸激酶(KIT)和血小板衍生生长因子受体α (PDGFRA)。没有KIT或PDGFRA突变的gist被定义为野生型(WT) gist。WT - gist的分子变化、预后和治疗仍不确定。在WT gist中,神经营养酪氨酸受体激酶(NTRK)融合很少被报道。我们报告一例四重野生型GIST,其中包含一种新的CDC42BPB::NTRK3融合。在这项研究中,我们描述了一位66岁的男性空肠内病变患者。本病例表现为大量淋巴细胞及浆细胞浸润,形态学上难以诊断。通过下一代测序(NGS)检测CDC42BPB::NTRK3融合,并通过荧光原位杂交(FISH)证实了这一发现,发现NTRK3断裂。免疫组化(IHC)未检测到肿瘤组织中Trk蛋白的表达。这一发现扩大了gist中NTRK重排的遗传谱。
本文章由计算机程序翻译,如有差异,请以英文原文为准。
求助全文
约1分钟内获得全文 求助全文
来源期刊
Diagnostic Pathology
Diagnostic Pathology 医学-病理学
CiteScore
4.60
自引率
0.00%
发文量
93
审稿时长
1 months
期刊介绍: Diagnostic Pathology is an open access, peer-reviewed, online journal that considers research in surgical and clinical pathology, immunology, and biology, with a special focus on cutting-edge approaches in diagnostic pathology and tissue-based therapy. The journal covers all aspects of surgical pathology, including classic diagnostic pathology, prognosis-related diagnosis (tumor stages, prognosis markers, such as MIB-percentage, hormone receptors, etc.), and therapy-related findings. The journal also focuses on the technological aspects of pathology, including molecular biology techniques, morphometry aspects (stereology, DNA analysis, syntactic structure analysis), communication aspects (telecommunication, virtual microscopy, virtual pathology institutions, etc.), and electronic education and quality assurance (for example interactive publication, on-line references with automated updating, etc.).
×
引用
GB/T 7714-2015
复制
MLA
复制
APA
复制
导出至
BibTeX EndNote RefMan NoteFirst NoteExpress
×
提示
您的信息不完整,为了账户安全,请先补充。
现在去补充
×
提示
您因"违规操作"
具体请查看互助需知
我知道了
×
提示
确定
请完成安全验证×
copy
已复制链接
快去分享给好友吧!
我知道了
右上角分享
点击右上角分享
0
联系我们:info@booksci.cn Book学术提供免费学术资源搜索服务,方便国内外学者检索中英文文献。致力于提供最便捷和优质的服务体验。 Copyright © 2023 布克学术 All rights reserved.
京ICP备2023020795号-1
ghs 京公网安备 11010802042870号
Book学术文献互助
Book学术文献互助群
群 号:604180095
Book学术官方微信