Petechiae and a Persistent Violaceous Nodule: A Presentation of Blastic Plasmacytoid Dendritic Cell Neoplasm to Dermatology.

Q3 Medicine
Case Reports in Dermatological Medicine Pub Date : 2025-03-18 eCollection Date: 2025-01-01 DOI:10.1155/crdm/8628105
Madison Anzelc, Christina Druskovich, Austin Cusick, Matthew Franklin
{"title":"Petechiae and a Persistent Violaceous Nodule: A Presentation of Blastic Plasmacytoid Dendritic Cell Neoplasm to Dermatology.","authors":"Madison Anzelc, Christina Druskovich, Austin Cusick, Matthew Franklin","doi":"10.1155/crdm/8628105","DOIUrl":null,"url":null,"abstract":"<p><p>Blastic plasmacytoid dendritic cell neoplasm (BPDCN) is a rare, highly aggressive CD4+ CD56+ hematopoietic malignancy. The cutaneous presentation is variable but often includes violaceous nodules. We present a rare case of BPDCN, which featured dermatological findings consisting of erythematous macules, petechiae, purpura, and a violaceous nodule. A skin biopsy and peripheral blood smear supported a diagnosis of BPDCN. With BPDCN favoring cutaneous involvement, we urge dermatologists to be aware of the possibility of a BPDCN diagnosis in patients who present with purpuric nodules and petechial skin findings, especially when it is not easily explainable by another pathology or medication.</p>","PeriodicalId":9630,"journal":{"name":"Case Reports in Dermatological Medicine","volume":"2025 ","pages":"8628105"},"PeriodicalIF":0.0000,"publicationDate":"2025-03-18","publicationTypes":"Journal Article","fieldsOfStudy":null,"isOpenAccess":false,"openAccessPdf":"https://www.ncbi.nlm.nih.gov/pmc/articles/PMC11936536/pdf/","citationCount":"0","resultStr":null,"platform":"Semanticscholar","paperid":null,"PeriodicalName":"Case Reports in Dermatological Medicine","FirstCategoryId":"1085","ListUrlMain":"https://doi.org/10.1155/crdm/8628105","RegionNum":0,"RegionCategory":null,"ArticlePicture":[],"TitleCN":null,"AbstractTextCN":null,"PMCID":null,"EPubDate":"2025/1/1 0:00:00","PubModel":"eCollection","JCR":"Q3","JCRName":"Medicine","Score":null,"Total":0}
引用次数: 0

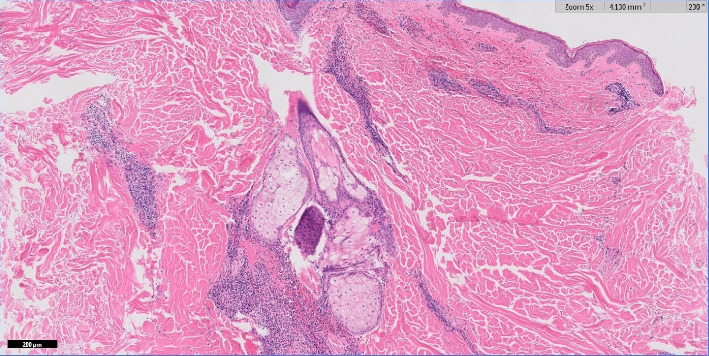
Abstract

Blastic plasmacytoid dendritic cell neoplasm (BPDCN) is a rare, highly aggressive CD4+ CD56+ hematopoietic malignancy. The cutaneous presentation is variable but often includes violaceous nodules. We present a rare case of BPDCN, which featured dermatological findings consisting of erythematous macules, petechiae, purpura, and a violaceous nodule. A skin biopsy and peripheral blood smear supported a diagnosis of BPDCN. With BPDCN favoring cutaneous involvement, we urge dermatologists to be aware of the possibility of a BPDCN diagnosis in patients who present with purpuric nodules and petechial skin findings, especially when it is not easily explainable by another pathology or medication.

Abstract Image

Abstract Image

Abstract Image

斑点和持久的紫色结节:皮肤病学上的一种母浆细胞样树突状细胞肿瘤。
母浆细胞样树突状细胞肿瘤(BPDCN)是一种罕见的、高度侵袭性的CD4+ CD56+造血恶性肿瘤。皮肤表现多变,但常包括紫色结节。我们报告一例罕见的BPDCN病例,其皮肤病学表现为红斑、斑点、紫癜和紫色结节。皮肤活检和外周血涂片支持BPDCN的诊断。由于BPDCN倾向于累及皮肤,我们敦促皮肤科医生注意在出现紫癜性结节和皮肤斑点的患者中诊断BPDCN的可能性,特别是当其他病理或药物不能轻易解释时。
本文章由计算机程序翻译,如有差异,请以英文原文为准。
求助全文
约1分钟内获得全文 求助全文
来源期刊
CiteScore
1.50
自引率
0.00%
发文量
24
审稿时长
15 weeks
×
引用
GB/T 7714-2015
复制
MLA
复制
APA
复制
导出至
BibTeX EndNote RefMan NoteFirst NoteExpress
×
提示
您的信息不完整,为了账户安全,请先补充。
现在去补充
×
提示
您因"违规操作"
具体请查看互助需知
我知道了
×
提示
确定
请完成安全验证×
copy
已复制链接
快去分享给好友吧!
我知道了
右上角分享
点击右上角分享
0
联系我们:info@booksci.cn Book学术提供免费学术资源搜索服务,方便国内外学者检索中英文文献。致力于提供最便捷和优质的服务体验。 Copyright © 2023 布克学术 All rights reserved.
京ICP备2023020795号-1
ghs 京公网安备 11010802042870号
Book学术文献互助
Book学术文献互助群
群 号:604180095
Book学术官方微信