A Rare Presentation of Dandy-Walker Syndrome with Meningitis Symptoms in a 3-Month-Old Female: A Case Study From Somalia.

IF 1.7 Q2 PEDIATRICS
Pediatric health, medicine and therapeutics Pub Date : 2025-03-20 eCollection Date: 2025-01-01 DOI:10.2147/PHMT.S501020
Abdirahman Omer Ali, Salah Abdikarim Abdilahi, Hinda Abdiwahab Ahmed, Hodan Hassan Ahmed, Abdirasak Abdulkadir Muse, Mohamoud Hashi Abdi
{"title":"A Rare Presentation of Dandy-Walker Syndrome with Meningitis Symptoms in a 3-Month-Old Female: A Case Study From Somalia.","authors":"Abdirahman Omer Ali, Salah Abdikarim Abdilahi, Hinda Abdiwahab Ahmed, Hodan Hassan Ahmed, Abdirasak Abdulkadir Muse, Mohamoud Hashi Abdi","doi":"10.2147/PHMT.S501020","DOIUrl":null,"url":null,"abstract":"<p><p>Dandy-Walker Syndrome (DWS) is a rare cerebellar malformation characterized by the underdevelopment of the cerebellar vermis and associated complications. This case report presents a 3-month-old female from Somalia who exhibited fever, loss of consciousness, vomiting, and developmental delays. Neurological examination suggested signs of meningitis, and MRI revealed an enlarged posterior fossa consistent with DWS. Despite initial antibiotic treatment for suspected bacterial meningitis, CSF cultures yielded no growth, raising concerns about prior antibiotic use. Unfortunately, the patient's condition deteriorated, leading to her death. This case highlights the diagnostic challenges of DWS in resource-limited settings and emphasizes the need for improved healthcare access, early diagnosis, and intervention for rare neurological conditions.</p>","PeriodicalId":74410,"journal":{"name":"Pediatric health, medicine and therapeutics","volume":"16 ","pages":"75-81"},"PeriodicalIF":1.7000,"publicationDate":"2025-03-20","publicationTypes":"Journal Article","fieldsOfStudy":null,"isOpenAccess":false,"openAccessPdf":"https://www.ncbi.nlm.nih.gov/pmc/articles/PMC11932116/pdf/","citationCount":"0","resultStr":null,"platform":"Semanticscholar","paperid":null,"PeriodicalName":"Pediatric health, medicine and therapeutics","FirstCategoryId":"1085","ListUrlMain":"https://doi.org/10.2147/PHMT.S501020","RegionNum":0,"RegionCategory":null,"ArticlePicture":[],"TitleCN":null,"AbstractTextCN":null,"PMCID":null,"EPubDate":"2025/1/1 0:00:00","PubModel":"eCollection","JCR":"Q2","JCRName":"PEDIATRICS","Score":null,"Total":0}
引用次数: 0

Abstract

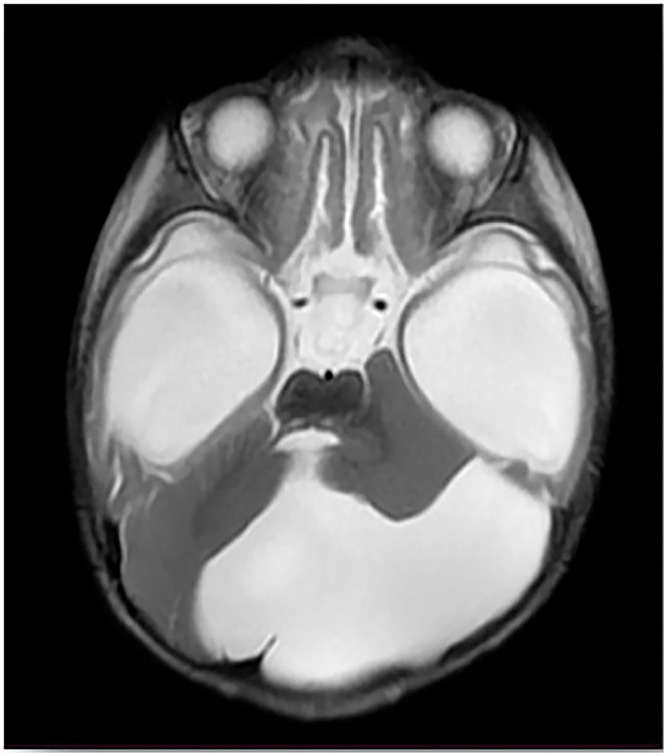
Dandy-Walker Syndrome (DWS) is a rare cerebellar malformation characterized by the underdevelopment of the cerebellar vermis and associated complications. This case report presents a 3-month-old female from Somalia who exhibited fever, loss of consciousness, vomiting, and developmental delays. Neurological examination suggested signs of meningitis, and MRI revealed an enlarged posterior fossa consistent with DWS. Despite initial antibiotic treatment for suspected bacterial meningitis, CSF cultures yielded no growth, raising concerns about prior antibiotic use. Unfortunately, the patient's condition deteriorated, leading to her death. This case highlights the diagnostic challenges of DWS in resource-limited settings and emphasizes the need for improved healthcare access, early diagnosis, and intervention for rare neurological conditions.

Abstract Image

Abstract Image

Abstract Image

索马里一名3个月大的女婴罕见地表现为Dandy-Walker综合征并伴有脑膜炎症状。
Dandy-Walker综合征(DWS)是一种罕见的小脑畸形,以小脑蚓部发育不全及相关并发症为特征。本病例报告提出一名来自索马里的3个月大女婴,她表现出发烧、意识丧失、呕吐和发育迟缓。神经学检查提示脑膜炎征象,MRI显示后颅窝增大,符合DWS。尽管对疑似细菌性脑膜炎进行了最初的抗生素治疗,但脑脊液培养未见生长,这引起了对先前使用抗生素的关注。不幸的是,病人的病情恶化,导致她死亡。本病例突出了在资源有限的环境中DWS的诊断挑战,并强调需要改善医疗保健服务、早期诊断和对罕见神经系统疾病的干预。
本文章由计算机程序翻译,如有差异,请以英文原文为准。
求助全文
约1分钟内获得全文 求助全文
来源期刊
自引率
0.00%
发文量
0
审稿时长
16 weeks
×
引用
GB/T 7714-2015
复制
MLA
复制
APA
复制
导出至
BibTeX EndNote RefMan NoteFirst NoteExpress
×
提示
您的信息不完整,为了账户安全,请先补充。
现在去补充
×
提示
您因"违规操作"
具体请查看互助需知
我知道了
×
提示
确定
请完成安全验证×
copy
已复制链接
快去分享给好友吧!
我知道了
右上角分享
点击右上角分享
0
联系我们:info@booksci.cn Book学术提供免费学术资源搜索服务,方便国内外学者检索中英文文献。致力于提供最便捷和优质的服务体验。 Copyright © 2023 布克学术 All rights reserved.
京ICP备2023020795号-1
ghs 京公网安备 11010802042870号
Book学术文献互助
Book学术文献互助群
群 号:604180095
Book学术官方微信