Resolution is not the end: The Macklin effect after chest tube removal in a trauma patient with aging and comorbidities: a case report.

IF 0.2
Journal of Trauma and Injury Pub Date : 2025-06-01 Epub Date: 2025-03-25 DOI:10.20408/jti.2024.0090
Faye Abdulkareem, Fayez G Aldarsouni, Sahar Alomar, Zisis Touloumis, Hussain M AlHassan, Ghassan Z Al Ramahi, Tareq Alsabahi, Khaled Twier, Mohammad Alsenani, Emad Alamoudi
{"title":"Resolution is not the end: The Macklin effect after chest tube removal in a trauma patient with aging and comorbidities: a case report.","authors":"Faye Abdulkareem, Fayez G Aldarsouni, Sahar Alomar, Zisis Touloumis, Hussain M AlHassan, Ghassan Z Al Ramahi, Tareq Alsabahi, Khaled Twier, Mohammad Alsenani, Emad Alamoudi","doi":"10.20408/jti.2024.0090","DOIUrl":null,"url":null,"abstract":"<p><p>Pneumomediastinum is an uncommon complication in cases of blunt chest trauma but can signal severe underlying issues. This report discusses a 69-year-old male patient with preexisting conditions of obesity, sleep apnea, and asthma, who experienced delayed pneumomediastinum and pneumopericardium following the removal of a chest tube. This tube had been placed to address a traumatic hemopneumothorax, which had resolved. The removal of the chest tube triggered a series of events, exacerbated by the patient's chronic health conditions. The patient was managed conservatively with close monitoring and physiotherapy, which successfully resolved the condition without the need for further invasive procedures. The multifactorial nature of the Macklin effect illustrates that even routine procedures such as chest tube removal can trigger a chain reaction in susceptible patients. The choice of conservative management, rather than immediate invasive interventions, underscores the delicate balance necessary in trauma care.</p>","PeriodicalId":52698,"journal":{"name":"Journal of Trauma and Injury","volume":" ","pages":"159-164"},"PeriodicalIF":0.2000,"publicationDate":"2025-06-01","publicationTypes":"Journal Article","fieldsOfStudy":null,"isOpenAccess":false,"openAccessPdf":"https://www.ncbi.nlm.nih.gov/pmc/articles/PMC12229809/pdf/","citationCount":"0","resultStr":null,"platform":"Semanticscholar","paperid":null,"PeriodicalName":"Journal of Trauma and Injury","FirstCategoryId":"1085","ListUrlMain":"https://doi.org/10.20408/jti.2024.0090","RegionNum":0,"RegionCategory":null,"ArticlePicture":[],"TitleCN":null,"AbstractTextCN":null,"PMCID":null,"EPubDate":"2025/3/25 0:00:00","PubModel":"Epub","JCR":"","JCRName":"","Score":null,"Total":0}
引用次数: 0

Abstract

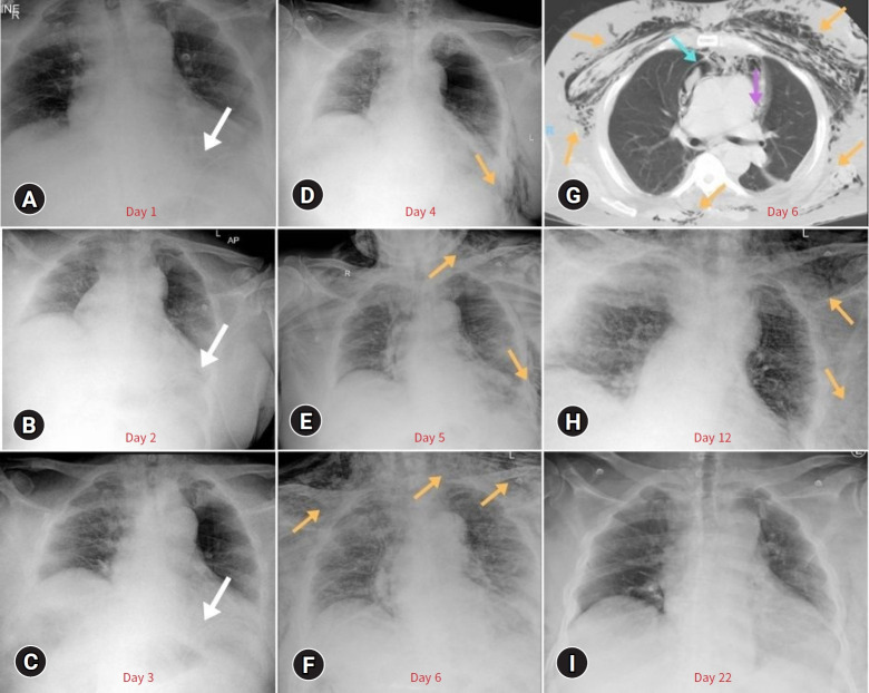
Pneumomediastinum is an uncommon complication in cases of blunt chest trauma but can signal severe underlying issues. This report discusses a 69-year-old male patient with preexisting conditions of obesity, sleep apnea, and asthma, who experienced delayed pneumomediastinum and pneumopericardium following the removal of a chest tube. This tube had been placed to address a traumatic hemopneumothorax, which had resolved. The removal of the chest tube triggered a series of events, exacerbated by the patient's chronic health conditions. The patient was managed conservatively with close monitoring and physiotherapy, which successfully resolved the condition without the need for further invasive procedures. The multifactorial nature of the Macklin effect illustrates that even routine procedures such as chest tube removal can trigger a chain reaction in susceptible patients. The choice of conservative management, rather than immediate invasive interventions, underscores the delicate balance necessary in trauma care.

Abstract Image

Abstract Image

Abstract Image

解决不是结束:麦克林效应在一个有衰老和合并症的创伤患者的胸管拔除:一个病例报告。
在钝性胸部创伤病例中,气胸是一种不常见的并发症,但可能预示着严重的潜在问题。本报告讨论的是一名 69 岁的男性患者,之前患有肥胖、睡眠呼吸暂停和哮喘,在拔出胸管后出现延迟性气胸和气胸。插胸管的目的是为了解决外伤性血气胸,但血气胸已经愈合。拔除胸管引发了一系列事件,而患者的慢性疾病又加重了病情。患者接受了保守治疗,并接受了严密监测和物理治疗,成功缓解了病情,无需进一步进行侵入性手术。麦克林效应的多因素性质说明,即使是拔除胸管这样的常规手术,也会在易感患者中引发连锁反应。选择保守治疗而不是立即采取侵入性干预措施,凸显了创伤护理中所需的微妙平衡。
本文章由计算机程序翻译,如有差异,请以英文原文为准。
求助全文
约1分钟内获得全文 求助全文
来源期刊
自引率
0.00%
发文量
58
审稿时长
11 weeks
×
引用
GB/T 7714-2015
复制
MLA
复制
APA
复制
导出至
BibTeX EndNote RefMan NoteFirst NoteExpress
×
提示
您的信息不完整,为了账户安全,请先补充。
现在去补充
×
提示
您因"违规操作"
具体请查看互助需知
我知道了
×
提示
确定
请完成安全验证×
copy
已复制链接
快去分享给好友吧!
我知道了
右上角分享
点击右上角分享
0
联系我们:info@booksci.cn Book学术提供免费学术资源搜索服务,方便国内外学者检索中英文文献。致力于提供最便捷和优质的服务体验。 Copyright © 2023 布克学术 All rights reserved.
京ICP备2023020795号-1
ghs 京公网安备 11010802042870号
Book学术文献互助
Book学术文献互助群
群 号:604180095
Book学术官方微信