Reducing contrast media and radiation dose in CT angiography at low tube voltage: animal study with photon-counting detector CT.

IF 3.6 Q1 RADIOLOGY, NUCLEAR MEDICINE & MEDICAL IMAGING
Konstantin Klambauer, Thomas Flohr, Lukas Jakob Moser, Victor Mergen, Matthias Eberhard, Andreas Prokein, Hatem Alkadhi, Hubertus Pietsch, Gregor Jost
{"title":"Reducing contrast media and radiation dose in CT angiography at low tube voltage: animal study with photon-counting detector CT.","authors":"Konstantin Klambauer, Thomas Flohr, Lukas Jakob Moser, Victor Mergen, Matthias Eberhard, Andreas Prokein, Hatem Alkadhi, Hubertus Pietsch, Gregor Jost","doi":"10.1186/s41747-025-00577-y","DOIUrl":null,"url":null,"abstract":"<p><strong>Background: </strong>Reducing radiation and contrast media (CM) doses in computed tomography angiography (CTA) is especially relevant for potentially vulnerable populations. Low tube voltage photon-counting detector CT (PCD-CT) offers an improved iodine contrast-to-noise ratio (CNR) as compared to conventional CT scanners. We investigated optimized radiation and CM doses of PCD-CT angiography at low tube voltage in an animal model.</p><p><strong>Methods: </strong>Six minipigs (median weight: 32.5 kg; IQR: 29.8-34.6 kg) underwent thoracoabdominal CTA using a clinical dual-source PCD-CT at 70 kVp with three scan protocols: (A) reference (100% CM and radiation dose), (B) increased radiation (233%) and reduced CM (56%) dose, and (C) reduced radiation (50%) and increased CM (141%) dose. CNR, subjective image quality, and radiation doses were assessed, with statistical analysis including Mann-Whitney U-test and Kruskal-Wallis tests.</p><p><strong>Results: </strong>CTDI<sub>vol</sub> was 1.7 mGy (IQR: 1.5-1.8) for scan A, 4.3 mGy (IQR: 3.8-4.7) for scan B, and 0.9 mGy (IQR: 0.8-1.0) for scan C (p < 0.001). CM volumes were 16 mL (IQR: 15-17) for scan A, 10 mL (IQR: 8-10) for scan B, and 23 mL (IQR: 21-24) for scan C. No significant differences in CNR were found between scans, with medians of 26 (IQR: 24-28) for scan A, 23 (IQR: 22-26) for scan B, and 26 (IQR: 24-30) for scan C (p = 0.276). Subjective image quality was similar across scans (p = 0.342).</p><p><strong>Conclusion: </strong>Low tube voltage PCD-CT angiography allows substantial reductions in radiation and CM dose while maintaining stable and improved CNR, which allows further dose flexibility for individualized CTA protocols.</p><p><strong>Relevance statement: </strong>PCD-CT at low tube voltage provides a high CNR and great flexibility in dose optimization, making it particularly effective for applications where minimizing radiation and CM exposure is a priority.</p><p><strong>Key points: </strong>Low tube voltage imaging with photon counting detector (PCD)-CT enables flexible contrast and radiation dose optimization strategies in thoracoabdominal CT angiography (CTA). The CNR for thoracoabdominal CTA remains stable with appropriate contrast and radiation dose adjustments at low tube voltage PCD-CT. Low tube voltage PCD-CT consistently yields diagnostic image quality in thoracoabdominal angiography even at reduced contrast or radiation doses.</p>","PeriodicalId":36926,"journal":{"name":"European Radiology Experimental","volume":"9 1","pages":"37"},"PeriodicalIF":3.6000,"publicationDate":"2025-03-24","publicationTypes":"Journal Article","fieldsOfStudy":null,"isOpenAccess":false,"openAccessPdf":"https://www.ncbi.nlm.nih.gov/pmc/articles/PMC11933636/pdf/","citationCount":"0","resultStr":null,"platform":"Semanticscholar","paperid":null,"PeriodicalName":"European Radiology Experimental","FirstCategoryId":"1085","ListUrlMain":"https://doi.org/10.1186/s41747-025-00577-y","RegionNum":0,"RegionCategory":null,"ArticlePicture":[],"TitleCN":null,"AbstractTextCN":null,"PMCID":null,"EPubDate":"","PubModel":"","JCR":"Q1","JCRName":"RADIOLOGY, NUCLEAR MEDICINE & MEDICAL IMAGING","Score":null,"Total":0}
引用次数: 0

Abstract

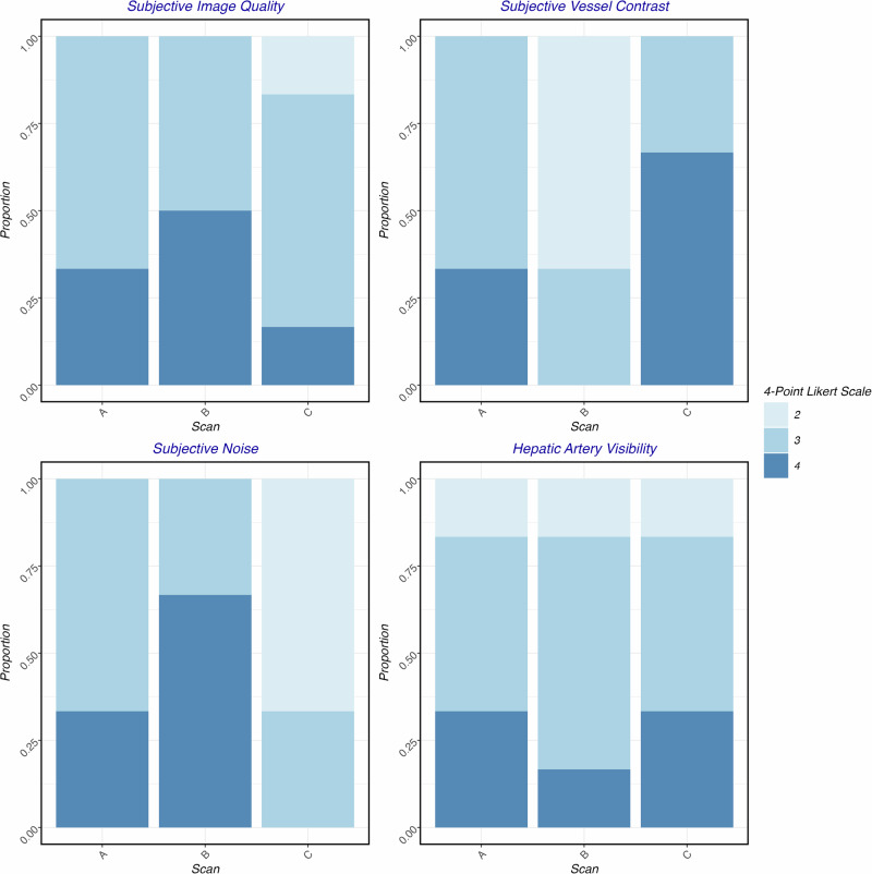
Background: Reducing radiation and contrast media (CM) doses in computed tomography angiography (CTA) is especially relevant for potentially vulnerable populations. Low tube voltage photon-counting detector CT (PCD-CT) offers an improved iodine contrast-to-noise ratio (CNR) as compared to conventional CT scanners. We investigated optimized radiation and CM doses of PCD-CT angiography at low tube voltage in an animal model.

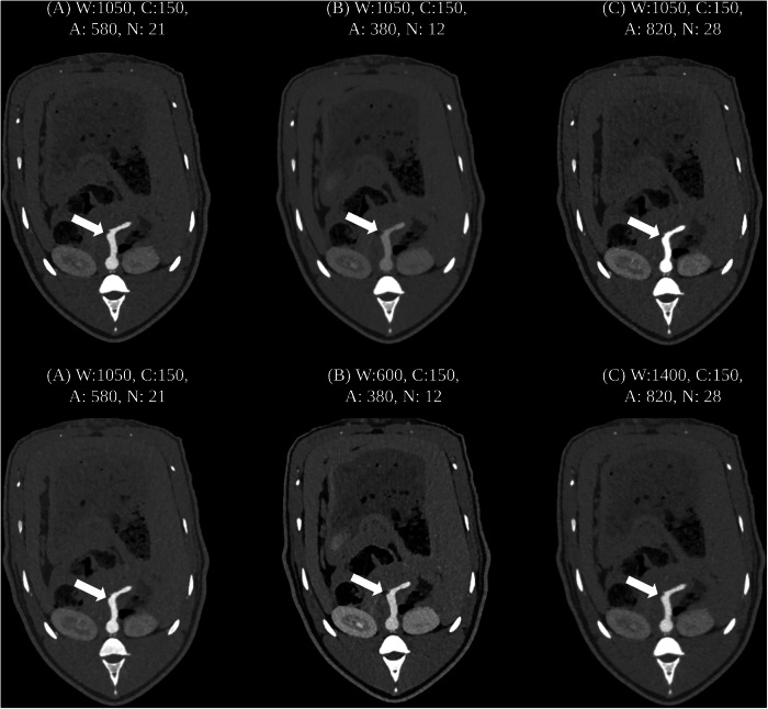
Methods: Six minipigs (median weight: 32.5 kg; IQR: 29.8-34.6 kg) underwent thoracoabdominal CTA using a clinical dual-source PCD-CT at 70 kVp with three scan protocols: (A) reference (100% CM and radiation dose), (B) increased radiation (233%) and reduced CM (56%) dose, and (C) reduced radiation (50%) and increased CM (141%) dose. CNR, subjective image quality, and radiation doses were assessed, with statistical analysis including Mann-Whitney U-test and Kruskal-Wallis tests.

Results: CTDIvol was 1.7 mGy (IQR: 1.5-1.8) for scan A, 4.3 mGy (IQR: 3.8-4.7) for scan B, and 0.9 mGy (IQR: 0.8-1.0) for scan C (p < 0.001). CM volumes were 16 mL (IQR: 15-17) for scan A, 10 mL (IQR: 8-10) for scan B, and 23 mL (IQR: 21-24) for scan C. No significant differences in CNR were found between scans, with medians of 26 (IQR: 24-28) for scan A, 23 (IQR: 22-26) for scan B, and 26 (IQR: 24-30) for scan C (p = 0.276). Subjective image quality was similar across scans (p = 0.342).

Conclusion: Low tube voltage PCD-CT angiography allows substantial reductions in radiation and CM dose while maintaining stable and improved CNR, which allows further dose flexibility for individualized CTA protocols.

Relevance statement: PCD-CT at low tube voltage provides a high CNR and great flexibility in dose optimization, making it particularly effective for applications where minimizing radiation and CM exposure is a priority.

Key points: Low tube voltage imaging with photon counting detector (PCD)-CT enables flexible contrast and radiation dose optimization strategies in thoracoabdominal CT angiography (CTA). The CNR for thoracoabdominal CTA remains stable with appropriate contrast and radiation dose adjustments at low tube voltage PCD-CT. Low tube voltage PCD-CT consistently yields diagnostic image quality in thoracoabdominal angiography even at reduced contrast or radiation doses.

Abstract Image

Abstract Image

Abstract Image

低管电压下降低CT血管造影造影剂和辐射剂量:光子计数检测器CT的动物研究。
背景:在计算机断层血管造影(CTA)中减少辐射和造影剂(CM)剂量对潜在的易感人群尤其重要。与传统CT扫描仪相比,低管电压光子计数检测器CT (PCD-CT)具有更高的碘噪声比(CNR)。我们在动物模型中研究了低管电压下PCD-CT血管造影的最佳辐射和CM剂量。方法:6头小型猪(中位体重32.5 kg;IQR: 29.8-34.6 kg)使用临床双源PCD-CT在70 kVp下进行胸腹CTA,扫描方案有三种:(a)参考(100% CM和辐射剂量),(B)增加辐射(233%)和减少CM(56%)剂量,(C)减少辐射(50%)和增加CM(141%)剂量。采用Mann-Whitney u检验和Kruskal-Wallis检验进行统计分析,评估CNR、主观图像质量和辐射剂量。结果:扫描A时CTDIvol为1.7 mGy (IQR: 1.5-1.8),扫描B时为4.3 mGy (IQR: 3.8-4.7),扫描C时为0.9 mGy (IQR: 0.8-1.0) (p)。结论:低管电压PCD-CT血管造影可以在保持稳定和改善CNR的同时大幅降低辐射和CM剂量,从而进一步提高个体化CTA方案的剂量灵活性。相关声明:低管电压下的PCD-CT提供了高的CNR和很大的剂量优化灵活性,使其特别适用于最小化辐射和CM暴露是优先考虑的应用。重点:低管电压成像光子计数检测器(PCD)-CT为胸腹CT血管造影(CTA)提供了灵活的对比和辐射剂量优化策略。在低管电压PCD-CT下,适当调整造影剂和辐射剂量,胸腹CTA的CNR保持稳定。低管电压PCD-CT在胸腹血管造影中,即使在降低造影剂或辐射剂量下,也能始终保持诊断图像质量。
本文章由计算机程序翻译,如有差异,请以英文原文为准。
求助全文
约1分钟内获得全文 求助全文
来源期刊
European Radiology Experimental
European Radiology Experimental Medicine-Radiology, Nuclear Medicine and Imaging
CiteScore
6.70
自引率
2.60%
发文量
56
审稿时长
18 weeks
×
引用
GB/T 7714-2015
复制
MLA
复制
APA
复制
导出至
BibTeX EndNote RefMan NoteFirst NoteExpress
×
提示
您的信息不完整,为了账户安全,请先补充。
现在去补充
×
提示
您因"违规操作"
具体请查看互助需知
我知道了
×
提示
确定
请完成安全验证×
copy
已复制链接
快去分享给好友吧!
我知道了
右上角分享
点击右上角分享
0
联系我们:info@booksci.cn Book学术提供免费学术资源搜索服务,方便国内外学者检索中英文文献。致力于提供最便捷和优质的服务体验。 Copyright © 2023 布克学术 All rights reserved.
京ICP备2023020795号-1
ghs 京公网安备 11010802042870号
Book学术文献互助
Book学术文献互助群
群 号:604180095
Book学术官方微信