Placental mesenchymal stem cell-derived exosomes treat endometrial injury in a rat model of intrauterine adhesions.

IF 2.1 3区 生物学 Q3 BIOCHEMISTRY & MOLECULAR BIOLOGY
Lin Liang, Huidong Liu, Shaowei Wang
{"title":"Placental mesenchymal stem cell-derived exosomes treat endometrial injury in a rat model of intrauterine adhesions.","authors":"Lin Liang, Huidong Liu, Shaowei Wang","doi":"10.1007/s00438-025-02241-x","DOIUrl":null,"url":null,"abstract":"<p><p>Intrauterine adhesion (IUA) refer to persistent inflammation and fibrosis due to damaged or infected endometrium and eventually lead to dysfunction. This study aimed to explore the therapeutic effects of exosomes (Exos) derived from placental mesenchymal stem cells (PMSCs) on endometrial repair in a rat model of IUA and to elucidate the underlying molecular mechanisms. PMSCs were characterized using flow cytometry and differentiation assays (osteogenic, adipogenic, and chondrogenic). Exos were isolated via ultracentrifugation and validated through transmission electron microscopy, nanoparticle tracking analysis and Western blot. An IUA model was established via electrocoagulation, and endometrial repair was assessed using hematoxylin-eosin (HE) and Masson staining. RNA sequencing, differential expression analysis and protein-protein interaction (PPI) network construction were employed to investigate the molecular mechanisms of PMSC Exos mediated repair. The role of miR-143 in targeting MyD88 and modulating the NF-κB signaling pathway was confirmed using Dual-Luciferase Reporter Assay and qRT-PCR. PMSC Exos significantly improved endometrial thickness, increased glandular number and reduced fibrosis in the IUA model. RNA sequencing and differential expression analysis screened 3980 differentially expressed genes (DEGs) common to the IUA vs normal groups and Exo vs IUA groups. Enrichment analysis revealed significant involvement of immune system processes, natural killer cell-mediated cytotoxicity and NF-κB signaling. PMSC Exos delivered miR-143, which targeted MyD88, thereby regulating the NF-κB pathway. PMSC Exos effectively repaired endometrial damage in the IUA model by modulating the NF-κB signaling pathway through miR-143 delivery. These findings suggest that PMSC Exos hold promise as a novel therapeutic strategy for IUA, offering insights into the molecular mechanisms underlying endometrial repair.</p>","PeriodicalId":18816,"journal":{"name":"Molecular Genetics and Genomics","volume":"300 1","pages":"36"},"PeriodicalIF":2.1000,"publicationDate":"2025-03-25","publicationTypes":"Journal Article","fieldsOfStudy":null,"isOpenAccess":false,"openAccessPdf":"https://www.ncbi.nlm.nih.gov/pmc/articles/PMC11933197/pdf/","citationCount":"0","resultStr":null,"platform":"Semanticscholar","paperid":null,"PeriodicalName":"Molecular Genetics and Genomics","FirstCategoryId":"99","ListUrlMain":"https://doi.org/10.1007/s00438-025-02241-x","RegionNum":3,"RegionCategory":"生物学","ArticlePicture":[],"TitleCN":null,"AbstractTextCN":null,"PMCID":null,"EPubDate":"","PubModel":"","JCR":"Q3","JCRName":"BIOCHEMISTRY & MOLECULAR BIOLOGY","Score":null,"Total":0}
引用次数: 0

Abstract

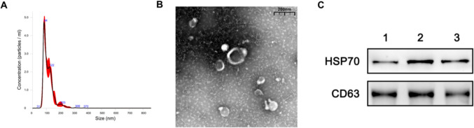
Intrauterine adhesion (IUA) refer to persistent inflammation and fibrosis due to damaged or infected endometrium and eventually lead to dysfunction. This study aimed to explore the therapeutic effects of exosomes (Exos) derived from placental mesenchymal stem cells (PMSCs) on endometrial repair in a rat model of IUA and to elucidate the underlying molecular mechanisms. PMSCs were characterized using flow cytometry and differentiation assays (osteogenic, adipogenic, and chondrogenic). Exos were isolated via ultracentrifugation and validated through transmission electron microscopy, nanoparticle tracking analysis and Western blot. An IUA model was established via electrocoagulation, and endometrial repair was assessed using hematoxylin-eosin (HE) and Masson staining. RNA sequencing, differential expression analysis and protein-protein interaction (PPI) network construction were employed to investigate the molecular mechanisms of PMSC Exos mediated repair. The role of miR-143 in targeting MyD88 and modulating the NF-κB signaling pathway was confirmed using Dual-Luciferase Reporter Assay and qRT-PCR. PMSC Exos significantly improved endometrial thickness, increased glandular number and reduced fibrosis in the IUA model. RNA sequencing and differential expression analysis screened 3980 differentially expressed genes (DEGs) common to the IUA vs normal groups and Exo vs IUA groups. Enrichment analysis revealed significant involvement of immune system processes, natural killer cell-mediated cytotoxicity and NF-κB signaling. PMSC Exos delivered miR-143, which targeted MyD88, thereby regulating the NF-κB pathway. PMSC Exos effectively repaired endometrial damage in the IUA model by modulating the NF-κB signaling pathway through miR-143 delivery. These findings suggest that PMSC Exos hold promise as a novel therapeutic strategy for IUA, offering insights into the molecular mechanisms underlying endometrial repair.

Abstract Image

Abstract Image

Abstract Image

胎盘间充质干细胞来源的外泌体治疗大鼠宫内粘连模型中的子宫内膜损伤。
宫内粘连(Intrauterine adhesion, IUA)是指子宫内膜受损或感染导致的持续炎症和纤维化,最终导致功能障碍。本研究旨在探讨胎盘间充质干细胞(PMSCs)外泌体(Exos)对IUA大鼠子宫内膜修复的作用,并阐明其潜在的分子机制。利用流式细胞术和分化实验(成骨、成脂和成软骨)对PMSCs进行表征。通过超离心分离Exos,并通过透射电镜、纳米颗粒跟踪分析和Western blot进行验证。电凝法建立IUA模型,苏木精-伊红(HE)染色、Masson染色评价子宫内膜修复情况。通过RNA测序、差异表达分析和蛋白-蛋白相互作用(PPI)网络构建研究PMSC Exos介导修复的分子机制。通过双荧光素酶报告基因检测和qRT-PCR证实了miR-143在靶向MyD88和调节NF-κB信号通路中的作用。在IUA模型中,PMSC Exos显著改善子宫内膜厚度,增加腺体数量,减少纤维化。RNA测序和差异表达分析筛选了3980个IUA组与正常组、Exo组与IUA组共有的差异表达基因(deg)。富集分析显示免疫系统过程、自然杀伤细胞介导的细胞毒性和NF-κB信号通路显著参与。PMSC Exos传递靶向MyD88的miR-143,从而调控NF-κB通路。PMSC Exos通过miR-143的传递调节NF-κB信号通路,有效修复IUA模型中的子宫内膜损伤。这些发现表明,PMSC Exos有望成为IUA的一种新的治疗策略,为子宫内膜修复的分子机制提供了新的见解。
本文章由计算机程序翻译,如有差异,请以英文原文为准。
求助全文
约1分钟内获得全文 求助全文
来源期刊
Molecular Genetics and Genomics
Molecular Genetics and Genomics 生物-生化与分子生物学
CiteScore
5.10
自引率
3.20%
发文量
134
审稿时长
1 months
期刊介绍: Molecular Genetics and Genomics (MGG) publishes peer-reviewed articles covering all areas of genetics and genomics. Any approach to the study of genes and genomes is considered, be it experimental, theoretical or synthetic. MGG publishes research on all organisms that is of broad interest to those working in the fields of genetics, genomics, biology, medicine and biotechnology. The journal investigates a broad range of topics, including these from recent issues: mechanisms for extending longevity in a variety of organisms; screening of yeast metal homeostasis genes involved in mitochondrial functions; molecular mapping of cultivar-specific avirulence genes in the rice blast fungus and more.
×
引用
GB/T 7714-2015
复制
MLA
复制
APA
复制
导出至
BibTeX EndNote RefMan NoteFirst NoteExpress
×
提示
您的信息不完整,为了账户安全,请先补充。
现在去补充
×
提示
您因"违规操作"
具体请查看互助需知
我知道了
×
提示
确定
请完成安全验证×
copy
已复制链接
快去分享给好友吧!
我知道了
右上角分享
点击右上角分享
0
联系我们:info@booksci.cn Book学术提供免费学术资源搜索服务,方便国内外学者检索中英文文献。致力于提供最便捷和优质的服务体验。 Copyright © 2023 布克学术 All rights reserved.
京ICP备2023020795号-1
ghs 京公网安备 11010802042870号
Book学术文献互助
Book学术文献互助群
群 号:604180095
Book学术官方微信