Warthin's Tumour Diagnostic Outcome in the Milan System Era and Cytomorphological Pitfalls.

IF 1.7 4区 医学 Q3 PATHOLOGY
Acta Cytologica Pub Date : 2025-01-01 Epub Date: 2025-03-24 DOI:10.1159/000544973
Henri Lagerstam, David Kalfert, Ivana Kholová
{"title":"Warthin's Tumour Diagnostic Outcome in the Milan System Era and Cytomorphological Pitfalls.","authors":"Henri Lagerstam, David Kalfert, Ivana Kholová","doi":"10.1159/000544973","DOIUrl":null,"url":null,"abstract":"<p><strong>Introduction: </strong>Warthin's tumour (WT) is the second most common salivary gland neoplasm. With classic cytomorphological features of WT, the diagnostic accuracy is over 95%. WT is usually categorized as benign neoplasm according to the Milan System for Reporting Salivary Gland Cytopathology (MSRSGC).</p><p><strong>Methods: </strong>Database search at the Department of Pathology, Fimlab Laboratories, Tampere, Finland, revealed 146 WTs during a 10-year period (January 1, 2013-December 31, 2022). Diagnostic accuracy was calculated for the entire study period, and the study period divided in half to pre-MSRSGC years (2013-2017) and MSRSGC years (2018-2022). In addition, a separate cytomorphology analysis of false-negative cases that were classified according to the MSRSGC was performed.</p><p><strong>Results: </strong>Diagnostic accuracy was 96.4%, sensitivity was 68.5%, and specificity was 99.8%. Sensitivities and specificities were almost equal during the pre-MSRSGC years and the MSRSGC years. The number of true-positive cases was 113. Fifty-five cases (52 false-negative and 3 false-positive cases) were not accurately diagnosed. Risk of malignancy and risk of neoplasm were 0.0% and 98.3% of cases that were cytologically diagnosed as WT. Cytomorphological analysis showed that lack of papillae, the presence of small groups, and cystic degeneration led to false diagnoses. In addition, necrosis and diffuse hypercellularity increased the suspicion of malignancy and led to classification of fine-needle aspirations as salivary gland neoplasm of uncertain malignant potential.</p><p><strong>Conclusion: </strong>The MSRSGC is useful in WT diagnostics, and it improves communication between cytopathologists and clinicians. In this study, the most useful cytomorphological feature that led to accurate WT diagnoses was papillary architecture in cell block specimens and the most significant pitfall was necrosis followed by diffuse hypercellularity.</p>","PeriodicalId":6959,"journal":{"name":"Acta Cytologica","volume":" ","pages":"231-240"},"PeriodicalIF":1.7000,"publicationDate":"2025-01-01","publicationTypes":"Journal Article","fieldsOfStudy":null,"isOpenAccess":false,"openAccessPdf":"https://www.ncbi.nlm.nih.gov/pmc/articles/PMC12151520/pdf/","citationCount":"0","resultStr":null,"platform":"Semanticscholar","paperid":null,"PeriodicalName":"Acta Cytologica","FirstCategoryId":"3","ListUrlMain":"https://doi.org/10.1159/000544973","RegionNum":4,"RegionCategory":"医学","ArticlePicture":[],"TitleCN":null,"AbstractTextCN":null,"PMCID":null,"EPubDate":"2025/3/24 0:00:00","PubModel":"Epub","JCR":"Q3","JCRName":"PATHOLOGY","Score":null,"Total":0}
引用次数: 0

Abstract

Introduction: Warthin's tumour (WT) is the second most common salivary gland neoplasm. With classic cytomorphological features of WT, the diagnostic accuracy is over 95%. WT is usually categorized as benign neoplasm according to the Milan System for Reporting Salivary Gland Cytopathology (MSRSGC).

Methods: Database search at the Department of Pathology, Fimlab Laboratories, Tampere, Finland, revealed 146 WTs during a 10-year period (January 1, 2013-December 31, 2022). Diagnostic accuracy was calculated for the entire study period, and the study period divided in half to pre-MSRSGC years (2013-2017) and MSRSGC years (2018-2022). In addition, a separate cytomorphology analysis of false-negative cases that were classified according to the MSRSGC was performed.

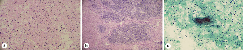
Results: Diagnostic accuracy was 96.4%, sensitivity was 68.5%, and specificity was 99.8%. Sensitivities and specificities were almost equal during the pre-MSRSGC years and the MSRSGC years. The number of true-positive cases was 113. Fifty-five cases (52 false-negative and 3 false-positive cases) were not accurately diagnosed. Risk of malignancy and risk of neoplasm were 0.0% and 98.3% of cases that were cytologically diagnosed as WT. Cytomorphological analysis showed that lack of papillae, the presence of small groups, and cystic degeneration led to false diagnoses. In addition, necrosis and diffuse hypercellularity increased the suspicion of malignancy and led to classification of fine-needle aspirations as salivary gland neoplasm of uncertain malignant potential.

Conclusion: The MSRSGC is useful in WT diagnostics, and it improves communication between cytopathologists and clinicians. In this study, the most useful cytomorphological feature that led to accurate WT diagnoses was papillary architecture in cell block specimens and the most significant pitfall was necrosis followed by diffuse hypercellularity.

Abstract Image

Abstract Image

米兰系统时代Warthin的肿瘤诊断结果和细胞形态学缺陷。
背景:Warthin ' s tumor (WT)是第二常见的唾液腺肿瘤。具有典型的WT细胞形态学特征,诊断准确率在95%以上。根据米兰唾液腺细胞病理学报告系统(MSRSGC), WT通常被归类为良性肿瘤。方法:检索芬兰坦佩雷市Fimlab实验室病理学系数据库,10年间(2013年1月1日- 2022年12月31日)发现146例WTs。计算整个研究期间的诊断准确性,并将研究期间分为前MSRSGC年(2013-2017年)和MSRSGC年(2018-2022年)。此外,对根据MSRSGC分类的假阴性病例进行单独的细胞形态学分析。结果:诊断准确率为96.4%,敏感性为68.5%,特异性为99.8%。敏感性和特异性在前MSRSGC年和MSRSGC年几乎相等。真阳性113例。55例(假阴性52例,假阳性3例)未被准确诊断。在细胞学诊断为WT的病例中,恶性和肿瘤的风险分别为0.0%和98.3%。细胞形态学分析显示,缺乏乳头状瘤、存在小群体和囊性变性导致误诊。此外,坏死和弥漫性高细胞增加了对恶性肿瘤的怀疑,并导致细针状肿块分类为恶性潜能不确定的唾液腺肿瘤。结论:MSRSGC在WT诊断中是有用的,它促进了细胞病理学家和临床医生之间的交流。在本研究中,导致WT准确诊断的最有用的细胞形态学特征是细胞块标本中的乳头状结构,最显著的缺陷是坏死,随后是弥漫性高细胞性。
本文章由计算机程序翻译,如有差异,请以英文原文为准。
求助全文
约1分钟内获得全文 求助全文
来源期刊
Acta Cytologica
Acta Cytologica 生物-病理学
CiteScore
3.70
自引率
11.10%
发文量
46
审稿时长
4-8 weeks
期刊介绍: With articles offering an excellent balance between clinical cytology and cytopathology, ''Acta Cytologica'' fosters the understanding of the pathogenetic mechanisms behind cytomorphology and thus facilitates the translation of frontline research into clinical practice. As the official journal of the International Academy of Cytology and affiliated to over 50 national cytology societies around the world, ''Acta Cytologica'' evaluates new and existing diagnostic applications of scientific advances as well as their clinical correlations. Original papers, review articles, meta-analyses, novel insights from clinical practice, and letters to the editor cover topics from diagnostic cytopathology, gynecologic and non-gynecologic cytopathology to fine needle aspiration, molecular techniques and their diagnostic applications. As the perfect reference for practical use, ''Acta Cytologica'' addresses a multidisciplinary audience practicing clinical cytopathology, cell biology, oncology, interventional radiology, otorhinolaryngology, gastroenterology, urology, pulmonology and preventive medicine.
×
引用
GB/T 7714-2015
复制
MLA
复制
APA
复制
导出至
BibTeX EndNote RefMan NoteFirst NoteExpress
×
提示
您的信息不完整,为了账户安全,请先补充。
现在去补充
×
提示
您因"违规操作"
具体请查看互助需知
我知道了
×
提示
确定
请完成安全验证×
copy
已复制链接
快去分享给好友吧!
我知道了
右上角分享
点击右上角分享
0
联系我们:info@booksci.cn Book学术提供免费学术资源搜索服务,方便国内外学者检索中英文文献。致力于提供最便捷和优质的服务体验。 Copyright © 2023 布克学术 All rights reserved.
京ICP备2023020795号-1
ghs 京公网安备 11010802042870号
Book学术文献互助
Book学术文献互助群
群 号:604180095
Book学术官方微信