Effects of Ophthalmic Medications on Conjunctival Goblet Cell Density in New Zealand White Rabbits.

Biomedicine hub Pub Date : 2025-02-14 eCollection Date: 2025-01-01 DOI:10.1159/000544102
Sarahi Del Carmen Gómez Macías, Ricardo Osvaldo Jauregui Franco, José María Torres-Arellano, Elba Yadira Correa Gallegos, José Manuel Medina Espinosa, Alejandra Sánchez Ríos, Oscar Olvera Montaño
{"title":"Effects of Ophthalmic Medications on Conjunctival Goblet Cell Density in New Zealand White Rabbits.","authors":"Sarahi Del Carmen Gómez Macías, Ricardo Osvaldo Jauregui Franco, José María Torres-Arellano, Elba Yadira Correa Gallegos, José Manuel Medina Espinosa, Alejandra Sánchez Ríos, Oscar Olvera Montaño","doi":"10.1159/000544102","DOIUrl":null,"url":null,"abstract":"<p><strong>Introduction: </strong>The conjunctiva contains numerous specialized cells called conjunctival goblet cells (CGCs). The topical application of specific eye drops to the ocular surface has conclusively been linked to cause a reduction in CGCs, a condition which has been associated with dry eye and other ocular surface disorders. The purpose of this study was to assess if the use of benzalkonium chloride (BAK) as a preservative in common ophthalmic medications affects CGCs' density in New Zealand white (NZW) rabbit conjunctivas.</p><p><strong>Methods: </strong>Data from seven preclinical studies conducted between March 2016 and April 2021 were analyzed, involving 146 male NZW rabbits aged 2 to 3 months. Prior to study participation, rabbits underwent a 7-day quarantine period in individual housing, during which their general health was monitored. Rabbits had ad libitum access to water and food, with intake data recorded. Comprehensive ophthalmological examinations were performed on all eyes prior to and throughout the studies. The density of corneal endothelial cells was specifically assessed using AB/PAS staining and quantified with a high-power (40X) field objective (ocular 18 × 22), expressed as a percentage relative to epithelial cells.</p><p><strong>Results: </strong>No statistically significant differences were found between the with-BAK group and without-BAK group. The mean density in the 30-day group presented a statistically significant higher density than the >30-day group (<i>p</i> = 0.005). Analysis of the treatment revealed that antibiotic/steroid combination group had a higher average number of CGCs compared to both the antihistaminic group (<i>p</i> = 0.004) and hypotensive agent group (<i>p</i> = 0.047).</p><p><strong>Conclusion: </strong>Exposure to BAK-preserved medications for 30 days results in a higher density of CGCs compared to prolonged exposure to BAK-preserved medications exceeding 30 days. The pharmacological effects and associated cellular damage induced by BAK vary depending on the specific medication with which it is combined.</p>","PeriodicalId":101351,"journal":{"name":"Biomedicine hub","volume":"10 1","pages":"64-71"},"PeriodicalIF":0.0000,"publicationDate":"2025-02-14","publicationTypes":"Journal Article","fieldsOfStudy":null,"isOpenAccess":false,"openAccessPdf":"https://www.ncbi.nlm.nih.gov/pmc/articles/PMC11928072/pdf/","citationCount":"0","resultStr":null,"platform":"Semanticscholar","paperid":null,"PeriodicalName":"Biomedicine hub","FirstCategoryId":"1085","ListUrlMain":"https://doi.org/10.1159/000544102","RegionNum":0,"RegionCategory":null,"ArticlePicture":[],"TitleCN":null,"AbstractTextCN":null,"PMCID":null,"EPubDate":"2025/1/1 0:00:00","PubModel":"eCollection","JCR":"","JCRName":"","Score":null,"Total":0}
引用次数: 0

Abstract

Introduction: The conjunctiva contains numerous specialized cells called conjunctival goblet cells (CGCs). The topical application of specific eye drops to the ocular surface has conclusively been linked to cause a reduction in CGCs, a condition which has been associated with dry eye and other ocular surface disorders. The purpose of this study was to assess if the use of benzalkonium chloride (BAK) as a preservative in common ophthalmic medications affects CGCs' density in New Zealand white (NZW) rabbit conjunctivas.

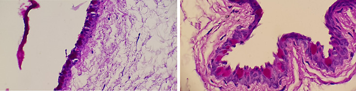
Methods: Data from seven preclinical studies conducted between March 2016 and April 2021 were analyzed, involving 146 male NZW rabbits aged 2 to 3 months. Prior to study participation, rabbits underwent a 7-day quarantine period in individual housing, during which their general health was monitored. Rabbits had ad libitum access to water and food, with intake data recorded. Comprehensive ophthalmological examinations were performed on all eyes prior to and throughout the studies. The density of corneal endothelial cells was specifically assessed using AB/PAS staining and quantified with a high-power (40X) field objective (ocular 18 × 22), expressed as a percentage relative to epithelial cells.

Results: No statistically significant differences were found between the with-BAK group and without-BAK group. The mean density in the 30-day group presented a statistically significant higher density than the >30-day group (p = 0.005). Analysis of the treatment revealed that antibiotic/steroid combination group had a higher average number of CGCs compared to both the antihistaminic group (p = 0.004) and hypotensive agent group (p = 0.047).

Conclusion: Exposure to BAK-preserved medications for 30 days results in a higher density of CGCs compared to prolonged exposure to BAK-preserved medications exceeding 30 days. The pharmacological effects and associated cellular damage induced by BAK vary depending on the specific medication with which it is combined.

Abstract Image

Abstract Image

Abstract Image

眼科药物对新西兰大白兔结膜杯状细胞密度的影响。
结膜包含许多称为结膜杯状细胞(cgc)的特化细胞。将特定滴眼液局部应用于眼表,最终与cgc减少有关,cgc与干眼症和其他眼表疾病有关。本研究的目的是评估在普通眼科药物中使用苯扎氯铵(BAK)作为防腐剂是否会影响新西兰白(NZW)兔结膜中cgc的密度。方法:分析2016年3月至2021年4月进行的7项临床前研究的数据,涉及146只2至3个月的雄性NZW兔。在参与研究之前,兔子在单独的住房中进行了7天的隔离期,在此期间对它们的总体健康状况进行了监测。兔子可以自由地获得水和食物,并记录摄入数据。在研究之前和整个研究过程中对所有眼睛进行了全面的眼科检查。使用AB/PAS染色对角膜内皮细胞密度进行特异性评估,并使用高倍(40倍)物镜(眼18 × 22)定量,以相对于上皮细胞的百分比表示。结果:有bak组与无bak组之间无统计学差异。30天组平均密度高于>30天组,差异有统计学意义(p = 0.005)。治疗分析显示,抗生素/类固醇联合组的平均CGCs数高于抗组胺组(p = 0.004)和降压药组(p = 0.047)。结论:与长期暴露于bac保存的药物超过30天相比,暴露于bac保存的药物30天导致cgc密度更高。BAK引起的药理作用和相关的细胞损伤取决于与它结合的特定药物。
本文章由计算机程序翻译,如有差异,请以英文原文为准。
求助全文
约1分钟内获得全文 求助全文
来源期刊
自引率
0.00%
发文量
0
×
引用
GB/T 7714-2015
复制
MLA
复制
APA
复制
导出至
BibTeX EndNote RefMan NoteFirst NoteExpress
×
提示
您的信息不完整,为了账户安全,请先补充。
现在去补充
×
提示
您因"违规操作"
具体请查看互助需知
我知道了
×
提示
确定
请完成安全验证×
copy
已复制链接
快去分享给好友吧!
我知道了
右上角分享
点击右上角分享
0
联系我们:info@booksci.cn Book学术提供免费学术资源搜索服务,方便国内外学者检索中英文文献。致力于提供最便捷和优质的服务体验。 Copyright © 2023 布克学术 All rights reserved.
京ICP备2023020795号-1
ghs 京公网安备 11010802042870号
Book学术文献互助
Book学术文献互助群
群 号:604180095
Book学术官方微信