Histological and morphometrical evaluation of non-critical bone defects after treatment with biomaterial and bisphosphonates.

IF 2.1 3区 医学 Q2 DENTISTRY, ORAL SURGERY & MEDICINE
G-V Fernandes, B-G Martins, A Heboyan, R-M Castilho, J-C Fernandes
{"title":"Histological and morphometrical evaluation of non-critical bone defects after treatment with biomaterial and bisphosphonates.","authors":"G-V Fernandes, B-G Martins, A Heboyan, R-M Castilho, J-C Fernandes","doi":"10.4317/medoral.27033","DOIUrl":null,"url":null,"abstract":"<p><strong>Background: </strong>The primary goal of this in vivo study was to ascertain if systemic bisphosphonates (BPs) positively affect bone repair in non-critical defects when assisted with a carbonated hydroxyapatite graft biomaterial (Biomat).</p><p><strong>Material and methods: </strong>Thirty-six female rats were allocated into two control groups (blood clot [BC] and alloplastic biomaterial); two groups with zoledronate (third-generation BPs): Zol.BP and Zol.BP+Biomat; and two groups with clodronate (first-generation BPs): Clod.BP and the Clod.BP+Biomat. The experimental groups started the application of BP 60 days before surgery. Then, a 2 mm non-critical defect was performed in the rats' femur and filled according to the group. All animals were euthanized 30 days after surgery, and the samples were collected for histological and histomorphometry analysis, respectively, for descriptive and quantitative analyses.</p><p><strong>Results: </strong>Zol.BP+Biomat had greater new bone formation, whereas clodronate presented high osteogenic potential, significantly increasing the observed levels of newly formed bone even in the absence of the biomaterial. Histomorphometrically, BC had 2% bone formation compared to the biomaterial group (5%). Zol.BP and Col.BP achieved bone formation of 6-fold (12%, p>0.05) and 9.5-fold (19%, p<0.05), respectively, when compared with BC. Zol.BP+Biomat group presented the highest value found for newly formed bone (24%), 12-fold more than BC (p<0.001) and 4.8-fold more than the biomaterial group (p<0.01).</p><p><strong>Conclusions: </strong>It is possible to conclude that the systemic use of BP positively affected non-critical bone defects when associated with biomaterials, mainly when the third generation of BPs was used in this association.</p>","PeriodicalId":49016,"journal":{"name":"Medicina Oral Patologia Oral Y Cirugia Bucal","volume":" ","pages":"e491-e498"},"PeriodicalIF":2.1000,"publicationDate":"2025-07-01","publicationTypes":"Journal Article","fieldsOfStudy":null,"isOpenAccess":false,"openAccessPdf":"https://www.ncbi.nlm.nih.gov/pmc/articles/PMC12221150/pdf/","citationCount":"0","resultStr":null,"platform":"Semanticscholar","paperid":null,"PeriodicalName":"Medicina Oral Patologia Oral Y Cirugia Bucal","FirstCategoryId":"3","ListUrlMain":"https://doi.org/10.4317/medoral.27033","RegionNum":3,"RegionCategory":"医学","ArticlePicture":[],"TitleCN":null,"AbstractTextCN":null,"PMCID":null,"EPubDate":"","PubModel":"","JCR":"Q2","JCRName":"DENTISTRY, ORAL SURGERY & MEDICINE","Score":null,"Total":0}
引用次数: 0

Abstract

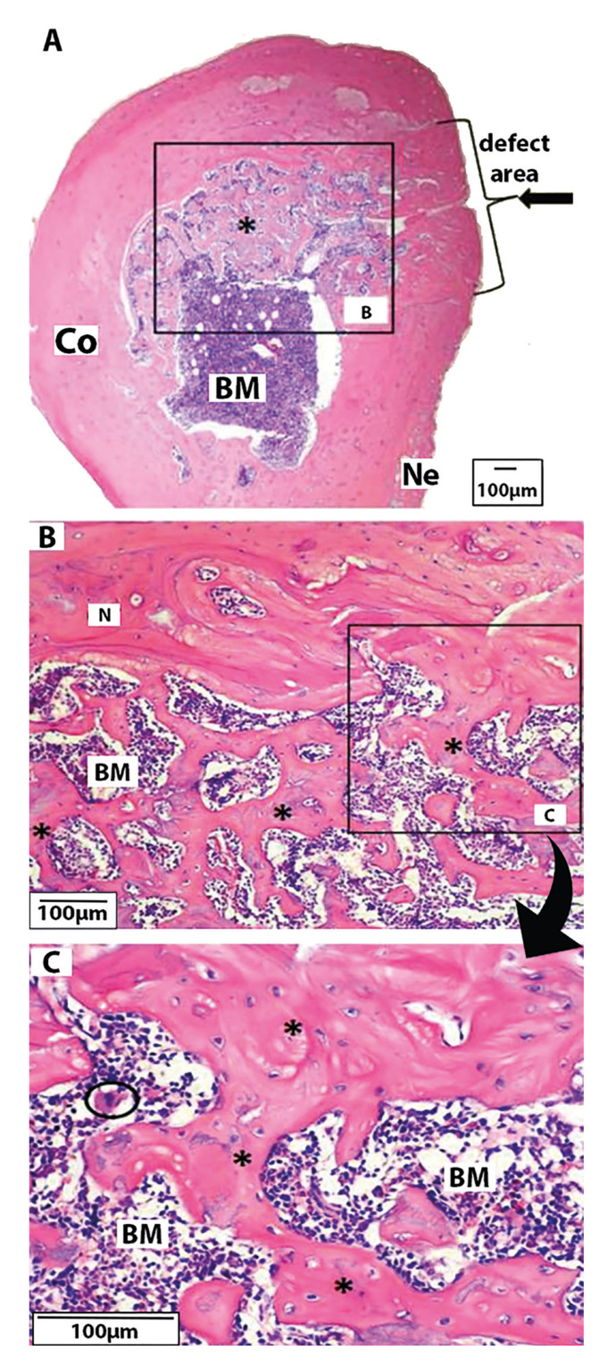
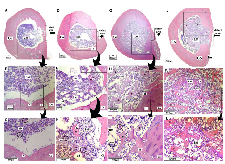
Background: The primary goal of this in vivo study was to ascertain if systemic bisphosphonates (BPs) positively affect bone repair in non-critical defects when assisted with a carbonated hydroxyapatite graft biomaterial (Biomat).

Material and methods: Thirty-six female rats were allocated into two control groups (blood clot [BC] and alloplastic biomaterial); two groups with zoledronate (third-generation BPs): Zol.BP and Zol.BP+Biomat; and two groups with clodronate (first-generation BPs): Clod.BP and the Clod.BP+Biomat. The experimental groups started the application of BP 60 days before surgery. Then, a 2 mm non-critical defect was performed in the rats' femur and filled according to the group. All animals were euthanized 30 days after surgery, and the samples were collected for histological and histomorphometry analysis, respectively, for descriptive and quantitative analyses.

Results: Zol.BP+Biomat had greater new bone formation, whereas clodronate presented high osteogenic potential, significantly increasing the observed levels of newly formed bone even in the absence of the biomaterial. Histomorphometrically, BC had 2% bone formation compared to the biomaterial group (5%). Zol.BP and Col.BP achieved bone formation of 6-fold (12%, p>0.05) and 9.5-fold (19%, p<0.05), respectively, when compared with BC. Zol.BP+Biomat group presented the highest value found for newly formed bone (24%), 12-fold more than BC (p<0.001) and 4.8-fold more than the biomaterial group (p<0.01).

Conclusions: It is possible to conclude that the systemic use of BP positively affected non-critical bone defects when associated with biomaterials, mainly when the third generation of BPs was used in this association.

Abstract Image

Abstract Image

Abstract Image

使用生物材料和双膦酸盐治疗非临界骨缺损后的组织学和形态学评估。
背景:这项体内研究的主要目的是确定在碳酸羟基磷灰石生物材料(Biomat)辅助下,系统性双磷酸盐(bp)是否对非关键骨缺损的骨修复有积极影响。材料与方法:36只雌性大鼠分为两组(血凝块组和同种异体生物材料组);两组使用唑来膦酸钠(第三代bp): Zol。BP+Biomat;氯膦酸钠两组(第一代bp):BP和clod, BP+Biomat。实验组于手术前60天开始应用BP。然后在大鼠股骨上做2 mm的非临界缺损,按组填充。术后30天对所有动物实施安乐死,收集标本分别进行组织学和组织形态学分析,进行描述性和定量分析。结果:Zol。BP+Biomat具有更大的新骨形成,而氯膦酸盐具有较高的成骨潜力,即使在没有生物材料的情况下,也能显著增加观察到的新骨形成水平。在组织形态学上,与生物材料组(5%)相比,BC组有2%的骨形成。Zol。BP和Col.BP分别实现了6倍(12%,p < 0.05)和9.5倍(19%)的骨形成。结论:可以得出结论,当与生物材料联合使用时,系统使用BP对非关键骨缺损有积极影响,主要是在使用第三代BP时。
本文章由计算机程序翻译,如有差异,请以英文原文为准。
求助全文
约1分钟内获得全文 求助全文
来源期刊
Medicina Oral Patologia Oral Y Cirugia Bucal
Medicina Oral Patologia Oral Y Cirugia Bucal DENTISTRY, ORAL SURGERY & MEDICINE-
CiteScore
4.60
自引率
0.00%
发文量
52
审稿时长
3-8 weeks
期刊介绍: 1. Oral Medicine and Pathology: Clinicopathological as well as medical or surgical management aspects of diseases affecting oral mucosa, salivary glands, maxillary bones, as well as orofacial neurological disorders, and systemic conditions with an impact on the oral cavity. 2. Oral Surgery: Surgical management aspects of diseases affecting oral mucosa, salivary glands, maxillary bones, teeth, implants, oral surgical procedures. Surgical management of diseases affecting head and neck areas. 3. Medically compromised patients in Dentistry: Articles discussing medical problems in Odontology will also be included, with a special focus on the clinico-odontological management of medically compromised patients, and considerations regarding high-risk or disabled patients. 4. Implantology 5. Periodontology
×
引用
GB/T 7714-2015
复制
MLA
复制
APA
复制
导出至
BibTeX EndNote RefMan NoteFirst NoteExpress
×
提示
您的信息不完整,为了账户安全,请先补充。
现在去补充
×
提示
您因"违规操作"
具体请查看互助需知
我知道了
×
提示
确定
请完成安全验证×
copy
已复制链接
快去分享给好友吧!
我知道了
右上角分享
点击右上角分享
0
联系我们:info@booksci.cn Book学术提供免费学术资源搜索服务,方便国内外学者检索中英文文献。致力于提供最便捷和优质的服务体验。 Copyright © 2023 布克学术 All rights reserved.
京ICP备2023020795号-1
ghs 京公网安备 11010802042870号
Book学术文献互助
Book学术文献互助群
群 号:604180095
Book学术官方微信