Trabecular titanium acetabular cup in patients with medial femoral neck fracture: Survivorship analysis and clinical and radiological outcomes.

IF 2.3 Q2 ORTHOPEDICS
Eugenio Jannelli, Ester Boggio, Alberto Castelli, Gianluigi Pasta, Federico Alberto Grassi, Mario Mosconi
{"title":"Trabecular titanium acetabular cup in patients with medial femoral neck fracture: Survivorship analysis and clinical and radiological outcomes.","authors":"Eugenio Jannelli, Ester Boggio, Alberto Castelli, Gianluigi Pasta, Federico Alberto Grassi, Mario Mosconi","doi":"10.5312/wjo.v16.i3.100481","DOIUrl":null,"url":null,"abstract":"<p><strong>Background: </strong>Clinical studies using Trabecular Titanium™ acetabular cups have shown promising short and medium-term results. This material, due to its macro and micro surface roughness, provides a substrate for osseointegration and enhances implant stability. However, there is a lack of evidence in the literature on the use of this material in patients with femoral neck fracture.</p><p><strong>Aim: </strong>To evaluate the short-term clinical-functional and radiographic outcomes in patients with femoral neck fractures undergoing total hip arthroplasty (THA) with Trabecular Titanium™ acetabular cup implants.</p><p><strong>Methods: </strong>The study included 104 patients with medial femoral neck fractures who underwent THA between January 2020 and December 2020 with the Delta TT acetabular cup (Lima Corporate, Villanova di San Daniele del Friuli, Italy). The mean age of the patients was 69.57 ± 10.16 years (range: 36-85 years). The follow-up period ranged from a minimum of 3 to a maximum of 4 years. Three questionnaires (Harris Hip Score, Oxford Hip Score, and EQ5D) were administered along with radiographic evaluations. Statistical methods included the Student's <i>t</i>-test and one-way analysis of variance for comparisons (with significance set at 0.05), and the Kaplan-Meier curve for prosthetic implant survival.</p><p><strong>Results: </strong>The mean follow-up was 41.5 months. The Harris Hip Score (HHS) showed a mean increase of 2.74 points (mean HHS 88.52 at 6 months postoperatively and mean HHS 91.26 at the last follow-up) with statistical significance. Similarly, the Oxford Hip Score demonstrated a statistically significant difference between follow-up groups. However, the EQ5D did not show statistically significant differences among the three groups (preoperative, 6-month follow-up, and last follow-up). Revision surgery was required in 6 patients. According to Moore's criteria, 96% of the acetabular components were radiographically stable and well-integrated at the last follow-up. The Kaplan-Meier curve showed a 96% survival rate.</p><p><strong>Conclusion: </strong>The clinical and radiographic results obtained in the short to medium term confirm the excellent performance of the Delta TT acetabular cup in terms of osseointegration, providing an optimal solution both for young patients with high functional recovery demands and for fragile patients requiring optimal stability of the acetabular component to reduce the risk of implant failure.</p>","PeriodicalId":47843,"journal":{"name":"World Journal of Orthopedics","volume":"16 3","pages":"100481"},"PeriodicalIF":2.3000,"publicationDate":"2025-03-18","publicationTypes":"Journal Article","fieldsOfStudy":null,"isOpenAccess":false,"openAccessPdf":"https://www.ncbi.nlm.nih.gov/pmc/articles/PMC11924021/pdf/","citationCount":"0","resultStr":null,"platform":"Semanticscholar","paperid":null,"PeriodicalName":"World Journal of Orthopedics","FirstCategoryId":"1085","ListUrlMain":"https://doi.org/10.5312/wjo.v16.i3.100481","RegionNum":0,"RegionCategory":null,"ArticlePicture":[],"TitleCN":null,"AbstractTextCN":null,"PMCID":null,"EPubDate":"","PubModel":"","JCR":"Q2","JCRName":"ORTHOPEDICS","Score":null,"Total":0}
引用次数: 0

Abstract

Background: Clinical studies using Trabecular Titanium™ acetabular cups have shown promising short and medium-term results. This material, due to its macro and micro surface roughness, provides a substrate for osseointegration and enhances implant stability. However, there is a lack of evidence in the literature on the use of this material in patients with femoral neck fracture.

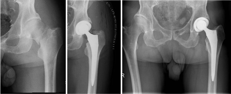
Aim: To evaluate the short-term clinical-functional and radiographic outcomes in patients with femoral neck fractures undergoing total hip arthroplasty (THA) with Trabecular Titanium™ acetabular cup implants.

Methods: The study included 104 patients with medial femoral neck fractures who underwent THA between January 2020 and December 2020 with the Delta TT acetabular cup (Lima Corporate, Villanova di San Daniele del Friuli, Italy). The mean age of the patients was 69.57 ± 10.16 years (range: 36-85 years). The follow-up period ranged from a minimum of 3 to a maximum of 4 years. Three questionnaires (Harris Hip Score, Oxford Hip Score, and EQ5D) were administered along with radiographic evaluations. Statistical methods included the Student's t-test and one-way analysis of variance for comparisons (with significance set at 0.05), and the Kaplan-Meier curve for prosthetic implant survival.

Results: The mean follow-up was 41.5 months. The Harris Hip Score (HHS) showed a mean increase of 2.74 points (mean HHS 88.52 at 6 months postoperatively and mean HHS 91.26 at the last follow-up) with statistical significance. Similarly, the Oxford Hip Score demonstrated a statistically significant difference between follow-up groups. However, the EQ5D did not show statistically significant differences among the three groups (preoperative, 6-month follow-up, and last follow-up). Revision surgery was required in 6 patients. According to Moore's criteria, 96% of the acetabular components were radiographically stable and well-integrated at the last follow-up. The Kaplan-Meier curve showed a 96% survival rate.

Conclusion: The clinical and radiographic results obtained in the short to medium term confirm the excellent performance of the Delta TT acetabular cup in terms of osseointegration, providing an optimal solution both for young patients with high functional recovery demands and for fragile patients requiring optimal stability of the acetabular component to reduce the risk of implant failure.

Abstract Image

Abstract Image

Abstract Image

股骨颈内侧骨折患者的小梁钛髋臼杯:存活率分析以及临床和放射学结果。
背景:使用 Trabecular Titanium™ 髋臼杯进行的临床研究显示,短期和中期效果良好。这种材料的宏观和微观表面粗糙度为骨结合提供了基底,并增强了植入物的稳定性。目的:评估使用 Trabecular Titanium™ 髋臼杯植入物进行全髋关节置换术(THA)的股骨颈骨折患者的短期临床功能和影像学结果:研究纳入了104名股骨颈内侧骨折患者,他们在2020年1月至2020年12月期间接受了使用Delta TT髋臼杯(Lima Corporate, Villanova di San Daniele del Friuli, Italy)的全髋关节置换术。患者的平均年龄为 69.57 ± 10.16 岁(范围:36-85 岁)。随访时间最短为 3 年,最长为 4 年。在进行放射学评估的同时,还进行了三项问卷调查(哈里斯髋关节评分、牛津髋关节评分和 EQ5D)。统计方法包括学生 t 检验和单因素方差分析(显著性设定为 0.05),以及假体植入存活率 Kaplan-Meier 曲线:平均随访时间为 41.5 个月。哈里斯髋关节评分(Harris Hip Score,HHS)平均上升了2.74分(术后6个月时平均HHS为88.52分,最后一次随访时平均HHS为91.26分),并具有统计学意义。同样,牛津髋关节评分(Oxford Hip Score)在随访组之间也显示出显著的统计学差异。然而,EQ5D 在三组(术前、6 个月随访和最后一次随访)之间的差异无统计学意义。有 6 名患者需要进行翻修手术。根据Moore标准,96%的髋臼组件在最后一次随访时放射学表现稳定且整合良好。Kaplan-Meier曲线显示存活率为96%:中短期的临床和影像学结果证实,Delta TT髋臼杯在骨结合方面表现出色,为功能恢复要求较高的年轻患者和需要髋臼组件达到最佳稳定性以降低植入失败风险的脆弱患者提供了最佳解决方案。
本文章由计算机程序翻译,如有差异,请以英文原文为准。
求助全文
约1分钟内获得全文 求助全文
来源期刊
CiteScore
3.10
自引率
0.00%
发文量
814
×
引用
GB/T 7714-2015
复制
MLA
复制
APA
复制
导出至
BibTeX EndNote RefMan NoteFirst NoteExpress
×
提示
您的信息不完整,为了账户安全,请先补充。
现在去补充
×
提示
您因"违规操作"
具体请查看互助需知
我知道了
×
提示
确定
请完成安全验证×
copy
已复制链接
快去分享给好友吧!
我知道了
右上角分享
点击右上角分享
0
联系我们:info@booksci.cn Book学术提供免费学术资源搜索服务,方便国内外学者检索中英文文献。致力于提供最便捷和优质的服务体验。 Copyright © 2023 布克学术 All rights reserved.
京ICP备2023020795号-1
ghs 京公网安备 11010802042870号
Book学术文献互助
Book学术文献互助群
群 号:604180095
Book学术官方微信