Optical coherence tomography findings in patients with diabetic macular edema: A retrospective analysis.

Q3 Medicine
Oman Journal of Ophthalmology Pub Date : 2025-02-25 eCollection Date: 2025-01-01 DOI:10.4103/ojo.ojo_23_24
Manjunathan Sivarasu, Gopinath Madheswaran, Saranya Sachi Balasubramaniam, Chinnasamy Balasubramaniam
{"title":"Optical coherence tomography findings in patients with diabetic macular edema: A retrospective analysis.","authors":"Manjunathan Sivarasu, Gopinath Madheswaran, Saranya Sachi Balasubramaniam, Chinnasamy Balasubramaniam","doi":"10.4103/ojo.ojo_23_24","DOIUrl":null,"url":null,"abstract":"<p><strong>Background: </strong>Diabetic macular edema (DME) is a leading cause of vision loss in diabetic people. DME can be treated with various medications, including intravitreal injections, laser therapy, and surgery. Early detection and treatment of DME is essential to prevent vision loss. The study aimed to describe patients' demographic and clinical characteristics with DME, optical coherence tomography (OCT) findings, and visual acuity outcomes.</p><p><strong>Methodology: </strong>A retrospective study reviewed case records of patients with DME between 2017 and 2020. Demographic data, clinical characteristics, and examination results were extracted and analyzed using Microsoft Excel (2013). All patients clinically diagnosed with DME underwent assessment by OCT examination. DME was classified based on OCT findings. Statistical significance was observed at <i>P</i> < 0.05.</p><p><strong>Results: </strong>This retrospective study included 213 eyes of 134 patients, of which 77.6% were male and 22.4% were female. Nonproliferative diabetic retinopathy (NPDR) was present in 51.64% of eyes, and PDR was present in 48.36%. Focal, diffuse, and cystoid macular edema was observed in 68, 31, and 65 eyes, respectively. Tractional macular edema was seen in 16 eyes with posterior hyaloid traction, 13 with epiretinal membrane (ERM), and one with both conditions. DME associated with subretinal fluid (SRF) detachment was seen in 8.92% of eyes. The mean (standard deviation) central retinal thickness was 284.5 (28.9), 434.0 (97.5), 426.5 (27.5), 510.5 (14.1), and 465.5 (280.7) μm in focal, diffuse, cystoid, ERM, and SRF, respectively. Increased central retinal thickness was associated with decreased visual acuity (<i>P</i> < 0.05).</p><p><strong>Conclusion: </strong>The findings of this study suggest that DME is a common and visually significant complication of diabetes. The OCT findings can be used to classify DME into different subtypes, which may help to guide treatment decisions. Focal edema was the most common type of DME with the least central retinal thickness. In NPDR, focal macular edema was the most common; in PDR, cystoid edema was the most common. Cystoid edema was the most common type in the subgroup of patients with recurrent DME following anti-vascular endothelial growth factor injection.</p>","PeriodicalId":19461,"journal":{"name":"Oman Journal of Ophthalmology","volume":"18 1","pages":"22-27"},"PeriodicalIF":0.0000,"publicationDate":"2025-02-25","publicationTypes":"Journal Article","fieldsOfStudy":null,"isOpenAccess":false,"openAccessPdf":"https://www.ncbi.nlm.nih.gov/pmc/articles/PMC11925365/pdf/","citationCount":"0","resultStr":null,"platform":"Semanticscholar","paperid":null,"PeriodicalName":"Oman Journal of Ophthalmology","FirstCategoryId":"1085","ListUrlMain":"https://doi.org/10.4103/ojo.ojo_23_24","RegionNum":0,"RegionCategory":null,"ArticlePicture":[],"TitleCN":null,"AbstractTextCN":null,"PMCID":null,"EPubDate":"2025/1/1 0:00:00","PubModel":"eCollection","JCR":"Q3","JCRName":"Medicine","Score":null,"Total":0}
引用次数: 0

Abstract

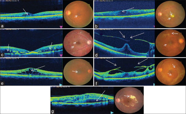
Background: Diabetic macular edema (DME) is a leading cause of vision loss in diabetic people. DME can be treated with various medications, including intravitreal injections, laser therapy, and surgery. Early detection and treatment of DME is essential to prevent vision loss. The study aimed to describe patients' demographic and clinical characteristics with DME, optical coherence tomography (OCT) findings, and visual acuity outcomes.

Methodology: A retrospective study reviewed case records of patients with DME between 2017 and 2020. Demographic data, clinical characteristics, and examination results were extracted and analyzed using Microsoft Excel (2013). All patients clinically diagnosed with DME underwent assessment by OCT examination. DME was classified based on OCT findings. Statistical significance was observed at P < 0.05.

Results: This retrospective study included 213 eyes of 134 patients, of which 77.6% were male and 22.4% were female. Nonproliferative diabetic retinopathy (NPDR) was present in 51.64% of eyes, and PDR was present in 48.36%. Focal, diffuse, and cystoid macular edema was observed in 68, 31, and 65 eyes, respectively. Tractional macular edema was seen in 16 eyes with posterior hyaloid traction, 13 with epiretinal membrane (ERM), and one with both conditions. DME associated with subretinal fluid (SRF) detachment was seen in 8.92% of eyes. The mean (standard deviation) central retinal thickness was 284.5 (28.9), 434.0 (97.5), 426.5 (27.5), 510.5 (14.1), and 465.5 (280.7) μm in focal, diffuse, cystoid, ERM, and SRF, respectively. Increased central retinal thickness was associated with decreased visual acuity (P < 0.05).

Conclusion: The findings of this study suggest that DME is a common and visually significant complication of diabetes. The OCT findings can be used to classify DME into different subtypes, which may help to guide treatment decisions. Focal edema was the most common type of DME with the least central retinal thickness. In NPDR, focal macular edema was the most common; in PDR, cystoid edema was the most common. Cystoid edema was the most common type in the subgroup of patients with recurrent DME following anti-vascular endothelial growth factor injection.

Abstract Image

Abstract Image

糖尿病性黄斑水肿患者的光学相干断层扫描表现:回顾性分析。
背景:糖尿病性黄斑水肿(DME)是糖尿病患者视力丧失的主要原因。二甲醚可以通过各种药物治疗,包括玻璃体内注射、激光治疗和手术。早期发现和治疗DME对于防止视力丧失至关重要。该研究旨在描述患者的人口统计学和临床特征,包括DME、光学相干断层扫描(OCT)结果和视力结果。方法:回顾性研究回顾了2017年至2020年DME患者的病例记录。使用Microsoft Excel(2013)对人口学资料、临床特征和检查结果进行提取和分析。所有临床诊断为DME的患者均行OCT检查评估。根据OCT表现对DME进行分类。P < 0.05,差异有统计学意义。结果:本研究纳入134例患者213只眼,其中男性77.6%,女性22.4%。非增殖性糖尿病视网膜病变(NPDR)发生率为51.64%,PDR发生率为48.36%。灶性黄斑水肿68只,弥漫性黄斑水肿31只,囊状黄斑水肿65只。后路玻璃体牵引16眼,视网膜前膜(ERM) 13眼,两种情况均有1眼,可见牵引性黄斑水肿。DME合并视网膜下液(SRF)脱离的发生率为8.92%。平均(标准差)视网膜中央厚度分别为284.5(28.9)、434.0(97.5)、426.5(27.5)、510.5(14.1)、465.5 (280.7)μm,分别为病灶、弥漫性、囊状、ERM和SRF。中央视网膜厚度增加与视力下降相关(P < 0.05)。结论:本研究结果提示二甲醚是糖尿病常见且具有视觉意义的并发症。OCT结果可用于将DME分为不同的亚型,这可能有助于指导治疗决策。局灶性水肿是DME最常见的类型,视网膜中央厚度最小。NPDR以局灶性黄斑水肿最为常见;PDR中,囊样水肿最为常见。在注射抗血管内皮生长因子后复发性DME患者亚组中,囊样水肿是最常见的类型。
本文章由计算机程序翻译,如有差异,请以英文原文为准。
求助全文
约1分钟内获得全文 求助全文
来源期刊
Oman Journal of Ophthalmology
Oman Journal of Ophthalmology Medicine-Ophthalmology
CiteScore
0.50
自引率
0.00%
发文量
68
审稿时长
50 weeks
期刊介绍: To provide a platform for scientific expression of the Oman Ophthalmic Society and the international Ophthalmic community and to provide opportunities for free exchange of ideas and information. To serve as a valuable resource for ophthalmologists, eye-care providers including optometrists, orthoptists, other health care professionals and research workers in all aspects of the field of visual science.
×
引用
GB/T 7714-2015
复制
MLA
复制
APA
复制
导出至
BibTeX EndNote RefMan NoteFirst NoteExpress
×
提示
您的信息不完整,为了账户安全,请先补充。
现在去补充
×
提示
您因"违规操作"
具体请查看互助需知
我知道了
×
提示
确定
请完成安全验证×
copy
已复制链接
快去分享给好友吧!
我知道了
右上角分享
点击右上角分享
0
联系我们:info@booksci.cn Book学术提供免费学术资源搜索服务,方便国内外学者检索中英文文献。致力于提供最便捷和优质的服务体验。 Copyright © 2023 布克学术 All rights reserved.
京ICP备2023020795号-1
ghs 京公网安备 11010802042870号
Book学术文献互助
Book学术文献互助群
群 号:604180095
Book学术官方微信