A Case of Omental Neuroendocrine Tumor Discovered Incidentally: Case Report.

IF 0.8 Q3 MEDICINE, GENERAL & INTERNAL
Masataka Taki, Toshikatsu Nitta, Ryutaro Kubo, Aki Yoshiyama, Hidero Yoshimoto, Masatsugu Ishii, Takashi Ishibashi, Atsushi Takeshita
{"title":"A Case of Omental Neuroendocrine Tumor Discovered Incidentally: Case Report.","authors":"Masataka Taki, Toshikatsu Nitta, Ryutaro Kubo, Aki Yoshiyama, Hidero Yoshimoto, Masatsugu Ishii, Takashi Ishibashi, Atsushi Takeshita","doi":"10.1177/23247096241299286","DOIUrl":null,"url":null,"abstract":"<p><p>Neuroendocrine cells are distributed throughout the body's organs, though neuroendocrine neoplasms are primarily documented in the gastrointestinal tract and pancreas, with rare occurrences elsewhere. Herein, we report a case of primary neuroendocrine tumor of the omentum (omental NET) that was incidentally detected as an omental mass during preoperative screening for colorectal cancer. The patient, a 66-year-old woman, with abdominal pain and decreased oral intake, leading to a diagnosis of obstructive colorectal cancer with a large, 55 mm, mass around the gastropyloric region, which was discontinuous with the gastrointestinal tract. After the placement of a colonic stent at the site of the ascending colon cancer to decompress the colon, a laparoscopic right hemicolectomy was performed, simultaneously excising the mass. Postoperative pathology revealed a neuroendocrine tumor (NET). Subsequent examinations detected no other lesions of suspected primary disease and postoperative somatostatin scintigraphy found no other lesions, establishing a diagnosis of omental NET. The rarity of omental NETs is attributable to the absence of neuroendocrine cells in the omentum. Moreover, solid tumors originating primarily from the omentum are very rare, making preoperative diagnosis difficult; therefore, postoperative pathology should be utilized. We presented a very rare case of omental NET, previously reported only once in the literature, and believe that complete resection with minimal invasiveness should be performed for treatment of this malignancy. In addition, we emphasize the need for continued patient follow-up.</p>","PeriodicalId":16198,"journal":{"name":"Journal of investigative medicine high impact case reports","volume":"13 ","pages":"23247096241299286"},"PeriodicalIF":0.8000,"publicationDate":"2025-01-01","publicationTypes":"Journal Article","fieldsOfStudy":null,"isOpenAccess":false,"openAccessPdf":"https://www.ncbi.nlm.nih.gov/pmc/articles/PMC11938437/pdf/","citationCount":"0","resultStr":null,"platform":"Semanticscholar","paperid":null,"PeriodicalName":"Journal of investigative medicine high impact case reports","FirstCategoryId":"1085","ListUrlMain":"https://doi.org/10.1177/23247096241299286","RegionNum":0,"RegionCategory":null,"ArticlePicture":[],"TitleCN":null,"AbstractTextCN":null,"PMCID":null,"EPubDate":"2025/3/24 0:00:00","PubModel":"Epub","JCR":"Q3","JCRName":"MEDICINE, GENERAL & INTERNAL","Score":null,"Total":0}
引用次数: 0

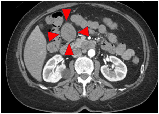
Abstract

Neuroendocrine cells are distributed throughout the body's organs, though neuroendocrine neoplasms are primarily documented in the gastrointestinal tract and pancreas, with rare occurrences elsewhere. Herein, we report a case of primary neuroendocrine tumor of the omentum (omental NET) that was incidentally detected as an omental mass during preoperative screening for colorectal cancer. The patient, a 66-year-old woman, with abdominal pain and decreased oral intake, leading to a diagnosis of obstructive colorectal cancer with a large, 55 mm, mass around the gastropyloric region, which was discontinuous with the gastrointestinal tract. After the placement of a colonic stent at the site of the ascending colon cancer to decompress the colon, a laparoscopic right hemicolectomy was performed, simultaneously excising the mass. Postoperative pathology revealed a neuroendocrine tumor (NET). Subsequent examinations detected no other lesions of suspected primary disease and postoperative somatostatin scintigraphy found no other lesions, establishing a diagnosis of omental NET. The rarity of omental NETs is attributable to the absence of neuroendocrine cells in the omentum. Moreover, solid tumors originating primarily from the omentum are very rare, making preoperative diagnosis difficult; therefore, postoperative pathology should be utilized. We presented a very rare case of omental NET, previously reported only once in the literature, and believe that complete resection with minimal invasiveness should be performed for treatment of this malignancy. In addition, we emphasize the need for continued patient follow-up.

Abstract Image

Abstract Image

Abstract Image

偶然发现大网膜神经内分泌肿瘤1例。
神经内分泌细胞分布于人体的各个器官,但神经内分泌肿瘤主要发生在胃肠道和胰腺,其他部位很少见。在此,我们报告了一例网膜原发性神经内分泌肿瘤(网膜NET)病例,该病例是在结直肠癌术前筛查中偶然发现的网膜肿块。患者是一名 66 岁的女性,因腹痛和口腔摄入量减少而被诊断为梗阻性结直肠癌,胃幽门区周围有一个 55 毫米的巨大肿块,与胃肠道不连续。在升结肠癌变部位放置结肠支架为结肠减压后,进行了腹腔镜右半结肠切除术,同时切除了肿块。术后病理结果显示为神经内分泌肿瘤(NET)。随后的检查没有发现疑似原发疾病的其他病变,术后的体生长抑素闪烁成像也没有发现其他病变,因此确诊为网膜NET。网膜NET之所以罕见,是因为网膜中没有神经内分泌细胞。此外,主要来源于网膜的实体瘤也非常罕见,这使得术前诊断变得困难;因此,应利用术后病理检查。我们介绍了一例非常罕见的网膜 NET 病例,此前文献中仅报道过一例,我们认为在治疗这种恶性肿瘤时应进行微创的完全切除。此外,我们还强调了对患者进行持续随访的必要性。
本文章由计算机程序翻译,如有差异,请以英文原文为准。
求助全文
约1分钟内获得全文 求助全文
来源期刊
CiteScore
1.90
自引率
0.00%
发文量
165
审稿时长
12 weeks
期刊介绍: The AFMR is committed to enhancing the training and career development of our members and to furthering its mission to facilitate the conduct of research to improve medical care. Case reports represent an important avenue for trainees (interns, residents, and fellows) and early-stage faculty to demonstrate productive, scholarly activity.
×
引用
GB/T 7714-2015
复制
MLA
复制
APA
复制
导出至
BibTeX EndNote RefMan NoteFirst NoteExpress
×
提示
您的信息不完整,为了账户安全,请先补充。
现在去补充
×
提示
您因"违规操作"
具体请查看互助需知
我知道了
×
提示
确定
请完成安全验证×
copy
已复制链接
快去分享给好友吧!
我知道了
右上角分享
点击右上角分享
0
联系我们:info@booksci.cn Book学术提供免费学术资源搜索服务,方便国内外学者检索中英文文献。致力于提供最便捷和优质的服务体验。 Copyright © 2023 布克学术 All rights reserved.
京ICP备2023020795号-1
ghs 京公网安备 11010802042870号
Book学术文献互助
Book学术文献互助群
群 号:604180095
Book学术官方微信