The Novel Dual GIP and GLP-1 Receptor Agonist Tirzepatide Attenuates Colon Cancer Development by Regulating Glucose Metabolism

IF 14.1 1区 材料科学 Q1 CHEMISTRY, MULTIDISCIPLINARY
Yikai Zhang, Yi Xie, Shenglong Xia, Xinnuo Ge, Jiaying Li, Fang Liu, Fan Jia, Shengyao Wang, Qiao Zhou, Menghan Gao, Weihuan Fang, Chao Zheng
{"title":"The Novel Dual GIP and GLP-1 Receptor Agonist Tirzepatide Attenuates Colon Cancer Development by Regulating Glucose Metabolism","authors":"Yikai Zhang,&nbsp;Yi Xie,&nbsp;Shenglong Xia,&nbsp;Xinnuo Ge,&nbsp;Jiaying Li,&nbsp;Fang Liu,&nbsp;Fan Jia,&nbsp;Shengyao Wang,&nbsp;Qiao Zhou,&nbsp;Menghan Gao,&nbsp;Weihuan Fang,&nbsp;Chao Zheng","doi":"10.1002/advs.202411980","DOIUrl":null,"url":null,"abstract":"<p>Colorectal cancer (CRC) is a leading cause of cancer mortality while diabetes is a recognized risk factor for CRC. Here we report that tirzepatide (TZP), a novel polypeptide/glucagon-like peptide 1 receptor (GIPR/GLP-1R) agonist for the treatment of diabetes, has a role in attenuating CRC growth. TZP significantly inhibited colon cancer cell proliferation promoted apoptosis in vitro and induced durable tumor regression in vivo under hyperglycemic and nonhyperglycemic conditions across multiple murine cancer models. As glucose metabolism is known to critically regulate colon cancer progression, spatial metabolomics results revealed that glucose metabolites are robustly reduced in the colon cancer regions of the TZP-treated mice. TZP inhibited glucose uptake and destabilized hypoxia-inducible factor-1 alpha (HIF-1α) with reduced expression and activity of the rate-limiting enzymes 6-phosphofructo-2-kinase/fructose-2,6-bisphosphatase 3 (PFKFB3) and phosphofructokinase 1 (PFK-1). These effects contributed to the downregulation of glycolysis and the tricarboxylic acid (TCA) cycle. TZP also delayed tumor development in a patient-derived xenograft (PDX) mouse model accompanied by HIF-1α mediated PFKFB3-PFK-1 inhibition. Therefore, the study provides strong evidence that glycolysis-blocking TZP, besides its application in treating type 2 diabetes, has the potential for preclinical studies as a therapy for colorectal cancer used either as monotherapy or in combination with other anticancer therapies.</p>","PeriodicalId":117,"journal":{"name":"Advanced Science","volume":"12 19","pages":""},"PeriodicalIF":14.1000,"publicationDate":"2025-03-24","publicationTypes":"Journal Article","fieldsOfStudy":null,"isOpenAccess":false,"openAccessPdf":"https://onlinelibrary.wiley.com/doi/epdf/10.1002/advs.202411980","citationCount":"0","resultStr":null,"platform":"Semanticscholar","paperid":null,"PeriodicalName":"Advanced Science","FirstCategoryId":"88","ListUrlMain":"https://advanced.onlinelibrary.wiley.com/doi/10.1002/advs.202411980","RegionNum":1,"RegionCategory":"材料科学","ArticlePicture":[],"TitleCN":null,"AbstractTextCN":null,"PMCID":null,"EPubDate":"","PubModel":"","JCR":"Q1","JCRName":"CHEMISTRY, MULTIDISCIPLINARY","Score":null,"Total":0}
引用次数: 0

Abstract

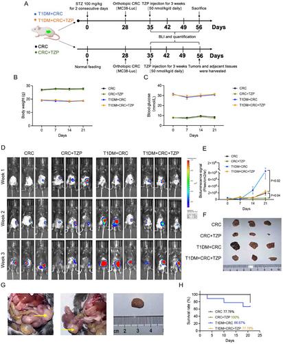
Colorectal cancer (CRC) is a leading cause of cancer mortality while diabetes is a recognized risk factor for CRC. Here we report that tirzepatide (TZP), a novel polypeptide/glucagon-like peptide 1 receptor (GIPR/GLP-1R) agonist for the treatment of diabetes, has a role in attenuating CRC growth. TZP significantly inhibited colon cancer cell proliferation promoted apoptosis in vitro and induced durable tumor regression in vivo under hyperglycemic and nonhyperglycemic conditions across multiple murine cancer models. As glucose metabolism is known to critically regulate colon cancer progression, spatial metabolomics results revealed that glucose metabolites are robustly reduced in the colon cancer regions of the TZP-treated mice. TZP inhibited glucose uptake and destabilized hypoxia-inducible factor-1 alpha (HIF-1α) with reduced expression and activity of the rate-limiting enzymes 6-phosphofructo-2-kinase/fructose-2,6-bisphosphatase 3 (PFKFB3) and phosphofructokinase 1 (PFK-1). These effects contributed to the downregulation of glycolysis and the tricarboxylic acid (TCA) cycle. TZP also delayed tumor development in a patient-derived xenograft (PDX) mouse model accompanied by HIF-1α mediated PFKFB3-PFK-1 inhibition. Therefore, the study provides strong evidence that glycolysis-blocking TZP, besides its application in treating type 2 diabetes, has the potential for preclinical studies as a therapy for colorectal cancer used either as monotherapy or in combination with other anticancer therapies.

Abstract Image

Abstract Image

Abstract Image

新型双GIP和GLP-1受体激动剂替西肽通过调节葡萄糖代谢减轻结肠癌的发展。
结直肠癌(CRC)是癌症死亡的主要原因,而糖尿病是公认的结直肠癌的危险因素。在这里,我们报道了替西帕肽(TZP),一种用于治疗糖尿病的新型多肽/胰高血糖素样肽1受体(GIPR/GLP-1R)激动剂,具有减缓结直肠癌生长的作用。在多种小鼠癌症模型中,高糖和非高糖条件下,TZP在体外显著抑制结肠癌细胞增殖,促进细胞凋亡,并诱导肿瘤在体内持久消退。由于已知葡萄糖代谢对结肠癌进展具有关键调控作用,空间代谢组学结果显示,在tzp处理的小鼠结肠癌区域,葡萄糖代谢物明显减少。TZP抑制葡萄糖摄取,破坏缺氧诱导因子-1α (HIF-1α)的稳定,降低6-磷酸果糖-2-激酶/果糖-2,6-双磷酸酶3 (PFKFB3)和磷酸果糖激酶1 (PFK-1)的表达和活性。这些作用有助于糖酵解和三羧酸(TCA)循环的下调。在伴有HIF-1α介导的PFKFB3-PFK-1抑制的患者源性异种移植(PDX)小鼠模型中,TZP也延迟了肿瘤的发展。因此,该研究提供了强有力的证据,证明糖酵解阻断TZP除了在治疗2型糖尿病方面的应用外,还具有作为结直肠癌治疗的临床前研究潜力,无论是单独治疗还是与其他抗癌治疗联合使用。
本文章由计算机程序翻译,如有差异,请以英文原文为准。
求助全文
约1分钟内获得全文 求助全文
来源期刊
Advanced Science
Advanced Science CHEMISTRY, MULTIDISCIPLINARYNANOSCIENCE &-NANOSCIENCE & NANOTECHNOLOGY
CiteScore
18.90
自引率
2.60%
发文量
1602
审稿时长
1.9 months
期刊介绍: Advanced Science is a prestigious open access journal that focuses on interdisciplinary research in materials science, physics, chemistry, medical and life sciences, and engineering. The journal aims to promote cutting-edge research by employing a rigorous and impartial review process. It is committed to presenting research articles with the highest quality production standards, ensuring maximum accessibility of top scientific findings. With its vibrant and innovative publication platform, Advanced Science seeks to revolutionize the dissemination and organization of scientific knowledge.
×
引用
GB/T 7714-2015
复制
MLA
复制
APA
复制
导出至
BibTeX EndNote RefMan NoteFirst NoteExpress
×
提示
您的信息不完整,为了账户安全,请先补充。
现在去补充
×
提示
您因"违规操作"
具体请查看互助需知
我知道了
×
提示
确定
请完成安全验证×
copy
已复制链接
快去分享给好友吧!
我知道了
右上角分享
点击右上角分享
0
联系我们:info@booksci.cn Book学术提供免费学术资源搜索服务,方便国内外学者检索中英文文献。致力于提供最便捷和优质的服务体验。 Copyright © 2023 布克学术 All rights reserved.
京ICP备2023020795号-1
ghs 京公网安备 11010802042870号
Book学术文献互助
Book学术文献互助群
群 号:604180095
Book学术官方微信