No evidence of subclinical infection in sheep surviving oral challenge with prions.

IF 4.3 4区 医学 Q2 BIOTECHNOLOGY & APPLIED MICROBIOLOGY
M Khalid F Salamat, Nora Hunter, E Fiona Houston
{"title":"No evidence of subclinical infection in sheep surviving oral challenge with prions.","authors":"M Khalid F Salamat, Nora Hunter, E Fiona Houston","doi":"10.1099/jgv.0.002087","DOIUrl":null,"url":null,"abstract":"<p><p>Variant Creutzfeldt-Jakob disease (vCJD) is a fatal zoonotic disease caused by the ingestion of bovine spongiform encephalopathy (BSE)-infected meat products. Although the number of vCJD cases due to dietary exposure has significantly declined, the true burden of subclinical infections remains uncertain. Several large-scale surveys using appendix tissue samples have indicated the presence of abnormal prion protein (PrP<sup>Sc</sup>; Sc for scrapie) in lymphoid tissue of a small proportion of the UK population. These may represent silent carriers of infection, with the potential to contribute to transmission, persistence and re-emergence of vCJD. Previously, we showed that subclinical infection is a frequent outcome of low-dose prion exposure by blood transfusion in sheep. To determine whether subclinical infection was also found following low-dose exposure by another clinically relevant route for humans, we screened archived tissues from sheep orally challenged with a range of doses of BSE, which did not show clinical or pathological signs of disease after several years of follow-up post-infection. Using a highly sensitive protein misfolding cyclic amplification assay, we were unable to detect PrP<sup>Sc</sup> in the lymph node/tonsil of 15 sheep, or in a wider range of lymphoid tissues and brain (medulla oblongata) from a subset of 5 sheep. Our findings suggest that the route of infection/exposure may significantly influence the probability of establishing subclinical infection, with the oral route apparently much less efficient than intravenous infection by blood transfusion in sheep.</p>","PeriodicalId":15880,"journal":{"name":"Journal of General Virology","volume":"106 3","pages":""},"PeriodicalIF":4.3000,"publicationDate":"2025-03-01","publicationTypes":"Journal Article","fieldsOfStudy":null,"isOpenAccess":false,"openAccessPdf":"https://www.ncbi.nlm.nih.gov/pmc/articles/PMC11928478/pdf/","citationCount":"0","resultStr":null,"platform":"Semanticscholar","paperid":null,"PeriodicalName":"Journal of General Virology","FirstCategoryId":"3","ListUrlMain":"https://doi.org/10.1099/jgv.0.002087","RegionNum":4,"RegionCategory":"医学","ArticlePicture":[],"TitleCN":null,"AbstractTextCN":null,"PMCID":null,"EPubDate":"","PubModel":"","JCR":"Q2","JCRName":"BIOTECHNOLOGY & APPLIED MICROBIOLOGY","Score":null,"Total":0}
引用次数: 0

Abstract

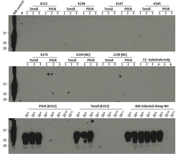
Variant Creutzfeldt-Jakob disease (vCJD) is a fatal zoonotic disease caused by the ingestion of bovine spongiform encephalopathy (BSE)-infected meat products. Although the number of vCJD cases due to dietary exposure has significantly declined, the true burden of subclinical infections remains uncertain. Several large-scale surveys using appendix tissue samples have indicated the presence of abnormal prion protein (PrPSc; Sc for scrapie) in lymphoid tissue of a small proportion of the UK population. These may represent silent carriers of infection, with the potential to contribute to transmission, persistence and re-emergence of vCJD. Previously, we showed that subclinical infection is a frequent outcome of low-dose prion exposure by blood transfusion in sheep. To determine whether subclinical infection was also found following low-dose exposure by another clinically relevant route for humans, we screened archived tissues from sheep orally challenged with a range of doses of BSE, which did not show clinical or pathological signs of disease after several years of follow-up post-infection. Using a highly sensitive protein misfolding cyclic amplification assay, we were unable to detect PrPSc in the lymph node/tonsil of 15 sheep, or in a wider range of lymphoid tissues and brain (medulla oblongata) from a subset of 5 sheep. Our findings suggest that the route of infection/exposure may significantly influence the probability of establishing subclinical infection, with the oral route apparently much less efficient than intravenous infection by blood transfusion in sheep.

Abstract Image

没有证据表明在被朊病毒口服攻击后存活的绵羊存在亚临床感染。
变异型克雅氏病(vCJD)是一种致命的人畜共患疾病,由食用牛海绵状脑病(BSE)感染的肉制品引起。虽然由于饮食暴露导致的vCJD病例数量已显著下降,但亚临床感染的真正负担仍不确定。一些使用阑尾组织样本的大规模调查表明存在异常朊病毒蛋白(PrPSc;Sc(痒病)在英国人口的一小部分淋巴组织。这些人可能是沉默的感染携带者,有可能导致vCJD的传播、持续和再次出现。先前,我们发现亚临床感染是绵羊输血低剂量朊病毒暴露的常见结果。为了确定通过另一种临床相关途径对人类进行低剂量暴露后是否也发现亚临床感染,我们筛选了经过一系列剂量疯牛病口服攻击的绵羊的存档组织,这些组织在感染后随访数年后未显示出临床或病理症状。使用高度敏感的蛋白错误折叠循环扩增试验,我们无法在15只羊的淋巴结/扁桃体中检测到PrPSc,也无法在5只羊的淋巴组织和大脑(延髓)中检测到PrPSc。我们的研究结果表明,感染/暴露途径可能显著影响建立亚临床感染的概率,在绵羊中,口服途径明显低于静脉输血感染的效率。
本文章由计算机程序翻译,如有差异,请以英文原文为准。
求助全文
约1分钟内获得全文 求助全文
来源期刊
Journal of General Virology
Journal of General Virology 医学-病毒学
CiteScore
7.70
自引率
2.60%
发文量
91
审稿时长
3 months
期刊介绍: JOURNAL OF GENERAL VIROLOGY (JGV), a journal of the Society for General Microbiology (SGM), publishes high-calibre research papers with high production standards, giving the journal a worldwide reputation for excellence and attracting an eminent audience.
×
引用
GB/T 7714-2015
复制
MLA
复制
APA
复制
导出至
BibTeX EndNote RefMan NoteFirst NoteExpress
×
提示
您的信息不完整,为了账户安全,请先补充。
现在去补充
×
提示
您因"违规操作"
具体请查看互助需知
我知道了
×
提示
确定
请完成安全验证×
copy
已复制链接
快去分享给好友吧!
我知道了
右上角分享
点击右上角分享
0
联系我们:info@booksci.cn Book学术提供免费学术资源搜索服务,方便国内外学者检索中英文文献。致力于提供最便捷和优质的服务体验。 Copyright © 2023 布克学术 All rights reserved.
京ICP备2023020795号-1
ghs 京公网安备 11010802042870号
Book学术文献互助
Book学术文献互助群
群 号:604180095
Book学术官方微信