Isolated syndesmotic injury: treatment with suture button system-retrospective cohort study.

Porto biomedical journal Pub Date : 2025-03-20 eCollection Date: 2025-03-01 DOI:10.1097/j.pbj.0000000000000287
Luís Fabião, Vítor Macedo-Campos, Rita Ferreira de Castro, Tiago Frada, Luís Miguel Silva, Nuno Esteves, Bruno S Pereira
{"title":"Isolated syndesmotic injury: treatment with suture button system-retrospective cohort study.","authors":"Luís Fabião, Vítor Macedo-Campos, Rita Ferreira de Castro, Tiago Frada, Luís Miguel Silva, Nuno Esteves, Bruno S Pereira","doi":"10.1097/j.pbj.0000000000000287","DOIUrl":null,"url":null,"abstract":"<p><strong>Background: </strong>Ankle injuries, often involving the syndesmotic complex, are common and may lead to acute instability. The syndesmosis, comprising several key ligaments, provides critical support for ankle function. This study assesses the efficacy and safety of the suture button system for isolated syndesmotic injuries, a treatment method that is gaining popularity over traditional transsyndesmotic screws.</p><p><strong>Methods: </strong>A retrospective review was conducted on patients treated surgically with the suture button system for isolated syndesmotic injuries from January 2018 to December 2023. Key outcomes measured included time to full weight-bearing, returning of daily activities, and complications. The study also compared these outcomes with historical data from screw fixation methods.</p><p><strong>Results: </strong>Thirty-two patients (20 men, 12 women; mean age 41.66 ± 16.57 years [range 16-72 years]) were analyzed over an average follow-up of 9.94 ± 5.49 months (range 3-28 months). Patients achieved full weight-bearing at 1.23 ± 0.31 months postoperatively, resumed daily activities with restrictions at 3 ± 1.09 months, and without restrictions at 6.67 ± 2.55 months. No major complications were reported; minor complications included implant removal due to irritation in two patients (6.25%) and minor wound issues in one patient (3.13%).</p><p><strong>Conclusion: </strong>The suture button system demonstrated good outcomes in allowing physiological motion, low malreduction rates, and minimizing reoperation needs. The present results indicate a promising safety profile and functional recovery, despite limitations such as small sample size and lack of patient-reported outcome measures.</p>","PeriodicalId":74479,"journal":{"name":"Porto biomedical journal","volume":"10 2","pages":"e287"},"PeriodicalIF":0.0000,"publicationDate":"2025-03-20","publicationTypes":"Journal Article","fieldsOfStudy":null,"isOpenAccess":false,"openAccessPdf":"https://www.ncbi.nlm.nih.gov/pmc/articles/PMC11922477/pdf/","citationCount":"0","resultStr":null,"platform":"Semanticscholar","paperid":null,"PeriodicalName":"Porto biomedical journal","FirstCategoryId":"1085","ListUrlMain":"https://doi.org/10.1097/j.pbj.0000000000000287","RegionNum":0,"RegionCategory":null,"ArticlePicture":[],"TitleCN":null,"AbstractTextCN":null,"PMCID":null,"EPubDate":"2025/3/1 0:00:00","PubModel":"eCollection","JCR":"","JCRName":"","Score":null,"Total":0}
引用次数: 0

Abstract

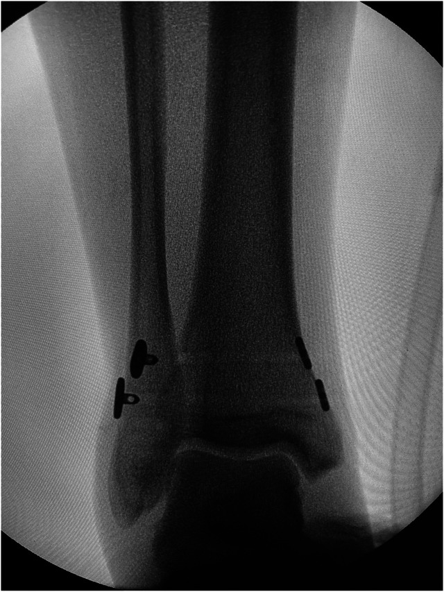
Background: Ankle injuries, often involving the syndesmotic complex, are common and may lead to acute instability. The syndesmosis, comprising several key ligaments, provides critical support for ankle function. This study assesses the efficacy and safety of the suture button system for isolated syndesmotic injuries, a treatment method that is gaining popularity over traditional transsyndesmotic screws.

Methods: A retrospective review was conducted on patients treated surgically with the suture button system for isolated syndesmotic injuries from January 2018 to December 2023. Key outcomes measured included time to full weight-bearing, returning of daily activities, and complications. The study also compared these outcomes with historical data from screw fixation methods.

Results: Thirty-two patients (20 men, 12 women; mean age 41.66 ± 16.57 years [range 16-72 years]) were analyzed over an average follow-up of 9.94 ± 5.49 months (range 3-28 months). Patients achieved full weight-bearing at 1.23 ± 0.31 months postoperatively, resumed daily activities with restrictions at 3 ± 1.09 months, and without restrictions at 6.67 ± 2.55 months. No major complications were reported; minor complications included implant removal due to irritation in two patients (6.25%) and minor wound issues in one patient (3.13%).

Conclusion: The suture button system demonstrated good outcomes in allowing physiological motion, low malreduction rates, and minimizing reoperation needs. The present results indicate a promising safety profile and functional recovery, despite limitations such as small sample size and lack of patient-reported outcome measures.

Abstract Image

Abstract Image

Abstract Image

孤立性韧带联合损伤:用缝合扣系统治疗-回顾性队列研究。
背景:踝关节损伤通常涉及踝关节联合复合体,这种损伤很常见,并可能导致急性失稳。联合韧带由几条关键韧带组成,为踝关节功能提供重要支撑。本研究评估了缝合扣系统治疗孤立巩膜损伤的有效性和安全性,与传统的经巩膜螺钉相比,这种治疗方法越来越受欢迎:对2018年1月至2023年12月期间使用缝合扣系统手术治疗孤立性巩膜损伤的患者进行了回顾性研究。测量的主要结果包括完全负重时间、恢复日常活动时间和并发症。研究还将这些结果与螺钉固定方法的历史数据进行了比较:对 32 名患者(20 名男性,12 名女性;平均年龄为 41.66±16.57 岁[16-72 岁])进行了分析,平均随访时间为 9.94±5.49 个月(3-28 个月)。患者在术后 1.23 ± 0.31 个月实现完全负重,3 ± 1.09 个月恢复有限制的日常活动,6.67 ± 2.55 个月恢复无限制的日常活动。无重大并发症报告;轻微并发症包括两名患者(6.25%)因刺激而移除植入物,一名患者(3.13%)出现轻微伤口问题:结论:缝合按钮系统在允许生理运动、降低不良反应率和减少再次手术需求方面表现出良好的效果。本研究结果表明,尽管样本量较小,且缺乏患者报告的结果指标,但其安全性和功能恢复情况良好。
本文章由计算机程序翻译,如有差异,请以英文原文为准。
求助全文
约1分钟内获得全文 求助全文
来源期刊
自引率
0.00%
发文量
0
×
引用
GB/T 7714-2015
复制
MLA
复制
APA
复制
导出至
BibTeX EndNote RefMan NoteFirst NoteExpress
×
提示
您的信息不完整,为了账户安全,请先补充。
现在去补充
×
提示
您因"违规操作"
具体请查看互助需知
我知道了
×
提示
确定
请完成安全验证×
copy
已复制链接
快去分享给好友吧!
我知道了
右上角分享
点击右上角分享
0
联系我们:info@booksci.cn Book学术提供免费学术资源搜索服务,方便国内外学者检索中英文文献。致力于提供最便捷和优质的服务体验。 Copyright © 2023 布克学术 All rights reserved.
京ICP备2023020795号-1
ghs 京公网安备 11010802042870号
Book学术文献互助
Book学术文献互助群
群 号:604180095
Book学术官方微信