Preoperative computed tomography imaging for accurate diagnosis and surgical planning in equine cranial disorders: two case reports of congenital malformations.

Q3 Veterinary
Journal of Equine Science Pub Date : 2025-01-01 Epub Date: 2025-03-10 DOI:10.1294/jes.36.33
Takashi Yamaga, Masaaki Tagami, Akiko Takeyama, Fumiki Kato, Tsukasa Suzuki, Masayuki Tagami, Nao Tsuzuki
{"title":"Preoperative computed tomography imaging for accurate diagnosis and surgical planning in equine cranial disorders: two case reports of congenital malformations.","authors":"Takashi Yamaga, Masaaki Tagami, Akiko Takeyama, Fumiki Kato, Tsukasa Suzuki, Masayuki Tagami, Nao Tsuzuki","doi":"10.1294/jes.36.33","DOIUrl":null,"url":null,"abstract":"<p><p>Computed tomography (CT) offers high-resolution, three-dimensional imaging, making it particularly valuable for assessing complex structures, such as the head, especially when conventional radiography and endoscopy are insufficient for a definitive diagnosis. Herein, we present two cases of equine cranial disorders resulting from congenital malformations. In case 1, which had a dentigerous cyst, CT images confirmed the location of the ectopic tooth within the skull and a detailed fistula tube. In case 2, which had temporohyoid osteoarthropathy, CT examination revealed that the stylohyoid bone was malformed, and the inner ear was presumed to be filled with soft tissue with calcification. The information obtained by CT was invaluable, as it allowed for accurate diagnosis and precise surgical planning.</p>","PeriodicalId":35701,"journal":{"name":"Journal of Equine Science","volume":"36 1","pages":"33-37"},"PeriodicalIF":0.0000,"publicationDate":"2025-01-01","publicationTypes":"Journal Article","fieldsOfStudy":null,"isOpenAccess":false,"openAccessPdf":"https://www.ncbi.nlm.nih.gov/pmc/articles/PMC11919546/pdf/","citationCount":"0","resultStr":null,"platform":"Semanticscholar","paperid":null,"PeriodicalName":"Journal of Equine Science","FirstCategoryId":"1085","ListUrlMain":"https://doi.org/10.1294/jes.36.33","RegionNum":0,"RegionCategory":null,"ArticlePicture":[],"TitleCN":null,"AbstractTextCN":null,"PMCID":null,"EPubDate":"2025/3/10 0:00:00","PubModel":"Epub","JCR":"Q3","JCRName":"Veterinary","Score":null,"Total":0}
引用次数: 0

Abstract

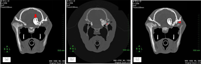
Computed tomography (CT) offers high-resolution, three-dimensional imaging, making it particularly valuable for assessing complex structures, such as the head, especially when conventional radiography and endoscopy are insufficient for a definitive diagnosis. Herein, we present two cases of equine cranial disorders resulting from congenital malformations. In case 1, which had a dentigerous cyst, CT images confirmed the location of the ectopic tooth within the skull and a detailed fistula tube. In case 2, which had temporohyoid osteoarthropathy, CT examination revealed that the stylohyoid bone was malformed, and the inner ear was presumed to be filled with soft tissue with calcification. The information obtained by CT was invaluable, as it allowed for accurate diagnosis and precise surgical planning.

Abstract Image

Abstract Image

Abstract Image

术前计算机断层成像对马颅骨疾病的准确诊断和手术计划:两例先天性畸形报告。
计算机断层扫描(CT)提供高分辨率的三维成像,使其在评估复杂结构(如头部)时特别有价值,特别是当传统的x线摄影和内窥镜检查不足以进行明确诊断时。在此,我们提出了两个病例马颅疾病导致先天性畸形。病例1为含牙囊肿,CT图像确认了异位牙在颅骨内的位置和详细的瘘管。病例2为颞舌骨骨关节病,CT检查提示茎突舌骨畸形,推测内耳充盈有钙化软组织。CT所获得的信息是非常宝贵的,因为它允许准确的诊断和精确的手术计划。
本文章由计算机程序翻译,如有差异,请以英文原文为准。
求助全文
约1分钟内获得全文 求助全文
来源期刊
Journal of Equine Science
Journal of Equine Science Veterinary-Equine
CiteScore
1.60
自引率
0.00%
发文量
9
×
引用
GB/T 7714-2015
复制
MLA
复制
APA
复制
导出至
BibTeX EndNote RefMan NoteFirst NoteExpress
×
提示
您的信息不完整,为了账户安全,请先补充。
现在去补充
×
提示
您因"违规操作"
具体请查看互助需知
我知道了
×
提示
确定
请完成安全验证×
copy
已复制链接
快去分享给好友吧!
我知道了
右上角分享
点击右上角分享
0
联系我们:info@booksci.cn Book学术提供免费学术资源搜索服务,方便国内外学者检索中英文文献。致力于提供最便捷和优质的服务体验。 Copyright © 2023 布克学术 All rights reserved.
京ICP备2023020795号-1
ghs 京公网安备 11010802042870号
Book学术文献互助
Book学术文献互助群
群 号:604180095
Book学术官方微信