Successful Surgical Repair of Complete Duodenal Transection Caused by Horse Kick: A Case Report.

IF 0.7 Q4 SURGERY
Surgical Case Reports Pub Date : 2025-01-01 Epub Date: 2025-03-11 DOI:10.70352/scrj.cr.24-0059
Yusuke Asai, Yusuke Tsunetoshi, Yuta Susa, Akiko Matsuzawa, Seiji Miyazaki, Yuki Itagaki, Hiroyuki Yamamoto, Kotaro Kimura, Hiroki Kushiya, Shoki Sato, Naoya Okada, Takumi Yamabuki, Kentaro Kato, Yoshihiro Kinoshita, Minoru Takada, Yoshiyasu Ambo, Fumitaka Nakamura
{"title":"Successful Surgical Repair of Complete Duodenal Transection Caused by Horse Kick: A Case Report.","authors":"Yusuke Asai, Yusuke Tsunetoshi, Yuta Susa, Akiko Matsuzawa, Seiji Miyazaki, Yuki Itagaki, Hiroyuki Yamamoto, Kotaro Kimura, Hiroki Kushiya, Shoki Sato, Naoya Okada, Takumi Yamabuki, Kentaro Kato, Yoshihiro Kinoshita, Minoru Takada, Yoshiyasu Ambo, Fumitaka Nakamura","doi":"10.70352/scrj.cr.24-0059","DOIUrl":null,"url":null,"abstract":"<p><strong>Introduction: </strong>Horse kicks are a rare cause of injury and tend to cause severe complications such as visceral organ injury. Traumatic duodenal injuries are associated with high mortality rates. Furthermore, their reconstructive procedures vary widely and require appropriate on-the-spot judgment by the surgeon. We experienced a case of blunt abdominal trauma with a complete transection of the first portion of the duodenum caused by a horse kick without any associated lesions. A good postoperative course was achieved by trimming the pyloric part of the stomach and performing an end-to-end anastomosis between the gastric remnant and the duodenum, along with tube decompression and biliary drainage.</p><p><strong>Case presentation: </strong>A woman in her 50s was kicked in the right upper quadrant of her abdomen by a horse and transported to a local hospital. Computed tomography revealed pneumoperitoneum and hematoma near the duodenum, discontinuity of the duodenal wall, and a poorly contrasted area in the pancreas head. The patient underwent emergent laparotomy 6h after the accident. The first portion of the duodenum was completely lacerated. No contamination around the pancreatic head or saponification of fat tissue was observed. Because the patient's vital signs were stable and the condition of the damaged tissue was favorable, the transection was repaired with trimming of the pyloric part of the stomach and end-to-end anastomosis between the gastric remnant and the duodenum. Decompression, feeding and biliary drainage tubes were placed. The patient's postoperative course was favorable and the patient was discharged on postoperative day 20 in a stable condition. At an outpatient visit 3 months postoperatively, the patient reported no abdominal pain or stenosis symptoms.</p><p><strong>Conclusions: </strong>We experienced a rare case of a single complete duodenal transection due to a horse kick. End-to-end anastomosis with tube decompression and biliary drainage was performed because the patient's vital signs were stable, there was little contamination or contusion of the surrounding tissue, and it had not been >24h since the injury. The patient had a good course of treatment.</p>","PeriodicalId":22096,"journal":{"name":"Surgical Case Reports","volume":"11 1","pages":""},"PeriodicalIF":0.7000,"publicationDate":"2025-01-01","publicationTypes":"Journal Article","fieldsOfStudy":null,"isOpenAccess":false,"openAccessPdf":"https://www.ncbi.nlm.nih.gov/pmc/articles/PMC11925644/pdf/","citationCount":"0","resultStr":null,"platform":"Semanticscholar","paperid":null,"PeriodicalName":"Surgical Case Reports","FirstCategoryId":"1085","ListUrlMain":"https://doi.org/10.70352/scrj.cr.24-0059","RegionNum":0,"RegionCategory":null,"ArticlePicture":[],"TitleCN":null,"AbstractTextCN":null,"PMCID":null,"EPubDate":"2025/3/11 0:00:00","PubModel":"Epub","JCR":"Q4","JCRName":"SURGERY","Score":null,"Total":0}
引用次数: 0

Abstract

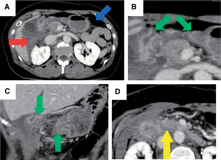
Introduction: Horse kicks are a rare cause of injury and tend to cause severe complications such as visceral organ injury. Traumatic duodenal injuries are associated with high mortality rates. Furthermore, their reconstructive procedures vary widely and require appropriate on-the-spot judgment by the surgeon. We experienced a case of blunt abdominal trauma with a complete transection of the first portion of the duodenum caused by a horse kick without any associated lesions. A good postoperative course was achieved by trimming the pyloric part of the stomach and performing an end-to-end anastomosis between the gastric remnant and the duodenum, along with tube decompression and biliary drainage.

Case presentation: A woman in her 50s was kicked in the right upper quadrant of her abdomen by a horse and transported to a local hospital. Computed tomography revealed pneumoperitoneum and hematoma near the duodenum, discontinuity of the duodenal wall, and a poorly contrasted area in the pancreas head. The patient underwent emergent laparotomy 6h after the accident. The first portion of the duodenum was completely lacerated. No contamination around the pancreatic head or saponification of fat tissue was observed. Because the patient's vital signs were stable and the condition of the damaged tissue was favorable, the transection was repaired with trimming of the pyloric part of the stomach and end-to-end anastomosis between the gastric remnant and the duodenum. Decompression, feeding and biliary drainage tubes were placed. The patient's postoperative course was favorable and the patient was discharged on postoperative day 20 in a stable condition. At an outpatient visit 3 months postoperatively, the patient reported no abdominal pain or stenosis symptoms.

Conclusions: We experienced a rare case of a single complete duodenal transection due to a horse kick. End-to-end anastomosis with tube decompression and biliary drainage was performed because the patient's vital signs were stable, there was little contamination or contusion of the surrounding tissue, and it had not been >24h since the injury. The patient had a good course of treatment.

Abstract Image

Abstract Image

Abstract Image

马踢致完全性十二指肠横断手术成功修复1例。
简介:马踢是一种罕见的伤害原因,往往会导致严重的并发症,如内脏器官损伤。外伤性十二指肠损伤与高死亡率有关。此外,它们的重建程序差别很大,需要外科医生进行适当的现场判断。我们经历了一个钝性腹部创伤与十二指肠的第一部分完全横断引起的马踢没有任何相关病变的情况下。通过修剪胃幽门部分,残胃与十二指肠端对端吻合,同时进行管道减压和胆道引流,获得了良好的术后过程。案例介绍:一名50多岁的妇女被马踢伤右上腹,被送往当地医院。计算机断层扫描显示十二指肠附近气腹和血肿,十二指肠壁不连续,胰腺头部对比差。事故发生6小时后,患者接受了紧急剖腹手术。十二指肠的第一部分完全撕裂。胰头周围未见污染,脂肪组织未见皂化。由于患者生命体征稳定,受损组织状况良好,对横断行胃幽门部分切边,残胃与十二指肠端对端吻合修复。放置减压、喂食及胆道引流管。患者术后病程良好,于术后第20天出院,病情稳定。术后3个月门诊就诊时,患者报告无腹痛或狭窄症状。结论:我们经历了一个罕见的病例单一完整的十二指肠横断由于马踢。由于患者生命体征稳定,周围组织污染、挫伤少,且距伤后24h以内,均行端到端吻合减压引流胆道。病人接受了一个很好的治疗。
本文章由计算机程序翻译,如有差异,请以英文原文为准。
求助全文
约1分钟内获得全文 求助全文
来源期刊
自引率
0.00%
发文量
218
审稿时长
13 weeks
×
引用
GB/T 7714-2015
复制
MLA
复制
APA
复制
导出至
BibTeX EndNote RefMan NoteFirst NoteExpress
×
提示
您的信息不完整,为了账户安全,请先补充。
现在去补充
×
提示
您因"违规操作"
具体请查看互助需知
我知道了
×
提示
确定
请完成安全验证×
copy
已复制链接
快去分享给好友吧!
我知道了
右上角分享
点击右上角分享
0
联系我们:info@booksci.cn Book学术提供免费学术资源搜索服务,方便国内外学者检索中英文文献。致力于提供最便捷和优质的服务体验。 Copyright © 2023 布克学术 All rights reserved.
京ICP备2023020795号-1
ghs 京公网安备 11010802042870号
Book学术文献互助
Book学术文献互助群
群 号:604180095
Book学术官方微信