Hilar Cholangiocarcinoma with Para-Aortic Lymph Node Metastasis Treated with Chemoimmunotherapy and Conversion Surgery: A Case Report.

IF 0.7 Q4 SURGERY
Surgical Case Reports Pub Date : 2025-01-01 Epub Date: 2025-03-19 DOI:10.70352/scrj.cr.25-0023
Yuma Yasui, Koichi Kimura, Norifumi Iseda, Yoshinari Nobuto, Hiroko Yano, Yuichiro Kajiwara, Takuro Watanabe, Fang Cao, Michiko Amano, Takaaki Tanaka, Hironori Ochi, Nobuaki Azemoto, Kazuhito Minami, Ryosuke Minagawa, Tomoyuki Yokota, Takashi Nishizaki
{"title":"Hilar Cholangiocarcinoma with Para-Aortic Lymph Node Metastasis Treated with Chemoimmunotherapy and Conversion Surgery: A Case Report.","authors":"Yuma Yasui, Koichi Kimura, Norifumi Iseda, Yoshinari Nobuto, Hiroko Yano, Yuichiro Kajiwara, Takuro Watanabe, Fang Cao, Michiko Amano, Takaaki Tanaka, Hironori Ochi, Nobuaki Azemoto, Kazuhito Minami, Ryosuke Minagawa, Tomoyuki Yokota, Takashi Nishizaki","doi":"10.70352/scrj.cr.25-0023","DOIUrl":null,"url":null,"abstract":"<p><strong>Introduction: </strong>Cholangiocarcinoma (CC) has a poor prognosis and few treatment options. Conversion surgery for unresectable CC has been frequently reported; however, there are almost no reports of conversion surgery after durvalumab plus gemcitabine and cisplatin therapy. In this study, we report the case of a patient with unresectable hilar CC who received durvalumab plus gemcitabine and cisplatin therapy and achieved a pathological complete response after conversion surgery.</p><p><strong>Case presentation: </strong>A 70-year-old man was diagnosed with hilar CC (cT3N1M0, Stage III C) based on biopsy of the common bile duct stenosis and computed tomography (CT) and magnetic resonance cholangiopancreatography scans. Initially, a right lobe hepatectomy and subtotal stomach-preserving pancreatoduodenectomy were planned. However, there were concerns about an insufficient functional remnant liver volume. Trans-ileocolic portal embolization of the right portal vein branch was performed. On a preoperative CT scan 1 month later for liver volumetry, swelling of the para-aortic lymph nodes was observed, which was judged as distant metastasis, and radical resection could not be performed. After 8 courses of durvalumab plus gemcitabine and cisplatin therapy, vanishing fluorodeoxyglucose accumulation in the para-aortic lymph nodes was observed on positron emission tomography-CT. The possibility of resection was reevaluated, and a right lobe hepatectomy and extrahepatic biliary reconstruction were performed as conversion surgeries. Histological examination confirmed the absence of residual tumors or lymph node metastases. Ten months after surgery, the patient was free of recurrence.</p><p><strong>Conclusions: </strong>Chemoimmunotherapy with durvalumab as a first-line treatment for unresectable CC has shown promising results. Immunotherapy with durvalumab, followed by conversion surgery, may improve the prognosis of patients with unresectable CC.</p>","PeriodicalId":22096,"journal":{"name":"Surgical Case Reports","volume":"11 1","pages":""},"PeriodicalIF":0.7000,"publicationDate":"2025-01-01","publicationTypes":"Journal Article","fieldsOfStudy":null,"isOpenAccess":false,"openAccessPdf":"https://www.ncbi.nlm.nih.gov/pmc/articles/PMC11925595/pdf/","citationCount":"0","resultStr":null,"platform":"Semanticscholar","paperid":null,"PeriodicalName":"Surgical Case Reports","FirstCategoryId":"1085","ListUrlMain":"https://doi.org/10.70352/scrj.cr.25-0023","RegionNum":0,"RegionCategory":null,"ArticlePicture":[],"TitleCN":null,"AbstractTextCN":null,"PMCID":null,"EPubDate":"2025/3/19 0:00:00","PubModel":"Epub","JCR":"Q4","JCRName":"SURGERY","Score":null,"Total":0}
引用次数: 0

Abstract

Introduction: Cholangiocarcinoma (CC) has a poor prognosis and few treatment options. Conversion surgery for unresectable CC has been frequently reported; however, there are almost no reports of conversion surgery after durvalumab plus gemcitabine and cisplatin therapy. In this study, we report the case of a patient with unresectable hilar CC who received durvalumab plus gemcitabine and cisplatin therapy and achieved a pathological complete response after conversion surgery.

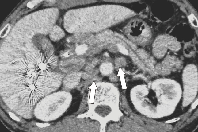
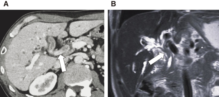
Case presentation: A 70-year-old man was diagnosed with hilar CC (cT3N1M0, Stage III C) based on biopsy of the common bile duct stenosis and computed tomography (CT) and magnetic resonance cholangiopancreatography scans. Initially, a right lobe hepatectomy and subtotal stomach-preserving pancreatoduodenectomy were planned. However, there were concerns about an insufficient functional remnant liver volume. Trans-ileocolic portal embolization of the right portal vein branch was performed. On a preoperative CT scan 1 month later for liver volumetry, swelling of the para-aortic lymph nodes was observed, which was judged as distant metastasis, and radical resection could not be performed. After 8 courses of durvalumab plus gemcitabine and cisplatin therapy, vanishing fluorodeoxyglucose accumulation in the para-aortic lymph nodes was observed on positron emission tomography-CT. The possibility of resection was reevaluated, and a right lobe hepatectomy and extrahepatic biliary reconstruction were performed as conversion surgeries. Histological examination confirmed the absence of residual tumors or lymph node metastases. Ten months after surgery, the patient was free of recurrence.

Conclusions: Chemoimmunotherapy with durvalumab as a first-line treatment for unresectable CC has shown promising results. Immunotherapy with durvalumab, followed by conversion surgery, may improve the prognosis of patients with unresectable CC.

Abstract Image

Abstract Image

Abstract Image

肝门胆管癌伴主动脉旁淋巴结转移的化疗免疫治疗及转化手术1例报告。
胆管癌(CC)预后差,治疗选择少。不可切除的CC的转化手术经常被报道;然而,在杜伐单抗联合吉西他滨和顺铂治疗后,几乎没有转换手术的报道。在这项研究中,我们报告了一例不可切除的肝门癌患者,他接受了杜伐单抗加吉西他滨和顺铂治疗,并在转化手术后获得了病理完全缓解。病例介绍:一名70岁男性,根据胆总管狭窄活检、CT和磁共振胆管造影扫描诊断为肝门部CC (cT3N1M0, III期C)。最初,我们计划行右肝叶切除术和保胃胰十二指肠大部切除术。然而,存在功能性残肝容量不足的担忧。经回肠结肠门静脉栓塞右门静脉分支。术前1个月行肝容量CT扫描,发现主动脉旁淋巴结肿大,判断为远处转移,不能行根治性切除。杜伐单抗联合吉西他滨和顺铂治疗8个疗程后,正电子发射断层扫描(ct)观察到主动脉旁淋巴结氟脱氧葡萄糖积聚消失。重新评估切除的可能性,并进行右肝叶肝切除术和肝外胆道重建作为转换手术。组织学检查证实无肿瘤残留或淋巴结转移。术后10个月,患者无复发。结论:杜伐单抗化疗免疫治疗作为不可切除CC的一线治疗显示出良好的效果。杜伐单抗免疫治疗,再加上转换手术,可能改善不可切除CC患者的预后。
本文章由计算机程序翻译,如有差异,请以英文原文为准。
求助全文
约1分钟内获得全文 求助全文
来源期刊
自引率
0.00%
发文量
218
审稿时长
13 weeks
×
引用
GB/T 7714-2015
复制
MLA
复制
APA
复制
导出至
BibTeX EndNote RefMan NoteFirst NoteExpress
×
提示
您的信息不完整,为了账户安全,请先补充。
现在去补充
×
提示
您因"违规操作"
具体请查看互助需知
我知道了
×
提示
确定
请完成安全验证×
copy
已复制链接
快去分享给好友吧!
我知道了
右上角分享
点击右上角分享
0
联系我们:info@booksci.cn Book学术提供免费学术资源搜索服务,方便国内外学者检索中英文文献。致力于提供最便捷和优质的服务体验。 Copyright © 2023 布克学术 All rights reserved.
京ICP备2023020795号-1
ghs 京公网安备 11010802042870号
Book学术文献互助
Book学术文献互助群
群 号:604180095
Book学术官方微信