PLIN2: a potential prognostic markers of early-stage atypical endometrial hyperplasia.

IF 3.7 2区 医学 Q1 OBSTETRICS & GYNECOLOGY
Journal of Gynecologic Oncology Pub Date : 2025-09-01 Epub Date: 2025-03-04 DOI:10.3802/jgo.2025.36.e84
Chao Lian, Minling He, Chengcheng Zhao, Tianming Wang, Fang Tong, Jianquan Chen, Rong Ju
{"title":"PLIN2: a potential prognostic markers of early-stage atypical endometrial hyperplasia.","authors":"Chao Lian, Minling He, Chengcheng Zhao, Tianming Wang, Fang Tong, Jianquan Chen, Rong Ju","doi":"10.3802/jgo.2025.36.e84","DOIUrl":null,"url":null,"abstract":"<p><strong>Objective: </strong>In the background of endometrial hyperplasia triggered by obesity and estrogen, could the perilipin 2 (PLIN2) serve as a possible prognostic marker for early atypical endometrial hyperplasia (AEH)?</p><p><strong>Methods: </strong>A retrospective study examined blood lipid levels in endometrial cancer (EC) or AEH patients. An AEH mice model was established administrating with estradiol and/or high-fat (HF) diet. Hematoxylin and eosin staining were employed to assess pathological changes in the endometrium. Immunohistochemical staining were employed to evaluate the expression of adipose metabolism and endometrial hyperplasia proteins. The Cell Counting Kit-8 assay, cell colony-forming assays, and western blotting were utilized to verify the impact of oleic acid (OA) on HEC-1A cells.</p><p><strong>Results: </strong>The retrospective study revealed elevated blood lipid levels among patients with EC or AEH. Prolonged HF diet stimulated the endometrium to exhibit features of complex atypical hyperplasia. In the early stage, PLIN2 (p=0.006) expression significantly increased with endometrial glandular hyperplasia. Both PLIN2 (p=0.008) and progesterone receptor (PR; p=0.019) exhibited elevated expression concurrent with simple endometrial hyperplasia. When AEH occurred, there were notable rise in the expression of PLIN2 (p<0.001), PR (p=0.044), and estrogen receptor (p=0.045). The atypical hyperplasia glands demonstrated notably elevated PLIN2 expression in comparison to surrounding normal glands in AEH lesions. OA was found to enhance the proliferation and clonal formation of HEC-1A cells. HEC-1A cells induced by OA demonstrated elevated autophagy levels accompanied by enhanced expression of PLIN2.</p><p><strong>Conclusion: </strong>PLIN2 may potentially serve as a biomarker for early development of AEH and EC, facilitating diagnosis and intervention and contributing to the determination of prognosis.</p>","PeriodicalId":15868,"journal":{"name":"Journal of Gynecologic Oncology","volume":" ","pages":"e84"},"PeriodicalIF":3.7000,"publicationDate":"2025-09-01","publicationTypes":"Journal Article","fieldsOfStudy":null,"isOpenAccess":false,"openAccessPdf":"https://www.ncbi.nlm.nih.gov/pmc/articles/PMC12426750/pdf/","citationCount":"0","resultStr":null,"platform":"Semanticscholar","paperid":null,"PeriodicalName":"Journal of Gynecologic Oncology","FirstCategoryId":"3","ListUrlMain":"https://doi.org/10.3802/jgo.2025.36.e84","RegionNum":2,"RegionCategory":"医学","ArticlePicture":[],"TitleCN":null,"AbstractTextCN":null,"PMCID":null,"EPubDate":"2025/3/4 0:00:00","PubModel":"Epub","JCR":"Q1","JCRName":"OBSTETRICS & GYNECOLOGY","Score":null,"Total":0}
引用次数: 0

Abstract

Objective: In the background of endometrial hyperplasia triggered by obesity and estrogen, could the perilipin 2 (PLIN2) serve as a possible prognostic marker for early atypical endometrial hyperplasia (AEH)?

Methods: A retrospective study examined blood lipid levels in endometrial cancer (EC) or AEH patients. An AEH mice model was established administrating with estradiol and/or high-fat (HF) diet. Hematoxylin and eosin staining were employed to assess pathological changes in the endometrium. Immunohistochemical staining were employed to evaluate the expression of adipose metabolism and endometrial hyperplasia proteins. The Cell Counting Kit-8 assay, cell colony-forming assays, and western blotting were utilized to verify the impact of oleic acid (OA) on HEC-1A cells.

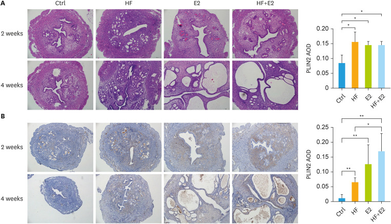
Results: The retrospective study revealed elevated blood lipid levels among patients with EC or AEH. Prolonged HF diet stimulated the endometrium to exhibit features of complex atypical hyperplasia. In the early stage, PLIN2 (p=0.006) expression significantly increased with endometrial glandular hyperplasia. Both PLIN2 (p=0.008) and progesterone receptor (PR; p=0.019) exhibited elevated expression concurrent with simple endometrial hyperplasia. When AEH occurred, there were notable rise in the expression of PLIN2 (p<0.001), PR (p=0.044), and estrogen receptor (p=0.045). The atypical hyperplasia glands demonstrated notably elevated PLIN2 expression in comparison to surrounding normal glands in AEH lesions. OA was found to enhance the proliferation and clonal formation of HEC-1A cells. HEC-1A cells induced by OA demonstrated elevated autophagy levels accompanied by enhanced expression of PLIN2.

Conclusion: PLIN2 may potentially serve as a biomarker for early development of AEH and EC, facilitating diagnosis and intervention and contributing to the determination of prognosis.

Abstract Image

Abstract Image

Abstract Image

PLIN2:早期非典型子宫内膜增生症的潜在预后标志物。
目的:在肥胖和雌激素引发子宫内膜增生的背景下,periilipin 2 (PLIN2)是否可以作为早期非典型子宫内膜增生(AEH)的预后指标?方法:回顾性研究子宫内膜癌(EC)或AEH患者的血脂水平。采用雌二醇和/或高脂(HF)饲料建立AEH小鼠模型。采用苏木精和伊红染色评估子宫内膜的病理变化。采用免疫组化染色法检测脂肪代谢和子宫内膜增生蛋白的表达。利用细胞计数试剂盒-8实验、细胞集落形成实验和免疫印迹法验证油酸(OA)对HEC-1A细胞的影响。结果:回顾性研究显示EC或AEH患者血脂水平升高。长期HF饮食刺激子宫内膜表现出复杂的非典型增生特征。在早期,PLIN2 (p=0.006)表达随子宫内膜腺增生而显著升高。PLIN2 (p=0.008)和孕激素受体(PR;P =0.019)表达升高并伴有单纯子宫内膜增生。结论:PLIN2可能作为AEH和EC早期发展的生物标志物,有助于诊断和干预,有助于判断预后。
本文章由计算机程序翻译,如有差异,请以英文原文为准。
求助全文
约1分钟内获得全文 求助全文
来源期刊
Journal of Gynecologic Oncology
Journal of Gynecologic Oncology ONCOLOGY-OBSTETRICS & GYNECOLOGY
CiteScore
6.00
自引率
2.60%
发文量
84
审稿时长
>12 weeks
期刊介绍: The Journal of Gynecologic Oncology (JGO) is an official publication of the Asian Society of Gynecologic Oncology. Abbreviated title is ''J Gynecol Oncol''. It was launched in 1990. The JGO''s aim is to publish the highest quality manuscripts dedicated to the advancement of care of the patients with gynecologic cancer. It is an international peer-reviewed periodical journal that is published bimonthly (January, March, May, July, September, and November). Supplement numbers are at times published. The journal publishes editorials, original and review articles, correspondence, book review, etc.
×
引用
GB/T 7714-2015
复制
MLA
复制
APA
复制
导出至
BibTeX EndNote RefMan NoteFirst NoteExpress
×
提示
您的信息不完整,为了账户安全,请先补充。
现在去补充
×
提示
您因"违规操作"
具体请查看互助需知
我知道了
×
提示
确定
请完成安全验证×
copy
已复制链接
快去分享给好友吧!
我知道了
右上角分享
点击右上角分享
0
联系我们:info@booksci.cn Book学术提供免费学术资源搜索服务,方便国内外学者检索中英文文献。致力于提供最便捷和优质的服务体验。 Copyright © 2023 布克学术 All rights reserved.
京ICP备2023020795号-1
ghs 京公网安备 11010802042870号
Book学术文献互助
Book学术文献互助群
群 号:604180095
Book学术官方微信
小红书