Effects of borneol on apoptosis of hypoxia/reoxygenation H9c2 cells and myocardial ischemia-reperfusion injury rats.

IF 1.3
Acta cirurgica brasileira Pub Date : 2025-03-14 eCollection Date: 2025-01-01 DOI:10.1590/acb402225
Hui Zhang, Junfang Dong, Jianwu Zhang, Hongxue Chen, Ting Liu, Ruixue Gan, Jing Wen, Yangyou Li
{"title":"Effects of borneol on apoptosis of hypoxia/reoxygenation H9c2 cells and myocardial ischemia-reperfusion injury rats.","authors":"Hui Zhang, Junfang Dong, Jianwu Zhang, Hongxue Chen, Ting Liu, Ruixue Gan, Jing Wen, Yangyou Li","doi":"10.1590/acb402225","DOIUrl":null,"url":null,"abstract":"<p><strong>Purpose: </strong>To explore the protective effects of borneol in myocardial ischemia-reperfusion injury (MIRI) and the mechanism of apoptosis.</p><p><strong>Methods: </strong>Cell viability was detected by CCK-8. The total superoxide dismutase (T-SOD) and lactate dehydrogenase (LDH) leakage of cells were tested by biochemical assay kit. Detection of apoptosis was by flow cytometry. Serum levels of creatine kinase isoenzyme MB (CK-MB), LDH, and cardiac troponin I (cTnI) were detected by enzyme-linked immunosorbent assay. Myocardial infarction area and pathological changes were observed via 2,3,5-triphenyltetrazolium chloride (TTC) staining and hematoxylin and eosin staining. The expressions of apoptosis-related proteins in cells and myocardial tissues were detected by Western blot.</p><p><strong>Results: </strong>H9c2 cell viability was significantly increased by pretreatment with 16 and 32 μg/mL of borneol. Borneol pretreatment significantly increased the T-SOD levels and reduced LDH leakage and apoptosis. In MIRI rats, borneol pretreatment significantly reduced serum levels of CK-MB, LDH and cTnI, decreased myocardial infarction area, and improved myocardial injury in different degree. Western blot results showed that borneol pretreatment significantly reduced the expression of Bcl-2-associated X protein (Bax) and Cysteine-aspartate protease-3 (Caspase-3) in cells and myocardial tissues of rats.</p><p><strong>Conclusion: </strong>Borneol can protect myocardial injury cells and mitigate MIRI by inhibiting cardiomyocyte apoptosis.</p>","PeriodicalId":93850,"journal":{"name":"Acta cirurgica brasileira","volume":"40 ","pages":"e402225"},"PeriodicalIF":1.3000,"publicationDate":"2025-03-14","publicationTypes":"Journal Article","fieldsOfStudy":null,"isOpenAccess":false,"openAccessPdf":"https://www.ncbi.nlm.nih.gov/pmc/articles/PMC11908740/pdf/","citationCount":"0","resultStr":null,"platform":"Semanticscholar","paperid":null,"PeriodicalName":"Acta cirurgica brasileira","FirstCategoryId":"1085","ListUrlMain":"https://doi.org/10.1590/acb402225","RegionNum":0,"RegionCategory":null,"ArticlePicture":[],"TitleCN":null,"AbstractTextCN":null,"PMCID":null,"EPubDate":"2025/1/1 0:00:00","PubModel":"eCollection","JCR":"","JCRName":"","Score":null,"Total":0}
引用次数: 0

Abstract

Purpose: To explore the protective effects of borneol in myocardial ischemia-reperfusion injury (MIRI) and the mechanism of apoptosis.

Methods: Cell viability was detected by CCK-8. The total superoxide dismutase (T-SOD) and lactate dehydrogenase (LDH) leakage of cells were tested by biochemical assay kit. Detection of apoptosis was by flow cytometry. Serum levels of creatine kinase isoenzyme MB (CK-MB), LDH, and cardiac troponin I (cTnI) were detected by enzyme-linked immunosorbent assay. Myocardial infarction area and pathological changes were observed via 2,3,5-triphenyltetrazolium chloride (TTC) staining and hematoxylin and eosin staining. The expressions of apoptosis-related proteins in cells and myocardial tissues were detected by Western blot.

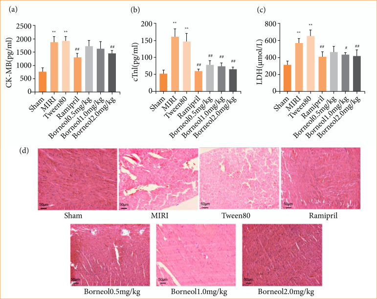
Results: H9c2 cell viability was significantly increased by pretreatment with 16 and 32 μg/mL of borneol. Borneol pretreatment significantly increased the T-SOD levels and reduced LDH leakage and apoptosis. In MIRI rats, borneol pretreatment significantly reduced serum levels of CK-MB, LDH and cTnI, decreased myocardial infarction area, and improved myocardial injury in different degree. Western blot results showed that borneol pretreatment significantly reduced the expression of Bcl-2-associated X protein (Bax) and Cysteine-aspartate protease-3 (Caspase-3) in cells and myocardial tissues of rats.

Conclusion: Borneol can protect myocardial injury cells and mitigate MIRI by inhibiting cardiomyocyte apoptosis.

Abstract Image

Abstract Image

Abstract Image

冰片对缺氧/再氧合H9c2细胞凋亡及心肌缺血再灌注损伤的影响。
目的:探讨冰片对心肌缺血再灌注损伤(MIRI)的保护作用及凋亡机制。方法:采用CCK-8法检测细胞活力。采用生化检测试剂盒检测细胞总超氧化物歧化酶(T-SOD)和乳酸脱氢酶(LDH)渗漏。流式细胞术检测细胞凋亡。采用酶联免疫吸附法检测血清肌酸激酶同工酶MB (CK-MB)、LDH和心肌肌钙蛋白I (cTnI)水平。采用2,3,5-三苯基四氯化铵(TTC)染色和苏木精、伊红染色观察心肌梗死面积及病理变化。Western blot检测细胞和心肌组织中凋亡相关蛋白的表达。结果:16、32 μg/mL冰片预处理能显著提高H9c2细胞活力。冰片预处理可显著提高T-SOD水平,减少LDH渗漏和细胞凋亡。在MIRI大鼠中,冰片预处理可显著降低血清CK-MB、LDH、cTnI水平,减少心肌梗死面积,不同程度改善心肌损伤。Western blot结果显示,冰片预处理显著降低大鼠细胞和心肌组织中bcl -2相关X蛋白(Bax)和半胱氨酸-天冬氨酸蛋白酶-3 (Caspase-3)的表达。结论:冰片对心肌损伤细胞具有保护作用,可通过抑制心肌细胞凋亡减轻MIRI。
本文章由计算机程序翻译,如有差异,请以英文原文为准。
求助全文
约1分钟内获得全文 求助全文
来源期刊
自引率
0.00%
发文量
0
×
引用
GB/T 7714-2015
复制
MLA
复制
APA
复制
导出至
BibTeX EndNote RefMan NoteFirst NoteExpress
×
提示
您的信息不完整,为了账户安全,请先补充。
现在去补充
×
提示
您因"违规操作"
具体请查看互助需知
我知道了
×
提示
确定
请完成安全验证×
copy
已复制链接
快去分享给好友吧!
我知道了
右上角分享
点击右上角分享
0
联系我们:info@booksci.cn Book学术提供免费学术资源搜索服务,方便国内外学者检索中英文文献。致力于提供最便捷和优质的服务体验。 Copyright © 2023 布克学术 All rights reserved.
京ICP备2023020795号-1
ghs 京公网安备 11010802042870号
Book学术文献互助
Book学术文献互助群
群 号:604180095
Book学术官方微信