Intraluminal unilateral ectopic ureter associated to ectopic ureterocele in a female dog - clinical, diagnostic and surgical aspects.

Brazilian journal of veterinary medicine Pub Date : 2025-03-18 eCollection Date: 2025-01-01 DOI:10.29374/2527-2179.bjvm008424
Daniel de Pinho Alves, Maria Eduarda Dos Santos Lopes Fernandes, Cecília Azevedo Dias Lopes, Thainá de Lima Risso, Mayara do Nascimento Trindade, Thais Marques Moreira, Isabela Scalioni Gijsen, Rodrigo Pereira da Costa Duarte
{"title":"Intraluminal unilateral ectopic ureter associated to ectopic ureterocele in a female dog - clinical, diagnostic and surgical aspects.","authors":"Daniel de Pinho Alves, Maria Eduarda Dos Santos Lopes Fernandes, Cecília Azevedo Dias Lopes, Thainá de Lima Risso, Mayara do Nascimento Trindade, Thais Marques Moreira, Isabela Scalioni Gijsen, Rodrigo Pereira da Costa Duarte","doi":"10.29374/2527-2179.bjvm008424","DOIUrl":null,"url":null,"abstract":"<p><p>Ureteral ectopia is a congenital malformation characterized by the abnormal location of the distal aspect of one or both ureters, being classified according to its anatomical path as intramural or extramural. The most common clinical sign is urinary incontinence. The presence of other associated urogenital anomalies, such as hydroureter, hydronephrosis and ureterocele are possible, being the last one a rare condition characterized as a cystic dilation of the submucosal layer of the distal ureter. The diagnosis is based on patient history, clinical signs and imaging exams. Treatment consists in surgical correction, with the technique variating according to the condition classification, and the prognosis is favorable, however most animals remain incontinent. This paper objective to report the diagnostic and clinical surgical conduction of intramural unilateral ectopic ureter correction associated to ectopic ureterocele in a Siberian Husky, 7-months-old, attended at Veterinary Hospital of Federal Rural University of Rio de Janeiro with complaint of urinary incontinence and clinical history of bacterial cystitis. The diagnosis of intramural unilateral ectopia associated with ureterocele was obtained through abdominal ultrasound and excretory urography, being confirmed with surgery. The surgical technique performed was neoureterostomy, and there were no trans or post-surgical intercurrence. Despite maintenance of the ureterocele and right ureter and renal pelvis dilation two days after surgery, observed during abdominal ultrasound, these alterations has positive evolution one week after the surgical procedure. Patient presented significant improvement of urinary incontinence two months after surgery.</p>","PeriodicalId":72458,"journal":{"name":"Brazilian journal of veterinary medicine","volume":"47 ","pages":"e008424"},"PeriodicalIF":0.0000,"publicationDate":"2025-03-18","publicationTypes":"Journal Article","fieldsOfStudy":null,"isOpenAccess":false,"openAccessPdf":"https://www.ncbi.nlm.nih.gov/pmc/articles/PMC11919245/pdf/","citationCount":"0","resultStr":null,"platform":"Semanticscholar","paperid":null,"PeriodicalName":"Brazilian journal of veterinary medicine","FirstCategoryId":"1085","ListUrlMain":"https://doi.org/10.29374/2527-2179.bjvm008424","RegionNum":0,"RegionCategory":null,"ArticlePicture":[],"TitleCN":null,"AbstractTextCN":null,"PMCID":null,"EPubDate":"2025/1/1 0:00:00","PubModel":"eCollection","JCR":"","JCRName":"","Score":null,"Total":0}
引用次数: 0

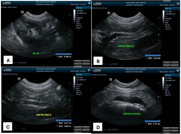
Abstract

Ureteral ectopia is a congenital malformation characterized by the abnormal location of the distal aspect of one or both ureters, being classified according to its anatomical path as intramural or extramural. The most common clinical sign is urinary incontinence. The presence of other associated urogenital anomalies, such as hydroureter, hydronephrosis and ureterocele are possible, being the last one a rare condition characterized as a cystic dilation of the submucosal layer of the distal ureter. The diagnosis is based on patient history, clinical signs and imaging exams. Treatment consists in surgical correction, with the technique variating according to the condition classification, and the prognosis is favorable, however most animals remain incontinent. This paper objective to report the diagnostic and clinical surgical conduction of intramural unilateral ectopic ureter correction associated to ectopic ureterocele in a Siberian Husky, 7-months-old, attended at Veterinary Hospital of Federal Rural University of Rio de Janeiro with complaint of urinary incontinence and clinical history of bacterial cystitis. The diagnosis of intramural unilateral ectopia associated with ureterocele was obtained through abdominal ultrasound and excretory urography, being confirmed with surgery. The surgical technique performed was neoureterostomy, and there were no trans or post-surgical intercurrence. Despite maintenance of the ureterocele and right ureter and renal pelvis dilation two days after surgery, observed during abdominal ultrasound, these alterations has positive evolution one week after the surgical procedure. Patient presented significant improvement of urinary incontinence two months after surgery.

Abstract Image

Abstract Image

Abstract Image

犬腔内单侧输尿管异位伴输尿管囊肿:临床、诊断及手术方面。
输尿管异位是一种以一侧或两侧输尿管远端位置异常为特征的先天性畸形,根据其解剖路径分为内输尿管和外输尿管。最常见的临床症状是尿失禁。存在其他相关的泌尿生殖异常,如输尿管积水、肾积水和输尿管囊肿是可能的,最后一种罕见的情况,其特征是输尿管远端粘膜下层的囊性扩张。诊断是基于病人的病史,临床症状和影像学检查。治疗包括手术矫正,技术根据病情分类而变化,预后良好,但大多数动物仍然失禁。本文旨在报道一只7月龄西伯利亚哈士奇因尿失禁和细菌性膀胱炎的临床病史而在巴西里约热内卢联邦农村大学兽医医院接受单侧异位输尿管内矫治合并异位输尿管囊肿的诊断和临床手术。通过腹部超声和排泄尿路造影诊断为腹壁内单侧异位合并输尿管膨出,并经手术证实。手术技术为神经输尿管造口术,无中转或术后干预。尽管术后2天输尿管膨出、右输尿管和肾盂扩张得以维持,在腹部超声检查中观察到,这些改变在术后1周呈阳性进展。术后2个月患者尿失禁症状明显改善。
本文章由计算机程序翻译,如有差异,请以英文原文为准。
求助全文
约1分钟内获得全文 求助全文
来源期刊
自引率
0.00%
发文量
0
×
引用
GB/T 7714-2015
复制
MLA
复制
APA
复制
导出至
BibTeX EndNote RefMan NoteFirst NoteExpress
×
提示
您的信息不完整,为了账户安全,请先补充。
现在去补充
×
提示
您因"违规操作"
具体请查看互助需知
我知道了
×
提示
确定
请完成安全验证×
copy
已复制链接
快去分享给好友吧!
我知道了
右上角分享
点击右上角分享
0
联系我们:info@booksci.cn Book学术提供免费学术资源搜索服务,方便国内外学者检索中英文文献。致力于提供最便捷和优质的服务体验。 Copyright © 2023 布克学术 All rights reserved.
京ICP备2023020795号-1
ghs 京公网安备 11010802042870号
Book学术文献互助
Book学术文献互助群
群 号:604180095
Book学术官方微信