Erector spinae plane block spread patterns and its analgesic effects after computed tomography-guided hepatic tumour ablation: a randomized double-blind trial.

IF 4.3
Annals of medicine Pub Date : 2025-12-01 Epub Date: 2025-03-19 DOI:10.1080/07853890.2025.2480255
Wei-Han Chou, Wen-Yun Niu, Po-Chin Liang, Shih-Han Lin, Jen-Ting Yang, Chih-Peng Lin, Ming-Shiang Wu, Chun-Yu Wu
{"title":"Erector spinae plane block spread patterns and its analgesic effects after computed tomography-guided hepatic tumour ablation: a randomized double-blind trial.","authors":"Wei-Han Chou, Wen-Yun Niu, Po-Chin Liang, Shih-Han Lin, Jen-Ting Yang, Chih-Peng Lin, Ming-Shiang Wu, Chun-Yu Wu","doi":"10.1080/07853890.2025.2480255","DOIUrl":null,"url":null,"abstract":"<p><strong>Introduction: </strong>Spread patterns of the erector spinae plane block (ESPB) in a larger cohort of living subjects remain inadequately understood. This study investigated the spread of local anaesthetics or saline with contrast in patients undergoing computed tomography-guided radiofrequency ablation of hepatic tumours.</p><p><strong>Patients and methods: </strong>Thirty patients participated in a double-blinded randomized controlled trial, 14 April 2021 and 18 January 2023. These patients were randomized into two groups: the ESPB group, which received local anaesthetic with contrast, and the sham group, which received saline with contrast. The spread of the drug was assessed regarding vertebral levels and its correlation with the patient characteristics. Pain intensity and morphine consumption were also evaluated.</p><p><strong>Results: </strong>The ESPB consistently spread cranio-caudally to the dorsal erector spinae muscle in all patients, with a median (IQR) spread of 9 (8-11) vertebral levels, and to the intercostal space with a median (IQR) spread of 4 (3-6) vertebral levels. Paravertebral spread occurred in 90% of patients (27 out of 30) with a median (IQR) spread of 3 (2-5) vertebral levels, while epidural spread was observed in 36.7% of patients (11 out of 30) with a median (IQR) spread of 0 (0-2) vertebral levels. Cranio-caudal spread negatively correlated with back muscle thickness (<i>r</i>= -0.4; <i>p</i> = 0.035), and females exhibited significantly more intercostal spread levels than males (5.8 ± 1.0 vs. 4.3 ± 1.6 levels in females and males, respectively; <i>p</i> = 0.021). However, no significant difference was found in pain intensity and morphine consumption between the two study groups.</p><p><strong>Conclusion: </strong>This study provides insights into the drug spread patterns of ESPB in living subjects. However, a unilateral ESPB did not yield sufficient analgesic effects for radiofrequency ablation of hepatic tumours.</p>","PeriodicalId":93874,"journal":{"name":"Annals of medicine","volume":"57 1","pages":"2480255"},"PeriodicalIF":4.3000,"publicationDate":"2025-12-01","publicationTypes":"Journal Article","fieldsOfStudy":null,"isOpenAccess":false,"openAccessPdf":"https://www.ncbi.nlm.nih.gov/pmc/articles/PMC11924262/pdf/","citationCount":"0","resultStr":null,"platform":"Semanticscholar","paperid":null,"PeriodicalName":"Annals of medicine","FirstCategoryId":"1085","ListUrlMain":"https://doi.org/10.1080/07853890.2025.2480255","RegionNum":0,"RegionCategory":null,"ArticlePicture":[],"TitleCN":null,"AbstractTextCN":null,"PMCID":null,"EPubDate":"2025/3/19 0:00:00","PubModel":"Epub","JCR":"","JCRName":"","Score":null,"Total":0}
引用次数: 0

Abstract

Introduction: Spread patterns of the erector spinae plane block (ESPB) in a larger cohort of living subjects remain inadequately understood. This study investigated the spread of local anaesthetics or saline with contrast in patients undergoing computed tomography-guided radiofrequency ablation of hepatic tumours.

Patients and methods: Thirty patients participated in a double-blinded randomized controlled trial, 14 April 2021 and 18 January 2023. These patients were randomized into two groups: the ESPB group, which received local anaesthetic with contrast, and the sham group, which received saline with contrast. The spread of the drug was assessed regarding vertebral levels and its correlation with the patient characteristics. Pain intensity and morphine consumption were also evaluated.

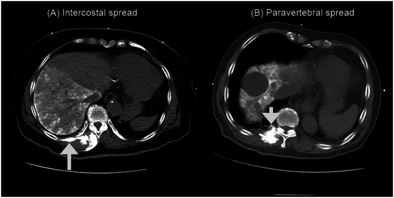
Results: The ESPB consistently spread cranio-caudally to the dorsal erector spinae muscle in all patients, with a median (IQR) spread of 9 (8-11) vertebral levels, and to the intercostal space with a median (IQR) spread of 4 (3-6) vertebral levels. Paravertebral spread occurred in 90% of patients (27 out of 30) with a median (IQR) spread of 3 (2-5) vertebral levels, while epidural spread was observed in 36.7% of patients (11 out of 30) with a median (IQR) spread of 0 (0-2) vertebral levels. Cranio-caudal spread negatively correlated with back muscle thickness (r= -0.4; p = 0.035), and females exhibited significantly more intercostal spread levels than males (5.8 ± 1.0 vs. 4.3 ± 1.6 levels in females and males, respectively; p = 0.021). However, no significant difference was found in pain intensity and morphine consumption between the two study groups.

Conclusion: This study provides insights into the drug spread patterns of ESPB in living subjects. However, a unilateral ESPB did not yield sufficient analgesic effects for radiofrequency ablation of hepatic tumours.

Abstract Image

Abstract Image

Abstract Image

ct引导下肝肿瘤消融后竖脊平面阻滞扩散模式及其镇痛作用:一项随机双盲试验。
导语:直立脊柱平面阻滞(ESPB)在较大人群中的分布模式尚不清楚。本研究探讨了局部麻醉剂或生理盐水与造影剂在接受计算机断层扫描引导的肝肿瘤射频消融术患者中的扩散。患者和方法:30名患者参加了2021年4月14日和2023年1月18日的双盲随机对照试验。这些患者被随机分为两组:ESPB组接受局部麻醉和造影剂,假手术组接受生理盐水和造影剂。根据椎体水平及其与患者特征的相关性评估药物的扩散。疼痛强度和吗啡用量也进行了评估。结果:ESPB在所有患者中一致地沿颅尾向背竖脊肌扩散,中位(IQR)扩散为9(8-11)个椎体水平,并向肋间隙扩散,中位(IQR)扩散为4(3-6)个椎体水平。椎旁扩散发生在90%(27 / 30)中位(IQR)扩散为3(2-5)个椎体水平的患者中,而硬膜外扩散发生在36.7%(11 / 30)中位(IQR)扩散为0(0-2)个椎体水平的患者中。颅尾扩张与背部肌肉厚度呈负相关(r= -0.4;P = 0.035),且女性的肋间扩散水平显著高于男性(分别为5.8±1.0比4.3±1.6);p = 0.021)。然而,两个研究组在疼痛强度和吗啡用量方面没有发现显著差异。结论:本研究揭示了ESPB在活体中的药物传播模式。然而,单侧ESPB对肝肿瘤射频消融没有足够的镇痛效果。
本文章由计算机程序翻译,如有差异,请以英文原文为准。
求助全文
约1分钟内获得全文 求助全文
来源期刊
自引率
0.00%
发文量
0
×
引用
GB/T 7714-2015
复制
MLA
复制
APA
复制
导出至
BibTeX EndNote RefMan NoteFirst NoteExpress
×
提示
您的信息不完整,为了账户安全,请先补充。
现在去补充
×
提示
您因"违规操作"
具体请查看互助需知
我知道了
×
提示
确定
请完成安全验证×
copy
已复制链接
快去分享给好友吧!
我知道了
右上角分享
点击右上角分享
0
联系我们:info@booksci.cn Book学术提供免费学术资源搜索服务,方便国内外学者检索中英文文献。致力于提供最便捷和优质的服务体验。 Copyright © 2023 布克学术 All rights reserved.
京ICP备2023020795号-1
ghs 京公网安备 11010802042870号
Book学术文献互助
Book学术文献互助群
群 号:604180095
Book学术官方微信