Nodular vulvar lesions and its key differential diagnoses: a case report.

IF 0.9 Q2 MEDICINE, GENERAL & INTERNAL
Einstein-Sao Paulo Pub Date : 2025-03-17 eCollection Date: 2025-01-01 DOI:10.31744/einstein_journal/2025RC0362
Juliana Jorge Romano, Fernanda Kesselring Tso, Yasmin Cristina Cesquim Noronha, Julizia Foloni May, Mariano Tamura Vieira Gomes, Sérgio Podgaec, Patricia Napoli Belfort-Mattos
{"title":"Nodular vulvar lesions and its key differential diagnoses: a case report.","authors":"Juliana Jorge Romano, Fernanda Kesselring Tso, Yasmin Cristina Cesquim Noronha, Julizia Foloni May, Mariano Tamura Vieira Gomes, Sérgio Podgaec, Patricia Napoli Belfort-Mattos","doi":"10.31744/einstein_journal/2025RC0362","DOIUrl":null,"url":null,"abstract":"<p><p>The etiologies of vulvar nodules range from infectious to neoplastic. Owing to the wide spectrum of vulvar diseases, clinical differentiation of the lesions is crucial for adequate diagnosis and management. A 46-year-old patient presented with a nodular lesion in the vulvar region that had been growing slowly for 10 years. Gynecological examination revealed the presence of a solid nodular lesion measuring approximately 3 cm in the middle third of the right labia majora without phlogistic signs or secretion discharge. The lesion was excised and an anatomopathological study revealed a nodular hidradenoma. Nodular hidradenoma is a rare benign neoplasm of the apocrine glands that mainly affects women between 30 and 60 years of age. Although generally asymptomatic, some symptoms have been described, such as itching, pain, ulceration, or secretory discharge. The diagnosis was made by an anatomopathological study, and treatment consisted of total excision of the lesion without the need to enlarge the margin. During the investigation, malignant lesions such as liposarcoma of the vulvar region and non-melanoma skin cancers were excluded. Differential diagnosis is important because it requires a more invasive approach and surgical margins. This report aimed to expand the knowledge of the diagnosis of vulvar hidradenoma to exclude the possibility of malignant neoplasia while caring for vulvar nodules, thereby allowing proper management of the case.</p>","PeriodicalId":47359,"journal":{"name":"Einstein-Sao Paulo","volume":"23 ","pages":"eRC0362"},"PeriodicalIF":0.9000,"publicationDate":"2025-03-17","publicationTypes":"Journal Article","fieldsOfStudy":null,"isOpenAccess":false,"openAccessPdf":"https://www.ncbi.nlm.nih.gov/pmc/articles/PMC11908745/pdf/","citationCount":"0","resultStr":null,"platform":"Semanticscholar","paperid":null,"PeriodicalName":"Einstein-Sao Paulo","FirstCategoryId":"1085","ListUrlMain":"https://doi.org/10.31744/einstein_journal/2025RC0362","RegionNum":0,"RegionCategory":null,"ArticlePicture":[],"TitleCN":null,"AbstractTextCN":null,"PMCID":null,"EPubDate":"2025/1/1 0:00:00","PubModel":"eCollection","JCR":"Q2","JCRName":"MEDICINE, GENERAL & INTERNAL","Score":null,"Total":0}
引用次数: 0

Abstract

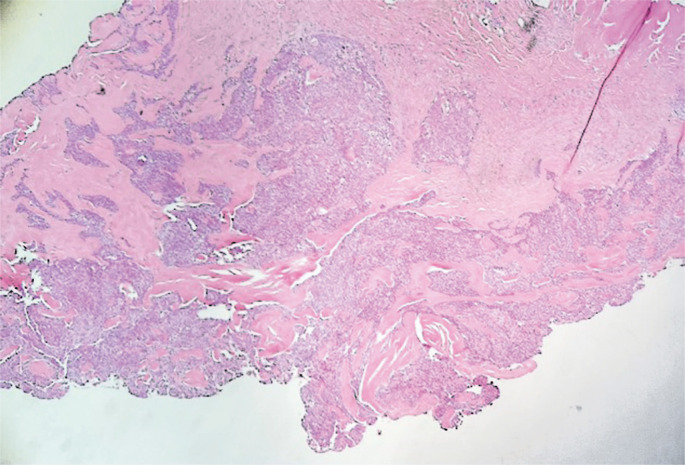
The etiologies of vulvar nodules range from infectious to neoplastic. Owing to the wide spectrum of vulvar diseases, clinical differentiation of the lesions is crucial for adequate diagnosis and management. A 46-year-old patient presented with a nodular lesion in the vulvar region that had been growing slowly for 10 years. Gynecological examination revealed the presence of a solid nodular lesion measuring approximately 3 cm in the middle third of the right labia majora without phlogistic signs or secretion discharge. The lesion was excised and an anatomopathological study revealed a nodular hidradenoma. Nodular hidradenoma is a rare benign neoplasm of the apocrine glands that mainly affects women between 30 and 60 years of age. Although generally asymptomatic, some symptoms have been described, such as itching, pain, ulceration, or secretory discharge. The diagnosis was made by an anatomopathological study, and treatment consisted of total excision of the lesion without the need to enlarge the margin. During the investigation, malignant lesions such as liposarcoma of the vulvar region and non-melanoma skin cancers were excluded. Differential diagnosis is important because it requires a more invasive approach and surgical margins. This report aimed to expand the knowledge of the diagnosis of vulvar hidradenoma to exclude the possibility of malignant neoplasia while caring for vulvar nodules, thereby allowing proper management of the case.

Abstract Image

Abstract Image

外阴结节性病变及其关键鉴别诊断1例。
外阴结节的病因从感染性到肿瘤性不等。由于外阴疾病的广泛性,病变的临床鉴别对于充分的诊断和治疗至关重要。一个46岁的病人提出了一个结节性病变在外阴区域已经缓慢增长了10年。妇科检查发现在右大阴唇中间三分之一处有一约3cm的实性结节状病变,无炎症征象或分泌物排出。病变被切除,解剖病理研究显示为结节性汗腺瘤。结节性汗腺瘤是一种罕见的大汗腺良性肿瘤,主要影响30至60岁的女性。虽然一般无症状,但也有一些症状,如瘙痒、疼痛、溃疡或分泌物排出。诊断是通过解剖病理学研究,治疗包括病灶的完全切除,而不需要扩大边缘。在调查过程中,排除了外阴区域脂肪肉瘤和非黑色素瘤皮肤癌等恶性病变。鉴别诊断很重要,因为它需要更有侵入性的入路和手术边缘。本报告旨在扩大外阴汗腺瘤的诊断知识,在照顾外阴结节的同时排除恶性肿瘤的可能性,从而使病例得到适当的处理。
本文章由计算机程序翻译,如有差异,请以英文原文为准。
求助全文
约1分钟内获得全文 求助全文
来源期刊
Einstein-Sao Paulo
Einstein-Sao Paulo MEDICINE, GENERAL & INTERNAL-
CiteScore
2.00
自引率
0.00%
发文量
210
审稿时长
38 weeks
×
引用
GB/T 7714-2015
复制
MLA
复制
APA
复制
导出至
BibTeX EndNote RefMan NoteFirst NoteExpress
×
提示
您的信息不完整,为了账户安全,请先补充。
现在去补充
×
提示
您因"违规操作"
具体请查看互助需知
我知道了
×
提示
确定
请完成安全验证×
copy
已复制链接
快去分享给好友吧!
我知道了
右上角分享
点击右上角分享
0
联系我们:info@booksci.cn Book学术提供免费学术资源搜索服务,方便国内外学者检索中英文文献。致力于提供最便捷和优质的服务体验。 Copyright © 2023 布克学术 All rights reserved.
京ICP备2023020795号-1
ghs 京公网安备 11010802042870号
Book学术文献互助
Book学术文献互助群
群 号:604180095
Book学术官方微信