Current perspectives on interstitial lung abnormalities.

IF 2.4 4区 医学 Q2 MEDICINE, GENERAL & INTERNAL
Ju Hyun Oh, Jin Woo Song
{"title":"Current perspectives on interstitial lung abnormalities.","authors":"Ju Hyun Oh, Jin Woo Song","doi":"10.3904/kjim.2024.335","DOIUrl":null,"url":null,"abstract":"<p><p>Interstitial lung abnormalities (ILAs) are early indicators of interstitial lung disease, often identified incidentally via computed tomography of the chest. This review explores the diagnostic criteria for ILAs as outlined by the Fleischner Society, highlights associated risk factors, examines their impact on patient outcomes, and discusses management strategies. The prevalence of ILAs varies significantly, ranging from 3% to 17% across populations. Key risk factors include advanced age, smoking status, and underlying genetic predispositions. Recent advancements in imaging analysis, particularly through automated quantitative systems, have enhanced the accuracy of ILA detection. Although often subtle in presentation, ILAs hold clinical significance due to their associations with impaired lung function, progressive fibrosis, and increased mortality. Therefore, monitoring and management plans should be individualized to the risk profile of patients. Further studies are needed to refine ILA diagnostic criteria, enhance our understanding of their clinical implications, and establish optimal timing for therapeutic interventions.</p>","PeriodicalId":48785,"journal":{"name":"Korean Journal of Internal Medicine","volume":"40 2","pages":"208-218"},"PeriodicalIF":2.4000,"publicationDate":"2025-03-01","publicationTypes":"Journal Article","fieldsOfStudy":null,"isOpenAccess":false,"openAccessPdf":"https://www.ncbi.nlm.nih.gov/pmc/articles/PMC11938663/pdf/","citationCount":"0","resultStr":null,"platform":"Semanticscholar","paperid":null,"PeriodicalName":"Korean Journal of Internal Medicine","FirstCategoryId":"3","ListUrlMain":"https://doi.org/10.3904/kjim.2024.335","RegionNum":4,"RegionCategory":"医学","ArticlePicture":[],"TitleCN":null,"AbstractTextCN":null,"PMCID":null,"EPubDate":"","PubModel":"","JCR":"Q2","JCRName":"MEDICINE, GENERAL & INTERNAL","Score":null,"Total":0}
引用次数: 0

Abstract

Interstitial lung abnormalities (ILAs) are early indicators of interstitial lung disease, often identified incidentally via computed tomography of the chest. This review explores the diagnostic criteria for ILAs as outlined by the Fleischner Society, highlights associated risk factors, examines their impact on patient outcomes, and discusses management strategies. The prevalence of ILAs varies significantly, ranging from 3% to 17% across populations. Key risk factors include advanced age, smoking status, and underlying genetic predispositions. Recent advancements in imaging analysis, particularly through automated quantitative systems, have enhanced the accuracy of ILA detection. Although often subtle in presentation, ILAs hold clinical significance due to their associations with impaired lung function, progressive fibrosis, and increased mortality. Therefore, monitoring and management plans should be individualized to the risk profile of patients. Further studies are needed to refine ILA diagnostic criteria, enhance our understanding of their clinical implications, and establish optimal timing for therapeutic interventions.

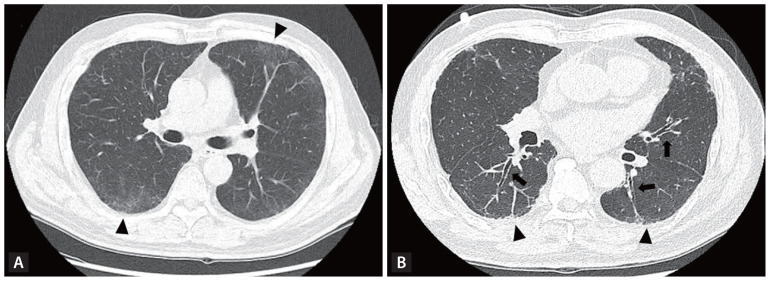
Abstract Image

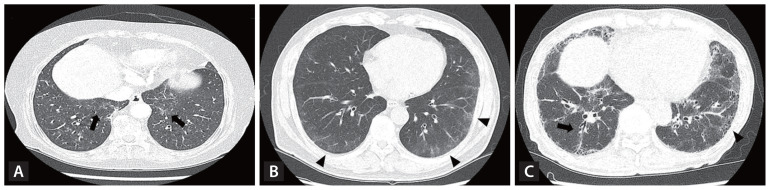
Abstract Image

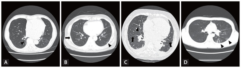
Abstract Image

间质性肺异常的当前观点。
间质性肺异常(ILAs)是间质性肺疾病的早期指标,通常通过胸部计算机断层扫描偶然发现。这篇综述探讨了由Fleischner协会概述的ILAs的诊断标准,强调了相关的风险因素,检查了它们对患者预后的影响,并讨论了管理策略。ILAs的患病率差异很大,在人群中从3%到17%不等。主要的危险因素包括高龄、吸烟状况和潜在的遗传倾向。成像分析的最新进展,特别是通过自动化定量系统,提高了ILA检测的准确性。尽管通常表现微妙,但由于与肺功能受损、进行性纤维化和死亡率增加有关,ILAs具有临床意义。因此,监测和管理计划应根据患者的风险概况进行个性化。需要进一步的研究来完善ILA的诊断标准,提高我们对其临床意义的理解,并建立治疗干预的最佳时机。
本文章由计算机程序翻译,如有差异,请以英文原文为准。
求助全文
约1分钟内获得全文 求助全文
来源期刊
Korean Journal of Internal Medicine
Korean Journal of Internal Medicine MEDICINE, GENERAL & INTERNAL-
CiteScore
5.10
自引率
4.20%
发文量
129
审稿时长
20 weeks
期刊介绍: The Korean Journal of Internal Medicine is an international medical journal published in English by the Korean Association of Internal Medicine. The Journal publishes peer-reviewed original articles, reviews, and editorials on all aspects of medicine, including clinical investigations and basic research. Both human and experimental animal studies are welcome, as are new findings on the epidemiology, pathogenesis, diagnosis, and treatment of diseases. Case reports will be published only in exceptional circumstances, when they illustrate a rare occurrence of clinical importance. Letters to the editor are encouraged for specific comments on published articles and general viewpoints.
×
引用
GB/T 7714-2015
复制
MLA
复制
APA
复制
导出至
BibTeX EndNote RefMan NoteFirst NoteExpress
×
提示
您的信息不完整,为了账户安全,请先补充。
现在去补充
×
提示
您因"违规操作"
具体请查看互助需知
我知道了
×
提示
确定
请完成安全验证×
copy
已复制链接
快去分享给好友吧!
我知道了
右上角分享
点击右上角分享
0
联系我们:info@booksci.cn Book学术提供免费学术资源搜索服务,方便国内外学者检索中英文文献。致力于提供最便捷和优质的服务体验。 Copyright © 2023 布克学术 All rights reserved.
京ICP备2023020795号-1
ghs 京公网安备 11010802042870号
Book学术文献互助
Book学术文献互助群
群 号:604180095
Book学术官方微信