Does CD47 expression have prognostic significance in classical Hodgkin lymphoma?

IF 1 4区 医学 Q2 MEDICINE, GENERAL & INTERNAL
Turkish Journal of Medical Sciences Pub Date : 2024-12-30 eCollection Date: 2025-01-01 DOI:10.55730/1300-0144.5958
Aydan Kiliçarslan, Gülnaz Kurt Çevik, Mehmet Doğan, Ayşegül Aksoy Altinboğa, Funda Ceran, Gülşah Efecik, Mine Bakanay Öztürk
{"title":"Does CD47 expression have prognostic significance in classical Hodgkin lymphoma?","authors":"Aydan Kiliçarslan, Gülnaz Kurt Çevik, Mehmet Doğan, Ayşegül Aksoy Altinboğa, Funda Ceran, Gülşah Efecik, Mine Bakanay Öztürk","doi":"10.55730/1300-0144.5958","DOIUrl":null,"url":null,"abstract":"<p><strong>Background/aim: </strong>Hodgkin lymphoma (HL) is highly treatable, but new chemotherapy agents are needed for patients with progression or recurrence. CD47 regulates antiphagocytic activity by signaling through the signal regulatory protein alpha (SIRPα) pathway on macrophages. This study aimed to assess the expression of CD47 in HL cases and explore its relationship with Epstein-Barr virus (EBV) status and the International Prognostic Index (IPI).</p><p><strong>Materials and methods: </strong>One hundred twenty patients diagnosed with classical HL, characterized by the presence of Hodgkin and Reed-Sternberg (HRS) cells, and for whom IPI scores were available were included. Their demographic data and EBV status were retrieved from hospital records. CD47 immunohistochemical expression in HRS cells was evaluated based on its prevalence and intensity. The product of these two values was used to calculate the CD47 expression score.</p><p><strong>Results: </strong>Of the 120 patients, 76 (63.33%) were male and 44 (36.66%) were female, with an average age of 38.77 years. EBV ISH test results were available for 93 patients, of which 48 (51.61%) were positive. CD47 expression was 67% on average, and patients were categorized based on CD47 expression scores of ≤6 and >6 and IPI scores of ≤2 and >2. No significant relationship was found between CD47 expression score and age (p: 0.990), sex (p: 0.086), EBV status (p: 0.374), or IPI score (p: 0.805). However, higher IPI scores were significantly associated with increased EBV positivity (p: 0.041).</p><p><strong>Conclusion: </strong>CD47 was widely expressed, but no significant relationship with clinical parameters was observed. Further studies are required to validate its role as a biomarker.</p>","PeriodicalId":23361,"journal":{"name":"Turkish Journal of Medical Sciences","volume":"55 1","pages":"203-208"},"PeriodicalIF":1.0000,"publicationDate":"2024-12-30","publicationTypes":"Journal Article","fieldsOfStudy":null,"isOpenAccess":false,"openAccessPdf":"https://www.ncbi.nlm.nih.gov/pmc/articles/PMC11913508/pdf/","citationCount":"0","resultStr":null,"platform":"Semanticscholar","paperid":null,"PeriodicalName":"Turkish Journal of Medical Sciences","FirstCategoryId":"3","ListUrlMain":"https://doi.org/10.55730/1300-0144.5958","RegionNum":4,"RegionCategory":"医学","ArticlePicture":[],"TitleCN":null,"AbstractTextCN":null,"PMCID":null,"EPubDate":"2025/1/1 0:00:00","PubModel":"eCollection","JCR":"Q2","JCRName":"MEDICINE, GENERAL & INTERNAL","Score":null,"Total":0}
引用次数: 0

Abstract

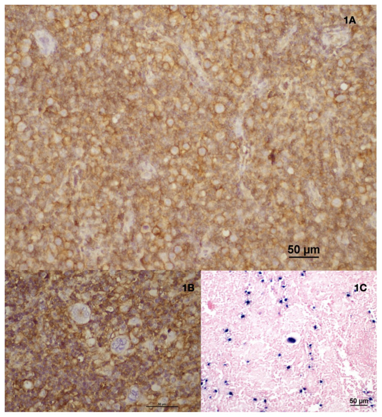
Background/aim: Hodgkin lymphoma (HL) is highly treatable, but new chemotherapy agents are needed for patients with progression or recurrence. CD47 regulates antiphagocytic activity by signaling through the signal regulatory protein alpha (SIRPα) pathway on macrophages. This study aimed to assess the expression of CD47 in HL cases and explore its relationship with Epstein-Barr virus (EBV) status and the International Prognostic Index (IPI).

Materials and methods: One hundred twenty patients diagnosed with classical HL, characterized by the presence of Hodgkin and Reed-Sternberg (HRS) cells, and for whom IPI scores were available were included. Their demographic data and EBV status were retrieved from hospital records. CD47 immunohistochemical expression in HRS cells was evaluated based on its prevalence and intensity. The product of these two values was used to calculate the CD47 expression score.

Results: Of the 120 patients, 76 (63.33%) were male and 44 (36.66%) were female, with an average age of 38.77 years. EBV ISH test results were available for 93 patients, of which 48 (51.61%) were positive. CD47 expression was 67% on average, and patients were categorized based on CD47 expression scores of ≤6 and >6 and IPI scores of ≤2 and >2. No significant relationship was found between CD47 expression score and age (p: 0.990), sex (p: 0.086), EBV status (p: 0.374), or IPI score (p: 0.805). However, higher IPI scores were significantly associated with increased EBV positivity (p: 0.041).

Conclusion: CD47 was widely expressed, but no significant relationship with clinical parameters was observed. Further studies are required to validate its role as a biomarker.

Abstract Image

Abstract Image

CD47 表达在典型霍奇金淋巴瘤中是否具有预后意义?
背景/目的:霍奇金淋巴瘤(HL)是高度可治疗的,但对于进展或复发的患者需要新的化疗药物。CD47通过信号调节蛋白α (SIRPα)途径调控巨噬细胞的抗吞噬活性。本研究旨在评估CD47在HL病例中的表达,并探讨其与eb病毒(EBV)状态和国际预后指数(IPI)的关系。材料和方法:纳入120例诊断为经典HL的患者,其特征是存在霍奇金和里德-斯滕伯格(HRS)细胞,并可获得IPI评分。他们的人口统计数据和EBV状态从医院记录中检索。CD47在HRS细胞中的免疫组织化学表达根据其发生率和强度进行评估。这两个值的乘积用于计算CD47表达评分。结果:120例患者中,男性76例(63.33%),女性44例(36.66%),平均年龄38.77岁。93例患者获得EBV - ISH检测结果,阳性48例(51.61%)。CD47平均表达67%,根据CD47表达评分≤6和>6,IPI评分≤2和>2对患者进行分类。CD47表达评分与年龄(p: 0.990)、性别(p: 0.086)、EBV状态(p: 0.374)、IPI评分(p: 0.805)无显著相关。然而,较高的IPI评分与EBV阳性升高显著相关(p: 0.041)。结论:CD47广泛表达,但与临床参数无显著关系。需要进一步的研究来验证其作为生物标志物的作用。
本文章由计算机程序翻译,如有差异,请以英文原文为准。
求助全文
约1分钟内获得全文 求助全文
来源期刊
Turkish Journal of Medical Sciences
Turkish Journal of Medical Sciences 医学-医学:内科
CiteScore
4.60
自引率
4.30%
发文量
143
审稿时长
3-8 weeks
期刊介绍: Turkish Journal of Medical sciences is a peer-reviewed comprehensive resource that provides critical up-to-date information on the broad spectrum of general medical sciences. The Journal intended to publish original medical scientific papers regarding the priority based on the prominence, significance, and timeliness of the findings. However since the audience of the Journal is not limited to any subspeciality in a wide variety of medical disciplines, the papers focusing on the technical  details of a given medical  subspeciality may not be evaluated for publication.
×
引用
GB/T 7714-2015
复制
MLA
复制
APA
复制
导出至
BibTeX EndNote RefMan NoteFirst NoteExpress
×
提示
您的信息不完整,为了账户安全,请先补充。
现在去补充
×
提示
您因"违规操作"
具体请查看互助需知
我知道了
×
提示
确定
请完成安全验证×
copy
已复制链接
快去分享给好友吧!
我知道了
右上角分享
点击右上角分享
0
联系我们:info@booksci.cn Book学术提供免费学术资源搜索服务,方便国内外学者检索中英文文献。致力于提供最便捷和优质的服务体验。 Copyright © 2023 布克学术 All rights reserved.
京ICP备2023020795号-1
ghs 京公网安备 11010802042870号
Book学术文献互助
Book学术文献互助群
群 号:604180095
Book学术官方微信