Comparison of the effects of epidermal growth factor mesenchymal stem cell and silver sulfadiazine on burn stasis zone.

IF 0.6 Q4 SURGERY
Turkish Journal of Surgery Pub Date : 2025-05-30 Epub Date: 2025-03-19 DOI:10.47717/turkjsurg.2025.6684
Ömer Kürklü, Sinan Soylu
{"title":"Comparison of the effects of epidermal growth factor mesenchymal stem cell and silver sulfadiazine on burn stasis zone.","authors":"Ömer Kürklü, Sinan Soylu","doi":"10.47717/turkjsurg.2025.6684","DOIUrl":null,"url":null,"abstract":"<p><strong>Objective: </strong>This study investigates the effects of adipose tissue-derived mesenchymal stem cell (MSC), human recombinant epidermal growth factor (EGF) and silver sulfadiazine (SSD) on wound healing in the burn stasis zone by applying the comb burn model in rats.</p><p><strong>Material and methods: </strong>A comb burn model was used for the burns and 32 Wistar albino female rats were randomly divided into four groups (control, SSD, SSD+MSC, SSD+EGF). On the 1<sup>st</sup> day and the 21<sup>st</sup> day, the total burn area on the 1<sup>st</sup> day and the healed, healing, and non-healing burn area on the 21<sup>st</sup> day were calculated with the Image-J program. At the end of the 21<sup>st</sup> day, the pathology samples taken after euthanasia were scored semiquantitatively in terms of epithelization, inflammatory cell density, fibroblast density, collagen amount, and angiogenesis after hematoxylin-eosin staining.</p><p><strong>Results: </strong>Histopathological analysis demonstrated that epithelialization scores were highest in the MSC (3.88±0.35, p<0.001) and EGF (3.63±0.52) groups, while the control group had the lowest values (1.50±0.53). Inflammatory cell density was significantly lower in the MSC (1.50±0.53, p<0.001) and EGF (1.88±0.64) groups than in the control group (3.75±0.46). Similarly, fibroblast density was lowest in the MSC (1.38±0.52, p<0.001) and EGF (1.75±0.71) groups, while the control group had the highest values (3.63±0.52). Collagen fibril density was significantly increased in the MSC (3.88±0.35, p<0.001) and EGF (3.50±0.53) groups compared to the control (1.63±0.74). Angiogenesis was highest in the EGF group (3.75±0.46, p<0.001), followed by the MSC group (3.00±0.53), while the control group had the lowest values (1.25±0.46). These results suggest that MSC and EGF play a significant role in wound healing, with MSC demonstrating superior epithelialization and EGF exhibiting the greatest angiogenic effect. Photo-analytical measurements showed that on day 1, burn area sizes were similar among all groups (p>0.05). By day 21, the healing burn area was significantly smaller in the MSC (3.19±0.98 cm², p<0.001) and EGF (4.33±0.48 cm²) groups compared to the control (8.43±2.35 cm²). The non-healing area was smallest in the EGF group (0.67±0.49 cm²), followed by the MSC (1.06±0.49 cm², p<0.001) and SSD (1.91±0.75 cm²) groups, whereas the control group had the largest non-healing area (7.29±2.20 cm²). These findings suggest that MSC was the most effective treatment for promoting wound healing, followed by EGF and SSD.</p><p><strong>Conclusion: </strong>We determined that both histologically and photo analytically, MSC and EGF provided faster wound healing in the burn stasis zone EGF gave better results than all groups in preventing necrosis.</p>","PeriodicalId":23374,"journal":{"name":"Turkish Journal of Surgery","volume":" ","pages":"135-140"},"PeriodicalIF":0.6000,"publicationDate":"2025-05-30","publicationTypes":"Journal Article","fieldsOfStudy":null,"isOpenAccess":false,"openAccessPdf":"https://www.ncbi.nlm.nih.gov/pmc/articles/PMC12124341/pdf/","citationCount":"0","resultStr":null,"platform":"Semanticscholar","paperid":null,"PeriodicalName":"Turkish Journal of Surgery","FirstCategoryId":"1085","ListUrlMain":"https://doi.org/10.47717/turkjsurg.2025.6684","RegionNum":0,"RegionCategory":null,"ArticlePicture":[],"TitleCN":null,"AbstractTextCN":null,"PMCID":null,"EPubDate":"2025/3/19 0:00:00","PubModel":"Epub","JCR":"Q4","JCRName":"SURGERY","Score":null,"Total":0}
引用次数: 0

Abstract

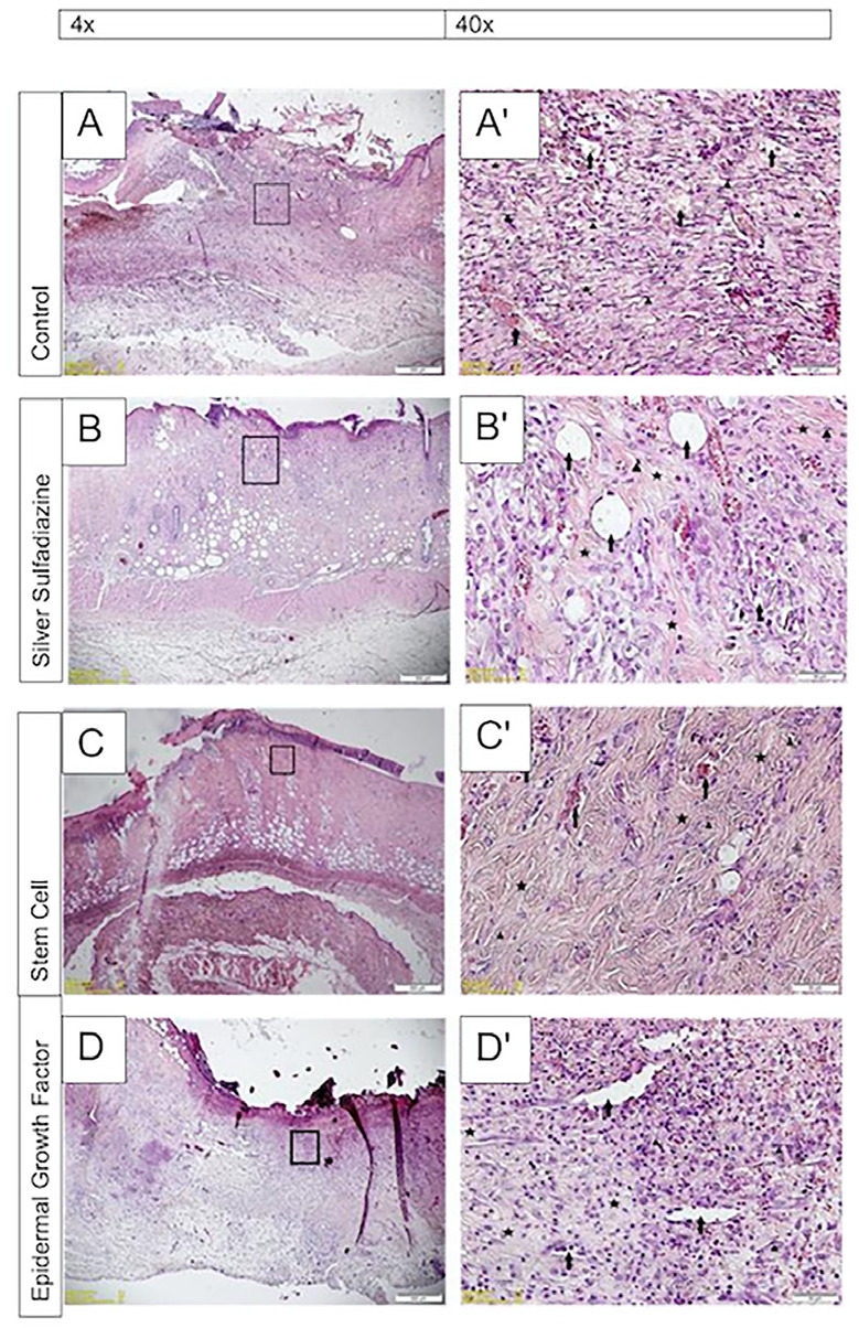
Objective: This study investigates the effects of adipose tissue-derived mesenchymal stem cell (MSC), human recombinant epidermal growth factor (EGF) and silver sulfadiazine (SSD) on wound healing in the burn stasis zone by applying the comb burn model in rats.

Material and methods: A comb burn model was used for the burns and 32 Wistar albino female rats were randomly divided into four groups (control, SSD, SSD+MSC, SSD+EGF). On the 1st day and the 21st day, the total burn area on the 1st day and the healed, healing, and non-healing burn area on the 21st day were calculated with the Image-J program. At the end of the 21st day, the pathology samples taken after euthanasia were scored semiquantitatively in terms of epithelization, inflammatory cell density, fibroblast density, collagen amount, and angiogenesis after hematoxylin-eosin staining.

Results: Histopathological analysis demonstrated that epithelialization scores were highest in the MSC (3.88±0.35, p<0.001) and EGF (3.63±0.52) groups, while the control group had the lowest values (1.50±0.53). Inflammatory cell density was significantly lower in the MSC (1.50±0.53, p<0.001) and EGF (1.88±0.64) groups than in the control group (3.75±0.46). Similarly, fibroblast density was lowest in the MSC (1.38±0.52, p<0.001) and EGF (1.75±0.71) groups, while the control group had the highest values (3.63±0.52). Collagen fibril density was significantly increased in the MSC (3.88±0.35, p<0.001) and EGF (3.50±0.53) groups compared to the control (1.63±0.74). Angiogenesis was highest in the EGF group (3.75±0.46, p<0.001), followed by the MSC group (3.00±0.53), while the control group had the lowest values (1.25±0.46). These results suggest that MSC and EGF play a significant role in wound healing, with MSC demonstrating superior epithelialization and EGF exhibiting the greatest angiogenic effect. Photo-analytical measurements showed that on day 1, burn area sizes were similar among all groups (p>0.05). By day 21, the healing burn area was significantly smaller in the MSC (3.19±0.98 cm², p<0.001) and EGF (4.33±0.48 cm²) groups compared to the control (8.43±2.35 cm²). The non-healing area was smallest in the EGF group (0.67±0.49 cm²), followed by the MSC (1.06±0.49 cm², p<0.001) and SSD (1.91±0.75 cm²) groups, whereas the control group had the largest non-healing area (7.29±2.20 cm²). These findings suggest that MSC was the most effective treatment for promoting wound healing, followed by EGF and SSD.

Conclusion: We determined that both histologically and photo analytically, MSC and EGF provided faster wound healing in the burn stasis zone EGF gave better results than all groups in preventing necrosis.

Abstract Image

Abstract Image

Abstract Image

比较表皮生长因子间充质干细胞和磺胺嘧啶银对烧伤瘀滞区的影响。
目的:应用梳子烧伤模型研究脂肪组织源性间充质干细胞(MSC)、重组人表皮生长因子(EGF)和磺胺嘧啶银(SSD)对烧伤瘀滞区创面愈合的影响。材料与方法:采用梳状烧伤模型,将32只Wistar白化雌性大鼠随机分为4组(对照组、SSD组、SSD+MSC组、SSD+EGF组)。在第1天和第21天,用Image-J程序计算第1天总烧伤面积和第21天愈合、愈合和未愈合的烧伤面积。第21天结束时,取安乐死后的病理标本,苏木精-伊红染色后对上皮、炎症细胞密度、成纤维细胞密度、胶原蛋白数量、血管生成进行半定量评分。结果:组织病理学分析显示,间充质干细胞的上皮化评分最高(3.88±0.35,p0.05)。到第21天,MSC的愈合烧伤面积明显缩小(3.19±0.98 cm²)。结论:组织学和光分析结果表明,MSC和EGF在烧伤停滞区愈合更快,EGF在防止坏死方面的效果优于其他各组。
本文章由计算机程序翻译,如有差异,请以英文原文为准。
求助全文
约1分钟内获得全文 求助全文
来源期刊
CiteScore
1.20
自引率
0.00%
发文量
16
×
引用
GB/T 7714-2015
复制
MLA
复制
APA
复制
导出至
BibTeX EndNote RefMan NoteFirst NoteExpress
×
提示
您的信息不完整,为了账户安全,请先补充。
现在去补充
×
提示
您因"违规操作"
具体请查看互助需知
我知道了
×
提示
确定
请完成安全验证×
copy
已复制链接
快去分享给好友吧!
我知道了
右上角分享
点击右上角分享
0
联系我们:info@booksci.cn Book学术提供免费学术资源搜索服务,方便国内外学者检索中英文文献。致力于提供最便捷和优质的服务体验。 Copyright © 2023 布克学术 All rights reserved.
京ICP备2023020795号-1
ghs 京公网安备 11010802042870号
Book学术文献互助
Book学术文献互助群
群 号:604180095
Book学术官方微信