Relationship between the density of degenerated neurons in the carotid body and changes in blood pH.

IF 1 4区 医学 Q2 MEDICINE, GENERAL & INTERNAL
Turkish Journal of Medical Sciences Pub Date : 2024-12-12 eCollection Date: 2025-01-01 DOI:10.55730/1300-0144.5961
Hakan Kina, Aydın Sinan Apaydin
{"title":"Relationship between the density of degenerated neurons in the carotid body and changes in blood pH.","authors":"Hakan Kina, Aydın Sinan Apaydin","doi":"10.55730/1300-0144.5961","DOIUrl":null,"url":null,"abstract":"<p><strong>Background and aim: </strong>The carotid artery is the main artery supplying blood to the brain. Carotid bodies (CB), located at the bifurcation of the carotid artery, regulate blood pH. This study aimed to assess the changes in CB-related pH levels following degeneration induced by ligation of both common carotid arteries (CCA).</p><p><strong>Materials and methods: </strong>We included 23 adult male New Zealand rabbits in the study. The animals were divided into three groups: a control group (n = 5), a sham group (saline injection, n = 5), and a study group subjected to bilateral CCA ligation (n = 13). pH levels and cardiac rhythms were monitored before, during, and after the procedure at two-day intervals over three weeks. Additionally, we quantified both healthy and degenerated neuron densities in the CB.</p><p><strong>Results: </strong>Initial pH levels were as follows: control group (7.42 ± 0.039), sham (7.39 ± 0.059), and study group (7.35 ± 0 .12). Prior to euthanasia, pH levels were the following: control (7.40 ± 0.029), sham (7.42 ± 0.041), and study (7.39 ± 0.12). The density of degenerated neurons in the CB was as follows: control (11 ± 4/mm<sup>3</sup>), sham (394 ± 74/mm<sup>3</sup>), and study (1363 ± 347/mm<sup>3</sup>). Statistical analysis showed the following significant differences: control vs. sham (p < 0.001), sham vs. study (p < 0.0005), and control vs. study (p < 0.000001).</p><p><strong>Conclusions: </strong>Increased degenerated neuron density in CB leads to reduced blood pH following CCA ligation due to acute ischemia of CB. Timely pH normalization occurs as vertebrobasilar reverse blood flow supplies CB, reversing neurodegeneration and normalizing pH.</p>","PeriodicalId":23361,"journal":{"name":"Turkish Journal of Medical Sciences","volume":"55 1","pages":"223-230"},"PeriodicalIF":1.0000,"publicationDate":"2024-12-12","publicationTypes":"Journal Article","fieldsOfStudy":null,"isOpenAccess":false,"openAccessPdf":"https://www.ncbi.nlm.nih.gov/pmc/articles/PMC11913504/pdf/","citationCount":"0","resultStr":null,"platform":"Semanticscholar","paperid":null,"PeriodicalName":"Turkish Journal of Medical Sciences","FirstCategoryId":"3","ListUrlMain":"https://doi.org/10.55730/1300-0144.5961","RegionNum":4,"RegionCategory":"医学","ArticlePicture":[],"TitleCN":null,"AbstractTextCN":null,"PMCID":null,"EPubDate":"2025/1/1 0:00:00","PubModel":"eCollection","JCR":"Q2","JCRName":"MEDICINE, GENERAL & INTERNAL","Score":null,"Total":0}
引用次数: 0

Abstract

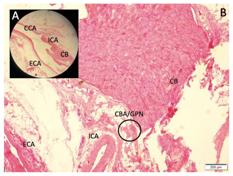
Background and aim: The carotid artery is the main artery supplying blood to the brain. Carotid bodies (CB), located at the bifurcation of the carotid artery, regulate blood pH. This study aimed to assess the changes in CB-related pH levels following degeneration induced by ligation of both common carotid arteries (CCA).

Materials and methods: We included 23 adult male New Zealand rabbits in the study. The animals were divided into three groups: a control group (n = 5), a sham group (saline injection, n = 5), and a study group subjected to bilateral CCA ligation (n = 13). pH levels and cardiac rhythms were monitored before, during, and after the procedure at two-day intervals over three weeks. Additionally, we quantified both healthy and degenerated neuron densities in the CB.

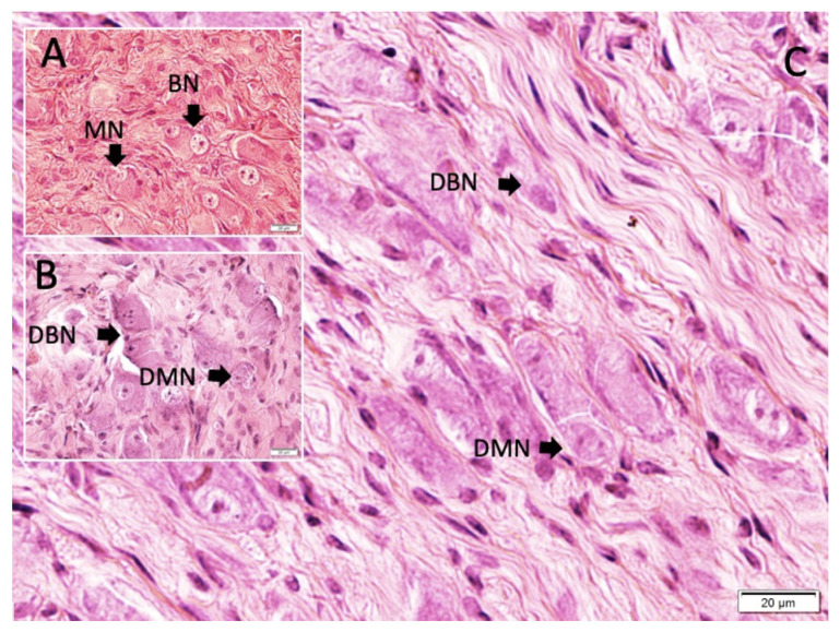
Results: Initial pH levels were as follows: control group (7.42 ± 0.039), sham (7.39 ± 0.059), and study group (7.35 ± 0 .12). Prior to euthanasia, pH levels were the following: control (7.40 ± 0.029), sham (7.42 ± 0.041), and study (7.39 ± 0.12). The density of degenerated neurons in the CB was as follows: control (11 ± 4/mm3), sham (394 ± 74/mm3), and study (1363 ± 347/mm3). Statistical analysis showed the following significant differences: control vs. sham (p < 0.001), sham vs. study (p < 0.0005), and control vs. study (p < 0.000001).

Conclusions: Increased degenerated neuron density in CB leads to reduced blood pH following CCA ligation due to acute ischemia of CB. Timely pH normalization occurs as vertebrobasilar reverse blood flow supplies CB, reversing neurodegeneration and normalizing pH.

Abstract Image

Abstract Image

Abstract Image

颈动脉体中退化神经元的密度与血液 pH 值变化之间的关系。
背景与目的:颈动脉是向大脑供血的主要动脉。位于颈动脉分叉处的颈动脉小体(CB)调节血液pH值。本研究旨在评估双颈总动脉结扎(CCA)变性后颈动脉小体相关pH值的变化。材料与方法:选取23只成年雄性新西兰兔作为研究对象。将动物分为3组:对照组(n = 5)、假手术组(注射生理盐水,n = 5)和双侧CCA结扎组(n = 13)。在手术前、过程中和手术后每隔两天监测pH值和心律,持续三周。此外,我们量化了脑后皮层中健康和退化的神经元密度。结果:初始pH值为:对照组(7.42±0.039),假手术组(7.39±0.059),研究组(7.35±0.12)。在安乐死前,pH值为:对照组(7.40±0.029),假手术组(7.42±0.041),研究组(7.39±0.12)。脑后皮层退行性神经元密度分别为:对照组(11±4个/mm3)、假手术组(394±74个/mm3)、试验组(1363±347个/mm3)。统计学分析显示,对照组与假手术组(p < 0.001)、假手术组与研究组(p < 0.0005)、对照组与研究组(p < 0.000001)有显著差异。结论:脑脊液急性缺血结扎后,脑脊液中退行性神经元密度增加,导致血液pH值降低。当椎基底动脉反向血流供应CB时,及时发生pH值正常化,逆转神经变性并使pH值正常化。
本文章由计算机程序翻译,如有差异,请以英文原文为准。
求助全文
约1分钟内获得全文 求助全文
来源期刊
Turkish Journal of Medical Sciences
Turkish Journal of Medical Sciences 医学-医学:内科
CiteScore
4.60
自引率
4.30%
发文量
143
审稿时长
3-8 weeks
期刊介绍: Turkish Journal of Medical sciences is a peer-reviewed comprehensive resource that provides critical up-to-date information on the broad spectrum of general medical sciences. The Journal intended to publish original medical scientific papers regarding the priority based on the prominence, significance, and timeliness of the findings. However since the audience of the Journal is not limited to any subspeciality in a wide variety of medical disciplines, the papers focusing on the technical  details of a given medical  subspeciality may not be evaluated for publication.
×
引用
GB/T 7714-2015
复制
MLA
复制
APA
复制
导出至
BibTeX EndNote RefMan NoteFirst NoteExpress
×
提示
您的信息不完整,为了账户安全,请先补充。
现在去补充
×
提示
您因"违规操作"
具体请查看互助需知
我知道了
×
提示
确定
请完成安全验证×
copy
已复制链接
快去分享给好友吧!
我知道了
右上角分享
点击右上角分享
0
联系我们:info@booksci.cn Book学术提供免费学术资源搜索服务,方便国内外学者检索中英文文献。致力于提供最便捷和优质的服务体验。 Copyright © 2023 布克学术 All rights reserved.
京ICP备2023020795号-1
ghs 京公网安备 11010802042870号
Book学术文献互助
Book学术文献互助群
群 号:604180095
Book学术官方微信