Does Timing of Hindfoot Reconstruction Before or After Primary Total Knee Arthroplasty Impact Reoperation Rates?

Foot & Ankle Orthopaedics Pub Date : 2025-03-17 eCollection Date: 2025-01-01 DOI:10.1177/24730114251318735
Nicolas M Dohse, Joseph A Larwa, Alex M Moses, Cole Herbel, Ramiro Lopez, Cameron K Ledford, Edward T Haupt
{"title":"Does Timing of Hindfoot Reconstruction Before or After Primary Total Knee Arthroplasty Impact Reoperation Rates?","authors":"Nicolas M Dohse, Joseph A Larwa, Alex M Moses, Cole Herbel, Ramiro Lopez, Cameron K Ledford, Edward T Haupt","doi":"10.1177/24730114251318735","DOIUrl":null,"url":null,"abstract":"<p><strong>Background: </strong>Total knee arthroplasty (TKA) and hindfoot reconstruction (HFR) are often used to treat osteoarthritis and deformities of the knee and hindfoot. Despite the proven clinical effectiveness of these treatments, postoperative patient dissatisfaction is high. The knee and ankle are adjacent joints in the lower extremity, and angular deformity of either joint is known to affect positioning of the anatomical and mechanical axes of the entire limb. Although it is understood this relationship exists, there are limited studies evaluating outcomes of ipsilateral procedures on patients with pathologies of both knee and hindfoot. This article aims to evaluate whether TKA or TAA/HFR sequencing influences postoperative outcome. The study hypothesis is that TKA prior to TAA/HFR results in lower reoperation.</p><p><strong>Methods: </strong>A retrospective chart review using <i>Current Procedural Terminology</i> (<i>CPT</i>) codes was performed encompassing all patients who underwent TKA in conjunction with a variety of hindfoot procedures. All procedures were performed at a single academic medical site between 2000 and 2022. Exclusion criteria included those patients not having both ipsilateral TKA and hindfoot procedures or those lacking conclusive postoperative data. The primary outcome of this study was to identify significant reoperations such as adjacent joint arthrodeses, hardware removal, or unrelated ipsilateral limb surgery. Secondary outcomes included identification of revision procedures including revision TKA or revision HFR and other postoperative complication data.</p><p><strong>Results: </strong>This study included 158 patients, with 79 patients in each group. In the TKA-first group, the mean follow-up time was 10.24 years (range, 1.10-22.42 years) and the mean time to HFR was 5.94 years. In the HFR-first group, the mean follow-up time was 9.01 years (range, 1.01-23.55 years) and the mean time to TKA was 5.51 years.In patients who underwent TKA first, the mean reoperation rate was not significantly different from those who underwent HFR/TAA first, 30.4% vs 19.0% (<i>P</i> = .12). In patients who underwent TKA first, the rate of HFR reoperations (22.78%) was greater than TKA reoperations (7.59%) (<i>P</i> < .01). The revision rate was higher in the TKA-first group (17.7%) when compared to the HFR-first group (6.3%) (<i>P</i> = .03). Additionally, there were more revision HFR procedures in the TKA-first group (9/79) compared with the HFR-first group (1/79) (<i>P</i> <i>=</i> .009).</p><p><strong>Conclusion: </strong>In contrast to the study hypothesis that TKA first would result in less reoperation, our study found that TAA or HFR performed before TKA had an overall lower complication rate. However, these findings should be interpreted cautiously as the sample size was limited.</p><p><strong>Level of evidence: </strong>Level III, retrospective cohort study.</p>","PeriodicalId":12429,"journal":{"name":"Foot & Ankle Orthopaedics","volume":"10 1","pages":"24730114251318735"},"PeriodicalIF":0.0000,"publicationDate":"2025-03-17","publicationTypes":"Journal Article","fieldsOfStudy":null,"isOpenAccess":false,"openAccessPdf":"https://www.ncbi.nlm.nih.gov/pmc/articles/PMC11915311/pdf/","citationCount":"0","resultStr":null,"platform":"Semanticscholar","paperid":null,"PeriodicalName":"Foot & Ankle Orthopaedics","FirstCategoryId":"1085","ListUrlMain":"https://doi.org/10.1177/24730114251318735","RegionNum":0,"RegionCategory":null,"ArticlePicture":[],"TitleCN":null,"AbstractTextCN":null,"PMCID":null,"EPubDate":"2025/1/1 0:00:00","PubModel":"eCollection","JCR":"","JCRName":"","Score":null,"Total":0}
引用次数: 0

Abstract

Background: Total knee arthroplasty (TKA) and hindfoot reconstruction (HFR) are often used to treat osteoarthritis and deformities of the knee and hindfoot. Despite the proven clinical effectiveness of these treatments, postoperative patient dissatisfaction is high. The knee and ankle are adjacent joints in the lower extremity, and angular deformity of either joint is known to affect positioning of the anatomical and mechanical axes of the entire limb. Although it is understood this relationship exists, there are limited studies evaluating outcomes of ipsilateral procedures on patients with pathologies of both knee and hindfoot. This article aims to evaluate whether TKA or TAA/HFR sequencing influences postoperative outcome. The study hypothesis is that TKA prior to TAA/HFR results in lower reoperation.

Methods: A retrospective chart review using Current Procedural Terminology (CPT) codes was performed encompassing all patients who underwent TKA in conjunction with a variety of hindfoot procedures. All procedures were performed at a single academic medical site between 2000 and 2022. Exclusion criteria included those patients not having both ipsilateral TKA and hindfoot procedures or those lacking conclusive postoperative data. The primary outcome of this study was to identify significant reoperations such as adjacent joint arthrodeses, hardware removal, or unrelated ipsilateral limb surgery. Secondary outcomes included identification of revision procedures including revision TKA or revision HFR and other postoperative complication data.

Results: This study included 158 patients, with 79 patients in each group. In the TKA-first group, the mean follow-up time was 10.24 years (range, 1.10-22.42 years) and the mean time to HFR was 5.94 years. In the HFR-first group, the mean follow-up time was 9.01 years (range, 1.01-23.55 years) and the mean time to TKA was 5.51 years.In patients who underwent TKA first, the mean reoperation rate was not significantly different from those who underwent HFR/TAA first, 30.4% vs 19.0% (P = .12). In patients who underwent TKA first, the rate of HFR reoperations (22.78%) was greater than TKA reoperations (7.59%) (P < .01). The revision rate was higher in the TKA-first group (17.7%) when compared to the HFR-first group (6.3%) (P = .03). Additionally, there were more revision HFR procedures in the TKA-first group (9/79) compared with the HFR-first group (1/79) (P= .009).

Conclusion: In contrast to the study hypothesis that TKA first would result in less reoperation, our study found that TAA or HFR performed before TKA had an overall lower complication rate. However, these findings should be interpreted cautiously as the sample size was limited.

Level of evidence: Level III, retrospective cohort study.

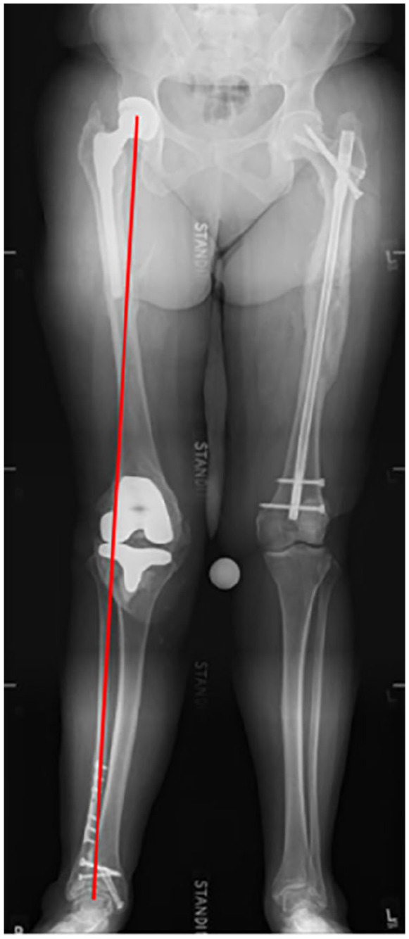
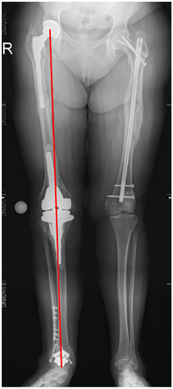
Abstract Image

Abstract Image

Abstract Image

在原发性全膝关节置换术之前或之后进行后足重建的时机会影响再手术率吗?
背景:全膝关节置换术(TKA)和后足重建术(HFR)常用于治疗膝关节和后足骨关节炎和畸形。尽管这些治疗方法的临床疗效已得到证实,但术后患者的不满意度很高。膝关节和踝关节是下肢的相邻关节,已知任何一个关节的角度畸形都会影响整个肢体的解剖轴和机械轴的定位。虽然人们了解这种关系的存在,但评估双膝和后足病变患者同侧手术的结果的研究有限。本文旨在评估TKA或TAA/HFR测序是否影响术后预后。研究假设TKA先于TAA/HFR导致较低的再手术率。方法:使用现行程序术语(CPT)代码进行回顾性图表回顾,包括所有接受TKA合并各种后足手术的患者。2000年至2022年间,所有手术都在一个学术医疗场所进行。排除标准包括未同时进行同侧TKA和后足手术或缺乏结论性术后资料的患者。本研究的主要结果是确定重要的再手术,如相邻关节关节病、硬体移除或无关的同侧肢体手术。次要结果包括确定翻修程序,包括翻修TKA或翻修HFR和其他术后并发症数据。结果:本研究纳入158例患者,每组79例。tka - 1组平均随访时间为10.24年(1.10 ~ 22.42年),平均HFR随访时间为5.94年。在hfr首发组,平均随访时间为9.01年(1.01-23.55年),平均TKA时间为5.51年。在先行TKA的患者中,平均再手术率与先行HFR/TAA的患者无显著差异,分别为30.4%和19.0% (P = 0.12)。在首次行TKA的患者中,HFR再手术率(22.78%)大于TKA再手术率(7.59%)(P P = 0.03)。此外,与HFR-first组(1/79)相比,TKA-first组(9/79)有更多的HFR修订程序(P = 0.009)。结论:与研究假设TKA先行,再手术较少相反,我们的研究发现,在TKA前行TAA或HFR,整体并发症发生率较低。然而,由于样本量有限,这些发现应谨慎解释。证据等级:III级,回顾性队列研究。
本文章由计算机程序翻译,如有差异,请以英文原文为准。
求助全文
约1分钟内获得全文 求助全文
来源期刊
Foot & Ankle Orthopaedics
Foot & Ankle Orthopaedics Medicine-Orthopedics and Sports Medicine
CiteScore
1.20
自引率
0.00%
发文量
1152
×
引用
GB/T 7714-2015
复制
MLA
复制
APA
复制
导出至
BibTeX EndNote RefMan NoteFirst NoteExpress
×
提示
您的信息不完整,为了账户安全,请先补充。
现在去补充
×
提示
您因"违规操作"
具体请查看互助需知
我知道了
×
提示
确定
请完成安全验证×
copy
已复制链接
快去分享给好友吧!
我知道了
右上角分享
点击右上角分享
0
联系我们:info@booksci.cn Book学术提供免费学术资源搜索服务,方便国内外学者检索中英文文献。致力于提供最便捷和优质的服务体验。 Copyright © 2023 布克学术 All rights reserved.
京ICP备2023020795号-1
ghs 京公网安备 11010802042870号
Book学术文献互助
Book学术文献互助群
群 号:604180095
Book学术官方微信